肺神经内分泌瘤1例CT影像表现
发布时间:2022-10-23
发布时间:2022-10-23
男, 26岁,因“咯血二十余日”入院 。患者一年余前无明显诱因下咯血,鲜红色,自诉无其他不适,至当地医院治疗后缓解,二十余日前无明显诱因下咯血,鲜红色,自诉无伴随症状。
2012年11月22日


2012年12月3号


2013年11月5号







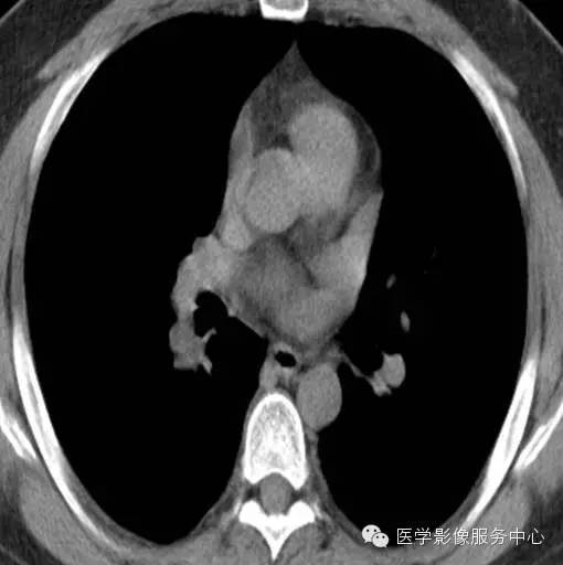
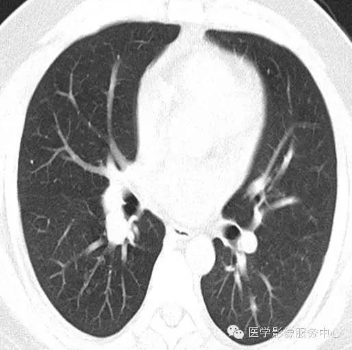
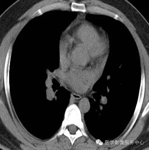
影像分析:右侧肺门处见小团块状密度增高影,密度尚均匀,边缘毛糙,增强扫描病灶不均匀强化。
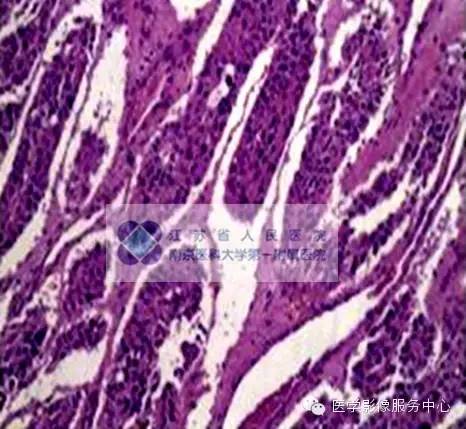
病理:肺神经内分泌瘤

肺内神经内分泌癌约占肺肿瘤的25%,是来源于支气管树黏膜上皮及黏膜下腺体中的神经内分泌细胞(Kulchitsky cell)的肿瘤,其恶性程度不等,预后差异大。
神经内分泌癌患者可出现支气管痉挛、阵发性心动过速、水样腹泻、皮肤潮红等类癌综合征。但临床上只有2%的患者出现明显的内分泌紊乱症状,且多数已属晚期。
影像学检查较难区分典型与不典型类癌,因此多数文献按病变的发生部位将其分为中心型和外围型。中心型类癌较为多见,约占发病的85%,其中10%发生在主支气管,75%发生在叶支气管,周围型类癌占15%。
1.典型类癌
(1)中心型肿瘤发生于主支气管、叶、段支气管,生长缓慢,形成腔内息肉样结节或肿块,边缘光滑,可同时向腔外浸润。平片可表现正常,或有阻塞性肺炎及阻塞性肺不张。支气管造影可见腔内边缘光滑的充盈缺损。CT平扫多见腔内生长的、边缘光滑、清晰的肿块,可有钙化,直径多在1~2cm,团注增强后呈明显强化。可伴有阻塞性肺炎及不张,纵隔及肺门淋巴结肿大很少见。对位于肺中带的病灶,CT上难以与血管结构区分,可行MRI检查,T2wI上病灶呈高信号强度,血管则为低信号。

