肺栓塞CT轻松入门
发布时间:2022-10-22
发布时间:2022-10-22
诊断肺栓塞(一般指肺动脉血栓形成),目前临床上基本靠肺动脉CT血管成像,简称肺动脉CTA(A:血管成像angiography),更简单的叫做CTPA(P代表肺:pulmonary)。刚开始看肺栓塞增强CT,觉得很神奇,学会以后才发现,就是那么一点小绝招。
今天我把这个小技巧分享给大家。这些都是我管过的病人,后面有一部分是论文里面的经典图谱。看了这些图谱,就算不是呼吸科的医生,都可以大概掌握肺栓塞的CT特点,不需要坐等放射科出报告。
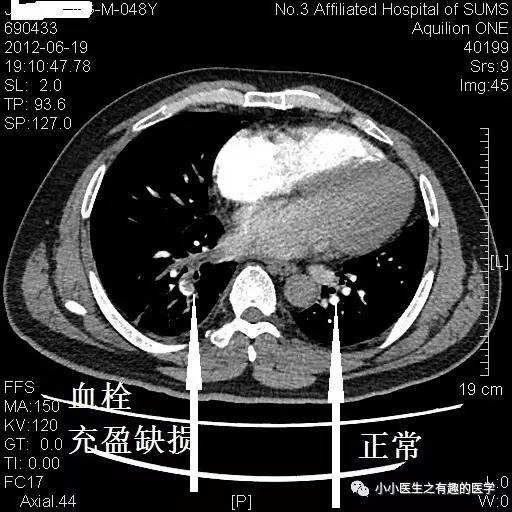
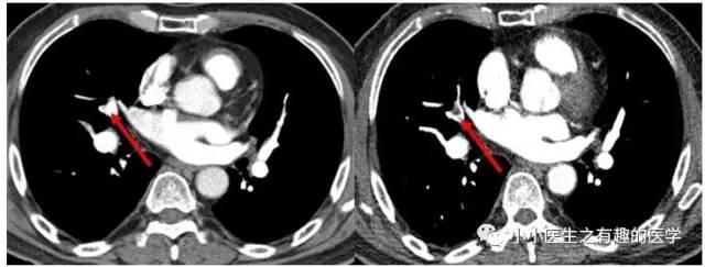
病例一:
女性,老年,胸痛伴气喘20余天。1周前出现双下肢浮肿。查体:双下肢足背浮肿。D-二聚体:5.10 ug/mL。心脏彩超:肺动脉收缩压RVSP:39mmHg。B超:双下肢深静脉血栓形成。

左肺动脉血栓。

左侧血栓,对比右侧就很通畅,一路顺风。

这条公路,全程阻塞,后方车辆请绕行。

小血栓。

右边也有血栓。
最终诊断:肺栓塞。
下面几个是我在中山大学读研究生期间收集的病例,当时中大买了一台320排螺旋CT,我还照了一张照片:亚洲第一台320排螺旋CT。
听说,现在部分医院有了640排CT,以后照CT可能只需要放个屁的时间,就可以OK了,哈哈。便屁的除外(放屁不通畅,乃便屁,便秘的孪生兄弟)。
病例二:
男性,人到中年,咯血,胸痛2天。查体:右下肺少量湿罗音。

右肺下叶后基底段肺动脉栓塞。

最终诊断:肺栓塞。
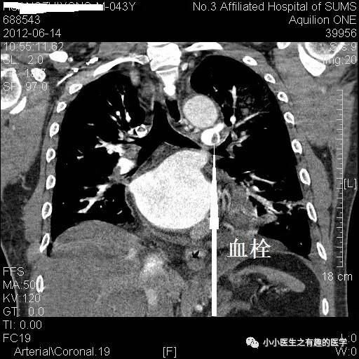
病例三:
中年男性,胸痛1小时。2月前在广东省人民医院行截肢手术。有心房纤颤,出院后自行停药。查体:心率140次/分,房颤律。D-二聚体:10.10 ug/mL。心肌酶谱正常。

左肺上叶动脉分叉处血栓。

最终诊断:肺栓塞。
病例四:
老人,吸烟30年。胸闷、呼吸困难1年。当地医院反复治疗,近期症状加重。

最终诊断:肺栓塞。
血栓太小了?来几个大的给你看看。首先,看看大扯蛋血栓。医学上,有种血栓叫骑跨血栓,很危险,骑跨:听着很拗口,也不形象,叫扯蛋血栓更形象。
部分学者认为骑跨血栓风险高,即使血流动力学稳定(无休克、血压下降等)也应该给予强有力的治疗:外科手术取栓、介入取栓、溶栓治疗,迅速溶解血栓恢复肺循环血流。真是扯着蛋了。
文献1:
广州呼研所报道的一例:扯蛋血栓。

入院后给予伊诺肝素钠皮下注射,第2天患者气促较前加重。体检:呼吸27次/分,Sp02:90%(吸氧4 L/min),血压103/62 mmHg。家属签署同意书后,给予重组人组织纤维蛋白溶酶原激活物50mg,静脉滴注2 小时,溶栓后患者气促缓解。
治疗后复查,血栓基本溶解。

文献2:
卫生部北京医院的病例。

亲们,这个胯子张的不是一般的大,可以去马戏团表演了,舞姿优美的一字马。大写的服。

亲们,这个左、右肺动脉主干几乎完全阻塞:一句话,蛋碎一地。也叫蛋碎肺栓塞,消失蛋肺栓塞,严重扯蛋肺栓塞。
看看下图,这才是正常的肺动脉。

亲们,我说的不无道理吧?!
再复习一下,肺动脉乃人字形。
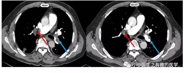
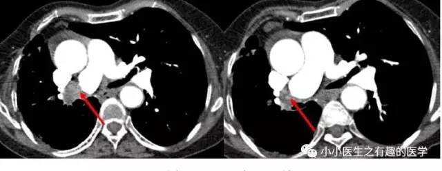
文献3:
很多中国的论文图像不清楚,来个广州呼研所的研究生论文,看看各种大血栓。

左、右肺动脉均有,治疗后效果很满意。

上图治疗后,效果还可以。

上图,右肺动脉栓塞,治疗基本无效。

上图:肺栓塞治疗后,反而加重了。
大血栓容易吧?作为呼吸科医生,小血栓也要会看。
再来一例。我读研究生期间的病人。

小小的充盈缺损。


看小小血栓,也不难。
再来一例:
青年男性,游走性下腹痛,住外科。查体:阑尾区无压痛,肾区叩痛。腹痛查因:泌尿系统结石?。入院后3天,突然胸痛,咯血,呼吸困难。哈哈,终于来个典型的肺栓塞了。

这个血栓不小。

small血栓,咱也别怕。
最后要记住,肺栓塞三联征。



最后的最后,要记住:典型的肺栓塞不多见,其他疾病不能解释患者的呼吸问题,就要考虑肺栓塞。