竟然是同一个患者?外伤肋骨骨折一定要建议复查!
发布时间:2022-10-22
发布时间:2022-10-22
近日,我院诊治了一例外伤患者,两次检查结果令我大吃一惊。
病例
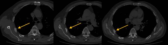
患者,男,56岁,胸部CT示右侧第4-6肋骨骨折,这本是十分正常的事情,但当我看了患者的前片后怀疑这两次检查不是同一个患者,因为第一次CT检查患者未见明确骨折(图1),第二次检查右侧肋骨可以看到明显的骨折线,部分断端错位,邻近胸膜肿胀(图2箭头所示)。
经过询问病史确定两次检查均为同一位患者。患者2017.08.17外伤后因右侧胸部疼痛进行胸部CT平扫检查,CT平扫示双侧肋骨未见明确骨折。患者保守治疗后回家休息,偶尔做农活,后来感觉不适感加重来医院复查。两次检查间隔时间为21天。

图1

图2
肋骨骨折是常见的临床损伤,尤其是现在各种车祸、工伤或者打架导致的肋骨骨折越来越多,由于这些患者涉及到司法鉴定和赔偿等问题,因此能够准确地对肋骨骨折做出诊断显得尤为重要。
典型的肋骨骨折比较容易诊断,可以经数字X线摄影(DR)检查,再结合临床表现即可明确诊断。但一些不典型的隐匿性肋骨骨折(如不完全性骨折、无显著错位的线性骨折等)DR检查很难发现。多层螺旋CT通过三维或二维重建,对骨折线的空间结构进行直观显示能够明显提高骨折的诊断准确率和阳性诊断率,但也会漏诊。
肋骨隐匿性骨折(ORF)多旋螺层CT检查的直接征象包括肋骨皮质皱褶、凹陷、隆起、皮质一侧透亮线等,间接征象常表现为附近局部胸膜肿胀或(和)肋间肌肿胀。
然而在实际工作中,相同的患者、相同的CT检查技术、外伤后不同的检查时间,可能得到不尽一致的影像学结果,引起了不必要的隐患,究其原因,除了扫描技术条件、后处理方法及患者的呼吸运动等外在影响因素,肋骨骨折病理生理变化也非常重要。
肋骨骨折后的10天内,骨折断端局部血肿形成,因骨折线清晰,未见明显骨痂形成,此时,多层螺旋CT检查ORF极易漏诊、误诊,这一时期称作模糊期。
骨折后11~20天内,骨痂形成不明显,骨折线显示不清晰,ORF检出率相对较低;
骨折后21~40天,骨折断端骨内膜增生成骨,可见骨痂形成,大大提高ORF的检出率,在多平面重组图像上可见部分骨痂形成,呈现云雾状稍高密度影,边缘较模糊;
骨折41天后,骨折断端内外骨痂增生,新生骨逐渐增多,此时在多平面重组图像上密度亦随之增高。而在50天以后,骨膜反应逐渐消退,肋骨塑形,骨痂逐渐吸收、缩小,在多平面重组图像上所呈现肋骨骨折征象的敏感性逐渐降低。
这位患者两次检查时间间隔21天,不能排除患者在20天内已经出现明显骨折征象,与文献中报道基本一致,此患者的特殊之处在于21天后患者不仅可以看到明显的骨折线,而且部分断端错位十分明显,结合其病史,可能和患者在这期间做农活有关,使出现骨折的肋骨发生错位。
因此,我们在临床工作中一定要提高警觉,外伤未见明确骨折的患者也一定要建议患者进行复查,以免引起不必要的纠纷!
参考文献
路洋,秦忠. 多层螺旋CT后处理技术在肋骨隐匿性骨折诊断中的应用价值[J]. 医学综述,2015,21(02):379-380.
王春国,杨玲,张炳,王国华,倪臣美. 隐匿性肋骨骨折多层螺旋CT最佳检查时间段的研究[J]. 临床放射学杂志,2016,35(10):1598-1601.
张明贵,孔江明,郑勇,潘孝根,张少青. 肋骨细微骨折MSCT的最佳检查时间[J]. 法医学杂志,2012,28(03):188-189 194.
上一篇:肺栓塞CT轻松入门
下一篇:肺叶间血管淋巴管瘤1例CT