(2)周围型位于肺的周边部,可单发或多发,10%的病例为无症状的肺内多发结节。病变可以表现为圆形或椭圆形结节,病变直径最大可达18cm。边缘光滑,无或有分叶,有时有细毛刺,密度常均匀。多发的结节之间密度可有差异。肿瘤内还可见低密度空洞区,多为坏死所致。x线片上与肺实质内其它肿瘤难以鉴别。CT平扫对检出小的类癌较为敏感,动态增强扫描后病灶呈同质均匀性强化,约30%病例平扫可见弥漫性或点状钙化,CT可显示肺门或纵隔淋巴结肿大,发生率与中心型相近。
MRI扫描T2wI和STIR图像上病灶呈高或极高强度信号,能够区分肺野中、内带正常肺血管结构与直径3mm以上的小结节病灶。肿瘤内钙化可致T2wI及STIR图像上病灶信号强度不均匀,影响病灶的检出。

2.不典型类癌:多为中心性,向腔内生长的少,可有阻塞性肺炎及不张.可跨裂侵犯,平片与CT所见与典型类癌中心型相似。亦有周围性分布。病灶较大,约3~4cm,边界清楚,淋巴结转移较多见。不典型类癌直径多较典型类癌大,在CT上显示直径大于2.5cm的肿瘤,不典型类癌的可能性较大。

(二)其它神经内分泌癌小细胞神经内分泌癌多为中心型生长,偶见外围型分布,肿瘤较大,多为4~5cm左右,边缘模糊不清,常侵犯纵隔,可压迫大血管和气管,造成阻塞性肺炎、肺不张。纵隔及肺门淋巴结转移发生早,形成肺门区肿块。可合并有肝及肾上腺转移。也有仅见纵隔淋巴结肿大而找不到原发灶的病例。影像学表现与其它类型肺癌相似,不易鉴别,确诊依靠病理和免疫组化检查。
巨细胞神经内分泌癌的影像学表现目前尚未见报道。
1.神经内分泌癌的鉴别诊断:神经内分泌癌中的中心型典型类癌需要与起源于支气管内其它细胞的恶性肿瘤鉴别,主要根据肿瘤的形态、生长速度和周围侵犯情况的不同来鉴别。类癌生长缓慢,边缘光滑清晰,很少侵犯支气管壁,恶性肿瘤的肿块边缘模糊,常有毛刺、分叶及肺内或纵隔浸润表现。典型类癌中心型还需与支气管的良性肿瘤,如少见的软骨瘤、纤维瘤、平滑肌瘤、错构瘤、血管类肿瘤等鉴别。以上良性肿瘤在CT平扫及增强表现虽各有特点,但确诊仍依靠病理学检查。周围型典型类癌需要与结核瘤、炎性假瘤及肺内其他良性肿瘤鉴别,瘤内有钙化还需要与错构瘤鉴别。影像学鉴别困难,术前诊断依靠临床表现和穿刺活检。
2.不典型类癌和其它类型的神经内分泌癌在影像学上与肺内其它恶性肿瘤鉴别困难,临床上有类癌综合征表现的,可提示诊断。确诊需要取材合适的活检标本、细胞学检查及免疫组化检查相结合,确定其恶性程度,为临床治疗提供依据。
3.神经内分泌癌不同类型之间的鉴别诊断:典型类癌与小细胞、大细胞内分泌癌的影像学表现有很多不同点,较易鉴别。不典型类癌临床、病理和影像学表现介于典型类癌与小细胞内分泌癌之间,与二者不易鉴别。但根据不典型类癌边缘多较光滑、无纵隔侵犯和胸外转移等特点,可初步确定其类型。
上一篇:肺淀粉样变性1例CT影像表现
下一篇:肺结节病1例X线影像表现