胸壁结核1例影像表现

发布时间:2022-10-23

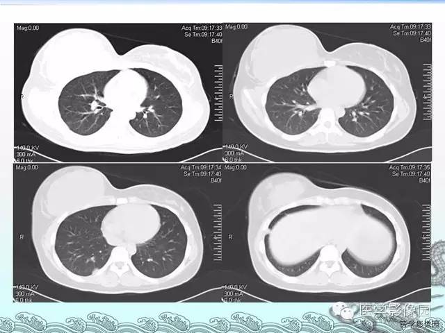
【病例】胸壁结核1例影像表现

【病例】胸壁结核1例影像表现

【病例】胸壁结核1例影像表现

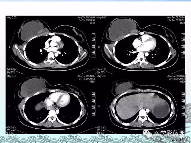
【病例】胸壁结核1例影像表现

【病例】胸壁结核1例影像表现

【病例】胸壁结核1例影像表现

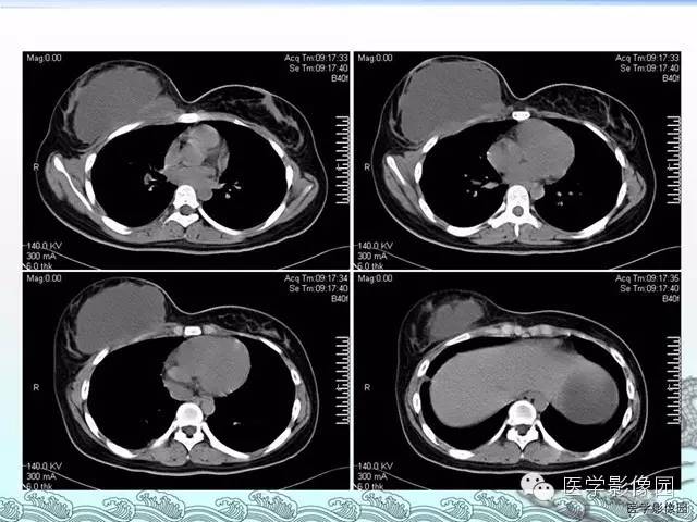
【病例】胸壁结核1例影像表现

【病例】胸壁结核1例影像表现

【病例】胸壁结核1例影像表现

【病例】胸壁结核1例影像表现

【病例】胸壁结核1例影像表现

【病例】胸壁结核1例影像表现

【病例】胸壁结核1例影像表现

【病例】胸壁结核1例影像表现

【病例】胸壁结核1例影像表现

精彩图片

热门精选