【病例】颅内血管平滑肌瘤1例MR影像表现
发布时间:2022-10-24
发布时间:2022-10-24
病史:
男性,55岁。2周前不小心仰面摔倒,无昏迷及抽搐,无恶性及呕吐,于当地头颅CT检查发现右枕圆形肿物,直径约2cm。自诉有“支气管炎”多年,实验室检查无特殊。






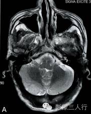
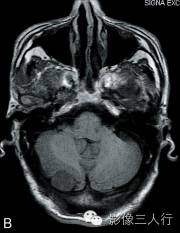
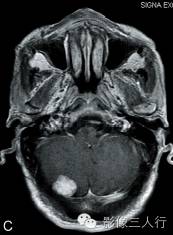
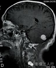
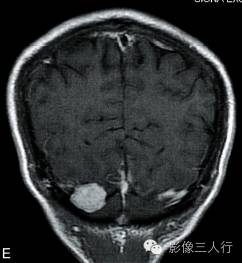
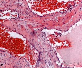
A.T2WI横断面;B.T1WI横断面;C、D、E.增强横断面、矢状面、冠状面;F.HE×100
影像学表现:
图A、B:平扫MRI显示右侧小脑后缘类圆形结节状病灶,大小约1.4cm×2.0cm×1.8cm,在T2WI呈稍高信号,T1WI为稍低信号,边界清楚,信号均匀,局部脑组织受压内移。图C~E:Gd-DTPA增强扫描显示结节呈较均匀明显强化,病灶边缘清楚,其中在横轴位图像显示肿瘤中央部分强化较周围明显,且类似日光放射状。矢状位、冠状位图像见肿块强化变均匀一致,紧贴小脑后方硬脑膜或颅骨,但未见明显硬脑膜尾征。
术中所见:
横窦旁硬膜较硬,切开硬膜见直径约2cm肿物与横窦旁硬膜相连,与脑组织有分界。
病理结果:
右枕部1.5cm大组织一粒,镜下见增生的血管和平滑肌,形态上符合平滑肌瘤改变(未见其他成分)。免疫组化:SMA强( ),GFAP(-),EMA(―)(图F)
分析与讨论:
血管平滑肌瘤来源于血管的平滑肌或原始的复杂的潜在间充质细胞。根据2007年WHO中枢神经系统(CNS)肿瘤分类:平滑肌瘤分类为非脑膜上皮的间叶组织肿瘤,WHO分级为I级。轻度外伤、静脉淤滞、雌激素水平是该肿瘤的可能病因。多见于30~50岁女性,好发于肢端和头颈部。根据Morimoto分型法可分为3种类型:实体型、静脉型、海绵状型。有报道描述眼眶血管平滑肌瘤CT表现为圆形或椭圆形高密度肿物,边界清楚,部分病例可见钙化。MRI检查T1WI与肌肉信号类似,T2WI呈高信号,增强扫描可见不均匀性强化,与眼眶海绵状血管瘤表现相似。颅内血管平滑肌瘤罕见,在国内文献尚未见报道。本例血管平滑肌瘤为男性,发生于颅内的硬脑膜,其MRI表现与脑膜瘤类似,在T2WI和T1WI均与脑皮质相似,强化明显,但未见硬脑膜尾征改变,在增强扫描的早期肿瘤表现为中央强化较周围明显,且类似日光放射状,到中晚期强化变为均匀,与脑膜瘤有所不同,也与上面描述的眼眶血管平滑肌瘤不同。术前诊断困难,有赖于手术病理确诊。
鉴别诊断:
①脑膜瘤:多呈宽基底附着于硬脑膜表面与硬膜呈钝角,常有钙化,信号较均匀,强度类似于脑组织,增强扫描大多均匀性强化,常伴有硬脑膜尾征,瘤周水肿较轻,相邻颅板可吸收变薄或增生。②单发转移瘤:位于脑表面转移瘤可表现为结节状,肿瘤多坏死、囊变或出血,瘤周水肿较明显,信号不均匀,增强扫描呈环状或结节状强化。一般有原发肿瘤病史。
上一篇:【病例】左颞血管周细胞瘤1例MR