【病例】幕上脑实质内室管膜瘤1例CT及MR影像讨论
发布时间:2022-10-24
发布时间:2022-10-24









王明坤 21:08
首先定下轴内,轴外
X郑能量 21:09
定位,脑内,脑室内
狴犴 21:09
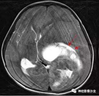
囊实性占位,有钙化,实性成分明显强化
狴犴 21:09
脑内
小白 21:09
室管膜瘤?但DWI有点高
X郑能量 21:10
周老师,白老师依据
致远 21:10
pnet
小乖乖 21:10
PNET
独角鲸 21:10
支持PNET
大海 21:11
PNET或者生殖源性肿瘤
X郑能量 21:11
周老师说过两大特点,钙化,囊变,白老师说DWI高
狴犴 21:11

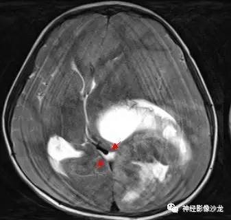
箭头标注的地方是左侧脑室后角吧?
小白 21:11
PNET,AT/RT等待鉴别
刘淑珍 21:12
主体在脑内,还是定位脑内吧
王明坤 21:12
支持PNET
X郑能量 21:12
周老师[强]能证明什么
风轻云淡 21:12
根据年龄老师们考虑胚胎性肿瘤了
狴犴 21:13
脑室外的[呲牙]
X郑能量 21:13
大部分老师同意脑内,有没有认为脑室内的[呲牙]
狴犴 21:14
不会有坑吧[偷笑]
X郑能量 21:14
咱们先按脑内证明
X郑能量 21:14
这个年龄脑内幕上好发肿瘤
王明坤 21:14
病灶太大,真不太好鉴别
X郑能量 21:14
儿童
狴犴 21:15

这里应该是侧脑室后角
风轻云淡 21:15
钙化可能是个突破点
X郑能量 21:16
是的,是受压还是撑开,周老师
X郑能量 21:16
张老师[强]
X郑能量 21:16
大家再看看有无出血
亮 21:17
血管母?
X郑能量 21:18
儿童,幕上
桃池陶 21:18
应该是脑内
桃池陶 21:19
出血应该没有吧
狴犴 21:19
还是定位在脑内
X郑能量 21:19
哪位老师列个疾病谱吧
X郑能量 21:19
白老师在吗?
X郑能量 21:20
赵海老师说了一句也走了吗?
大海 21:20
不好意思,也想不到更多了
X郑能量 21:20
大部分老师认为是恶性,PNET
大海 21:20
6岁,年龄很小
狴犴 21:20
是的,我也赞同
狴犴 21:21
PNET
X郑能量 21:21
有一位老师很接近
大海 21:21
其内有钙化,DWI高信号
X郑能量 21:21
只有一位哦[呲牙]
大海 21:21
应该提示恶性啊
狴犴 21:21
那就不是PNET了,得重新观察征象了[呲牙]
大海 21:21
AT/RT?
王明坤 21:21
那肯定不是PNET
X郑能量 21:21
PNET老师们见过这么大囊变吗?
大海 21:22
是啊
大海 21:22
没有
大海 21:22
生殖源性肿瘤呢?
王明坤 21:22
钙化?
狴犴 21:22
我一例PNET都没碰到过[呲牙]
大海 21:22
恶性畸胎瘤,或胚胎癌?
桃池陶 21:22
PNET是要靠谱点
X郑能量 21:23
我问有无出血,没有人回答我
狴犴 21:23
儿童,常规思维;但是读片的病例,肯定还是有写没注意的征象
大海 21:23
没有
狴犴 21:24
没看见
小白 21:24
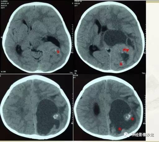
没出血,是钙化吧
大海 21:24
赞成
王明坤 21:24
T1像有点状高信号
小白 21:25
就对应钙化
狴犴 21:25

这些都是钙化吧
X郑能量 21:25
CT是钙化
X郑能量 21:25
T1WI点状高信号
小白 21:26
可以
X郑能量 21:26
还是有的
X郑能量 21:26
[强]
狴犴 21:26
出血点哪位老师标注下[抱拳]
桃池陶 21:26
不觉得有出血
X郑能量 21:26
不挖坑,脑内,各位老师厉害[强]
X郑能量 21:26
侧脑室三角区受压
王明坤 21:27
先定轴内
X郑能量 21:27
再定性级别
大海 21:27
恶性
X郑能量 21:27
可能是WHO哪一级
王明坤 21:27
不考虑脑膜瘤
大海 21:27
III级
小白 21:27
间变了室管膜瘤?
狴犴 21:27
一般小孩子没什么好东西
X郑能量 21:27
[强]
风轻云淡 21:27
支持
狴犴 21:28
首先考虑恶性
风轻云淡 21:28
3级
王明坤 21:28
水肿轻度,
X郑能量 21:28
白老师,赵老师[强]
X郑能量 21:28
张老师[强]
狴犴 21:28
为什么是III不是IV呢?[抱拳]
王明坤 21:29
间变性?
X郑能量 21:29
[强]
大海 21:29
感觉有钙化,而且太大了,恶性水肿应该症状更明显了
X郑能量 21:29
白老师完全正确[鼓掌]
大海 21:30
水肿不够,钙化交成熟
X郑能量 21:30
等于开了答案
大海 21:30
室管膜瘤
大海 21:30
年龄好像太小了点
狴犴 21:30
这也能分析到,白老师,我滴个神啊[色]
大海 21:30
影像挺符合
王明坤 21:30
少见
狴犴 21:31
为什么不是PNET?@内医附院放射白玉贞
X郑能量 21:32
儿童,侧脑室三角区旁、囊变、钙化、出血,下次见到首先考虑啊








X郑能量 21:33
谢谢各位老师参与,精彩分析[强][抱拳]
王明坤 21:34
@临沂市人民医院脑科医院,郑学军 ,谢谢郑老师的精彩病例,大开眼界
小白 21:36
@神经义工周刚-黄冈市医影像科 pnet还是实性多,幕上室管膜瘤囊性为主,在侧脑室周围。dwi高可能提示间变
X郑能量 21:36
[强]
王明坤 21:36
@内医附院放射白玉贞 [强][强][强][强][强][强]