【病例】左颞血管周细胞瘤1例MR
发布时间:2022-10-24
发布时间:2022-10-24
病史
男,8岁,阵发性头痛、呕吐2月余。
患者于2月前无明显诱因出现头痛、呕吐,为阵发性。无幻嗅,无肢体感觉及活动异常。患者理解力、智力、记忆力正常,言语流利,无乏力及明显消瘦,肢体感觉及活动无异常,步态平稳,无肢体抽搐,饮食、睡眠差,大小便正常。
查体:神志清、精神差,理解力、记忆力、智力正常,言语流利,无声音嘶哑,双侧嗅觉正常,无眼睑下垂,双侧瞳孔直径约3mm,光反射欠灵敏,无复视,无口角歪斜,双侧闭目有力,无侧眼睑下垂,双侧听力无异常,无吞咽困难、饮水呛咳,四肢肌力5级,肌张力正常,无肢体感觉异常,双侧指鼻试验、快复、轮替运动及跟膝胫试验正常,闭目难立征阴性,步态平稳,深浅反射阴性,双巴氏阴性,颈软无抵抗。
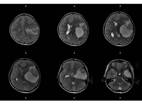
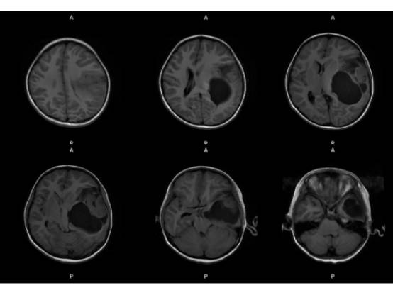
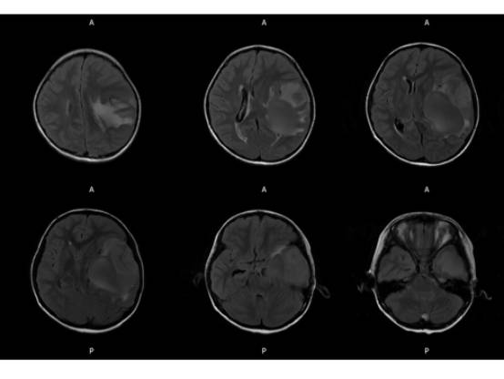
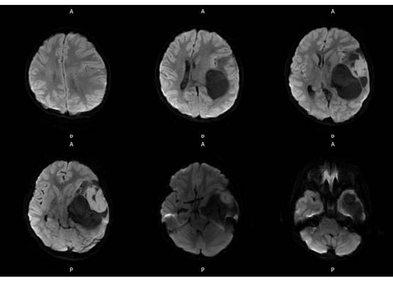
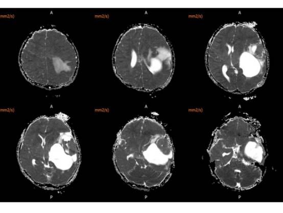
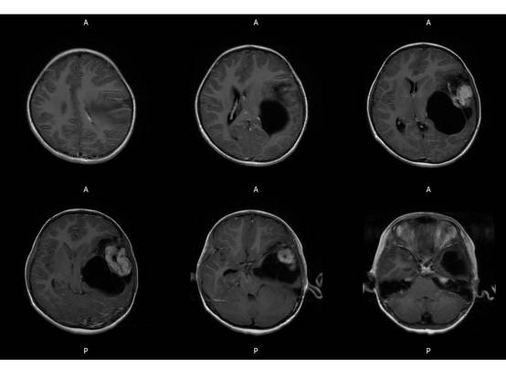
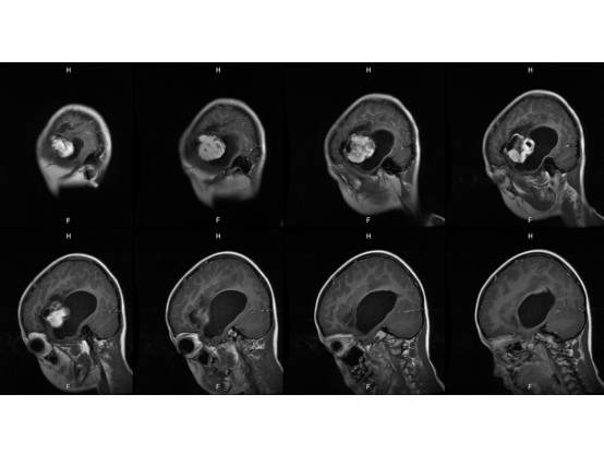
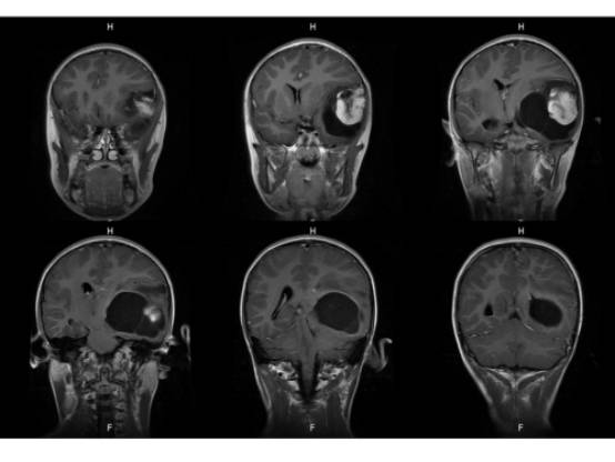
【图像】
MR平扫及增强示:









MR
左侧颞叶见大块状等长T1等长T2异常信号,FLAIR呈高新,DWI(b=1000)实质部分呈稍高信号,ADC实质部分呈等信号,边界尚清,周围脑实质受压。注入GD-DTPA后病变实质部分呈明显强化。
【手术病理】
(左颞)血管周细胞瘤WHO II级。
免疫组化:CD34 、CD99±、S-100 、Vim 、Ki-67、 5%-10%、GFAP-、MAP2-、EMA-、PR-、CK-。
【最后诊断】
(左颞)血管周细胞瘤WHO II级。
【讨论】
血管周细胞瘤(HPC)又称血管外皮细胞瘤,是一种罕见的软组织肿瘤,来源于毛细血管壁外的周细胞。多为单发。中年者居多,无性别差异,好发于下肢、后腹膜和盆腔,也可发生在头颈部、躯干、上肢软组织、内脏及神经系统。本病误诊率较高,诊断主要依赖于组织病理学检查。
一项对于血管周细胞瘤的研究表明:
结果7例肿瘤均位于颅内脑外,单发,体积较大,边界清楚,可见分叶,T1WI示肿瘤呈等信号或稍高信号,T2WI呈等信号或稍高信号,FLAIR呈稍高信号,DWI呈不均匀低信号,CT呈稍高密度影,增强扫描肿瘤实体性部分显著强化,内可见斑点、片状囊变或坏死区;4例可见脑膜尾征,肿瘤内及周边见血管流空或强化血管倍号; 瘤周水肿随肿瘤增大而明显;结论颅内血管周细胞瘤(HPC)是一种少见颅内脑外肿痫,肿痫形态不规则,边缘有分叶,增强扫描显著强化,内均可见斑点、片状囊变、坏死无强化区,瘤内无钙化,肿瘤周边可见血管流空信号,肿瘤恶变时,可见大片坏死出血,肿痛可侵犯破坏周围脑组织和骨组织,但无骨质增生。