宫颈癌肺转移1例X线影像
发布时间:2022-10-23
发布时间:2022-10-23
病史:老年女性,62岁,8年前患宫颈癌。现咳嗽,咯血来诊。
面对这样一位来诊的老太太,到基层医院来拍胸片且只有胸片的情况下,根据病史和年龄不难考虑这个病——肺转移瘤。
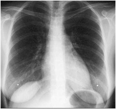
看片子:

小编每次会放一张正常胸片对比:

当然漂亮的模式图不能少:

当然小编的手指指的并不是全部病灶,剩下的棉花团自己找吧!
胸片显示:两肺多发的大小不等的结节影,形如棉花团。
病理结果:宫颈癌肺转移。
下面我们一起更深层次的学习一下这个病例
1.概述:肺是恶性肿瘤最常见的转移部位,多发转移瘤是最常见的转移形式。不同的恶性肿瘤转移倾向不同,转移到肺的发生率也有明显差异,最容易发生肺部转移的是肺、乳腺、胃肠道和泌尿生殖系统肿瘤(本例就是它啦)。插播一句,骨肉瘤和软骨肉瘤如发生转移,肺是早期的唯一部位。按肿瘤转移途径可将肺转移瘤分为4型:血型转移;淋巴转移;直接浸润或蔓延;气道转移。
2.临床相关:肺转移瘤的症状一般无特异性。转移瘤有时会侵犯胸壁引起胸痛,癌灶大量坏死时可引起反复咯血,抑或导致持续性肺炎。
3、病理特点:这里介绍常见的血行性转移的病理特点:形成以细小肺动脉为中心的实性结节,周围由正常肺组织围绕,其分布遵循肺血流的规律,在肺末梢部位的出现率较高。
4、最重要的X线表现:X线一般特点为两肺多发结节影,肺尖部稀少,两肺中、下野外带分布较多,晚期部分病灶可融合。大的像棉花团,小的像粟粒状,就是小米粒样。边缘光滑,多无分叶或毛刺。密度较淡,质地均匀。
接下来的部分就是进阶部分:
X线表现与原发病灶有密切关系,各种肉瘤转移大多为大而光滑的球形肿块;腺癌多为粟粒播散型或多发结节型;乳腺癌多为圆形阴影,常伴两侧胸膜转移;乳腺及消化系统癌罕有淋巴管炎性转移;绒癌可呈“雪球样”结节,表现为光滑的圆形肿块中心坏死的密度减低区;未分化癌转移多为浸润型;肾透明细胞癌转移呈特征性“炮弹型”;甲状腺癌可形成“风扫雪样”改变;头颈部鳞癌肺转移空洞多见。

怎么样是不是学到更多有用的知识呢,最后来一张真实的转移瘤图片,饭前勿看!

最后简单明了看一下宫颈癌可以转移到的部位,图中简单的英文单词请咨询度娘,万事不求人!(下图左上角为常见的两种转移途径哦,特别喜欢这个颜色的淋巴结,吼吼!)
参考资料:实用胸部影像诊断学(刘士远,陈起航,吴宁 主编)。
上一篇:胸壁结核1例影像表现