肺淀粉样变性1例CT影像表现

发布时间:2022-10-23

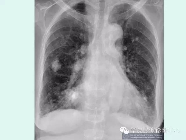
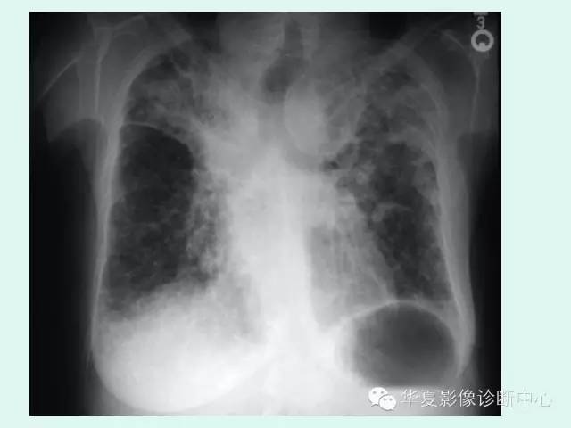
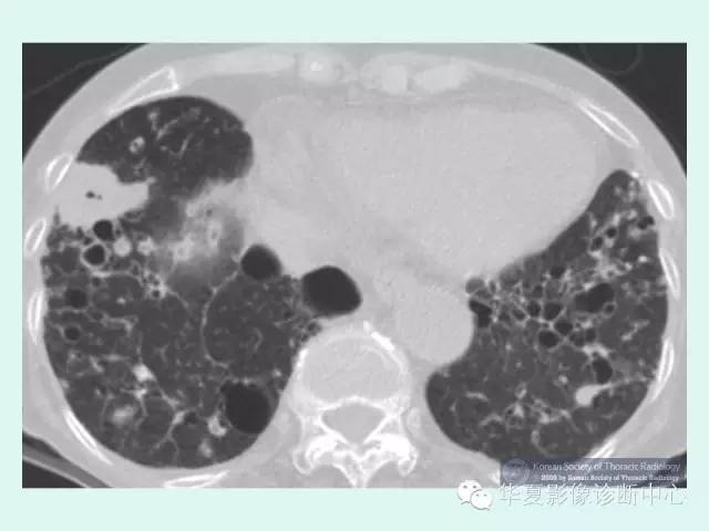
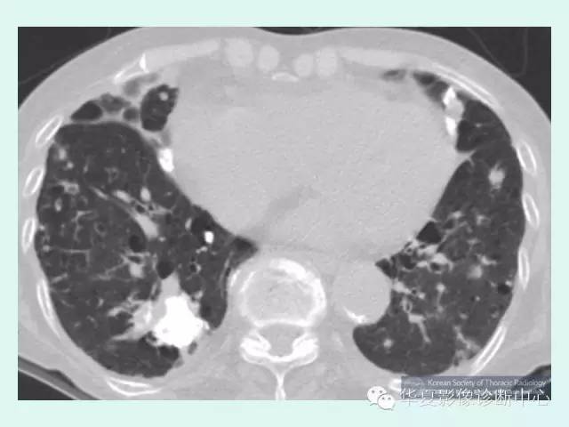
【病例】肺淀粉样变性1例CT影像表现

【病例】肺淀粉样变性1例CT影像表现

【病例】肺淀粉样变性1例CT影像表现

【病例】肺淀粉样变性1例CT影像表现

【病例】肺淀粉样变性1例CT影像表现

【病例】肺淀粉样变性1例CT影像表现

【病例】肺淀粉样变性1例CT影像表现

【病例】肺淀粉样变性1例CT影像表现

【病例】肺淀粉样变性1例CT影像表现

【病例】肺淀粉样变性1例CT影像表现

【病例】肺淀粉样变性1例CT影像表现

【病例】肺淀粉样变性1例CT影像表现

【病例】肺淀粉样变性1例CT影像表现

【病例】肺淀粉样变性1例CT影像表现

【病例】肺淀粉样变性1例CT影像表现

【病例】肺淀粉样变性1例CT影像表现

【病例】肺淀粉样变性1例CT影像表现

【病例】肺淀粉样变性1例CT影像表现

【病例】肺淀粉样变性1例CT影像表现

【病例】肺淀粉样变性1例CT影像表现

【病例】肺淀粉样变性1例CT影像表现

【病例】肺淀粉样变性1例CT影像表现

【病例】肺淀粉样变性1例CT影像表现

精彩图片

热门精选