肺郎格汉斯细胞组织细胞增生症1例CT影像表现
发布时间:2022-10-23
发布时间:2022-10-23






郎格汉斯细胞组织细胞增生症 为一组少见的原因不明疾病,该病名由Lichtenstein于1953年提出。该病多发生于儿童,其发病、临床症状及病变范围差异很大,但病理上有着共同的病理特征,即组织细胞异常增生。现已证实此组织细胞具有朗格汉斯组织细胞(langerhans’ histocyte)特征,故本病现又称为朗格汉斯组织细胞增生症。
肺朗格汉斯组织细胞增生症(pulmonary langerhans’cell
histiocytosisand, PLCH ) 可以原发于肺脏,也可是全身系统性病变的一部分。肺朗格汉斯组织细胞增生症可发生于任何年龄。多器官和多系统的朗格汉斯组织细胞增生症通常在婴儿和儿童,但肺部受累通常不是主要临床表现。
相反,仅累及肺脏的肺朗格汉斯组织细胞增生症多发生于20~40岁年龄组,无明显性别差异,主要发生在吸烟者。
肺朗格汉斯组织细胞增生症临床表现差异很大,约25%的病人无临床症状,仅在体检时偶然发现,有些病人则在发生气胸或呼吸道症状后,在做X线检查时发现。病人最常见的症状是干咳(56%~70%)和呼吸困难(40%),其他临床症状包括胸痛(10%~20%)、乏力(30%)、体重下降(20%~30%)、发热(15%)。约25%的病人可发生反复发作的气胸。
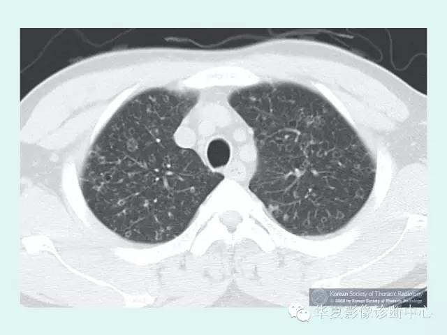
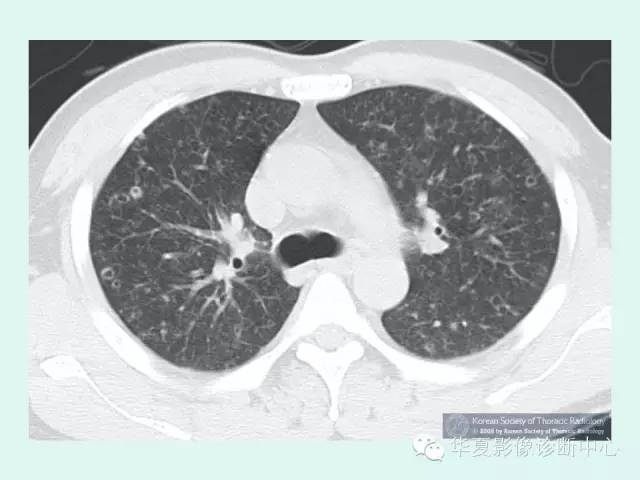
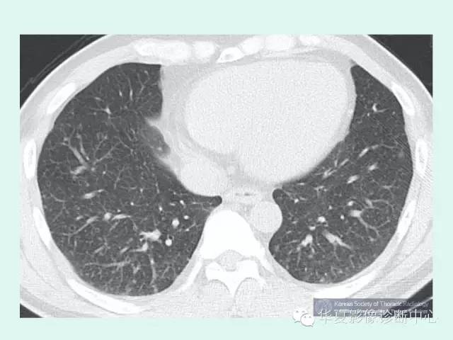
高分辨CT(HRCT)不仅对该病的鉴别诊断有意义,而且对判断该病的严重程度具有一定意义。病变通常分布在正常的肺组织中间,虽然在双下肺基底部位可以见到散在病变,但病变多位于上部,呈对称性均匀分布。早期病变主要以边界模糊的小结节阴影为主,有些病例可以见到有空洞形成。结节呈小叶中央性分布,并且伴有壁厚薄不等的囊性改变。随着病变的进展,囊性改变逐渐成为突出表现,这些囊腔大小差异很大,但通常直径小于1cm。囊腔可以为孤立样,也可互相融合,甚至形成肺气肿、气胸的表现。自发的出现小结节、空洞和囊性化是肺朗格汉斯组织细胞增生症较为特征性的改变。
PLCH 一般不累及胸膜,因此在CT 上无胸膜增厚、粘连等相关表现,除非出现气胸后引起的胸膜改变。
CT表现:
1、双肺弥漫分布结节 是PLCH早期影像表现,直径约1~10mm大小,典型者直径1~5mm,病灶多两侧对称分布,中上肺野为主,肺基底部、肋膈角附近也可有少量分布。结节的数量可以是较少,也可以在肺野内弥漫分布不可数。结节边缘不规则为特征性地表现,结节周围为正常的肺组织围绕。
2、囊样病变 是PLCH的最常见的CT表现,通常直径小于10mm,但也可以达到20mm。囊样病变通常同结节并存,但是也可以是惟一的CT表现。囊样病变主要发生在肺上中野。可表现为圆形或卵圆形的囊变区.也可表现为各种各样的形状,囊样病变的壁可以很薄,仅仅可辨或者表现为厚壁和结节样。
3、晚期肺内纤维化 ,CT可表现为大小不等囊状影及纤维条索影,其囊状影形态呈圆形、类圆形,少部分囊状影亦可呈多边形、不规则形,囊壁薄而光整,囊壁<2mm,甚至部分囊壁在CT上观察不清,囊状影其直径一般<10mm以下,少数可大于10mm,可能与多个囊腔融合有关,随着囊状影的增多可出现蜂窝肺,此时可并发气胸,甚至反复出现,成为难治性气胸。
鉴别诊断:
1、当结节是PLCH的惟一的CT表现时,鉴别诊断应包括结节病、矽肺、结核、转移癌 。
结节的解剖学分布对于鉴别诊断较有价值。典型的PLCH的结节是小叶中心性分布的,这可同结节病、矽肺以及淋巴管转移瘤的结节相鉴别,后者表现为淋巴管周围分布。
2、肺组织细胞增生症的囊样改变易于同特发性肺纤维化 的囊性病变相鉴别,后者的特征性表现是分布于胸膜下及基底部并伴有肺体积的减小。另外, PLCH的囊样变典型表现是囊样变为正常肺组织所包绕, 而特发性肺纤维化的蜂窝样囊性变伴有临近肺组织的异常, 诸如磨玻璃样变和结构紊乱。囊样变为主的PLCH还可以类似于淋巴管肌瘤病, 但是后者几乎只发生在女性并且弥漫地累及肺脏。PLCH的囊样病变类似于支气管扩张 , 但是这一疾病典型者缺少分枝表现。囊样变也可见于肺气肿 , 但是在这些病例中囊样变代表局灶性肺破坏, 缺少可见的壁。卡氏肺囊虫性肺炎 的患者可发展为肺囊肿或者肺气囊, 这将不容易同PLCH的囊样病变相鉴别。
病例来源韩国胸部放射学会,文.丁香园网站
上一篇:宫颈癌肺转移1例X线影像
下一篇:肺淀粉样变性1例CT影像表现