肺栓塞提高篇:CT平扫可发现、甚至诊断肺栓塞,看看国外高手论肺栓塞
发布时间:2022-10-22
发布时间:2022-10-22
胸部高分辨CT平扫,可发现肺栓塞,甚至国外有高手在某些情况下直接拿来诊断肺栓塞。
哎,看世界纷纷扰扰,刀光剑影,高手出招,总让人耳目一新。今天把近期整理的文献和大家分享,期望大家探讨。
先上病例,我喜欢在病例分析中学习。
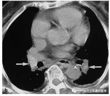
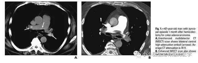
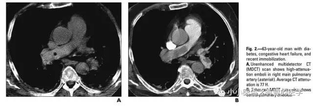
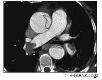
病例一:
作者单位:Department of Radiology, Thoracic Imaging Section, San Francisco General Hospital。旧金山总医院。

如图,高密度影的那一条。不怕,有增强CT证实。

是不是很有趣。
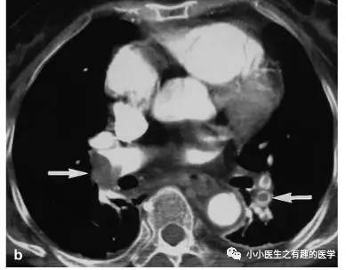
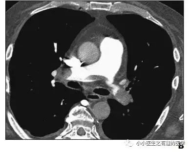
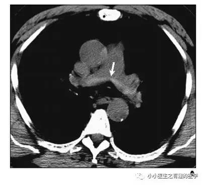
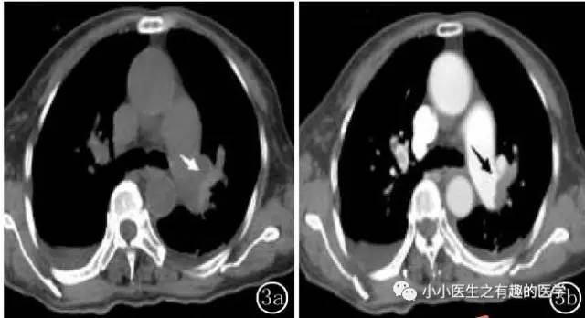
再来一个图。

仔细看,有端倪。增强CT可以核实。

很明显,病人做了CT平扫,我们要仔细阅片,发现可疑,及时增强CT,要不然就漏诊了。
上面图片的英文原版:

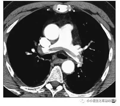
病例介绍二:
作者单位:Department of Radiology, University of Washington MedicalCenter, University of Washington School of Medicine。华盛顿医科大学。
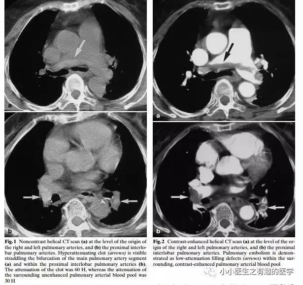
翠花上菜,学者上图。

发现嫌疑犯,立即逮捕。

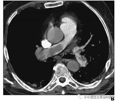
增强CT对比,一目了然。

上面的病人,增强CT放大了。
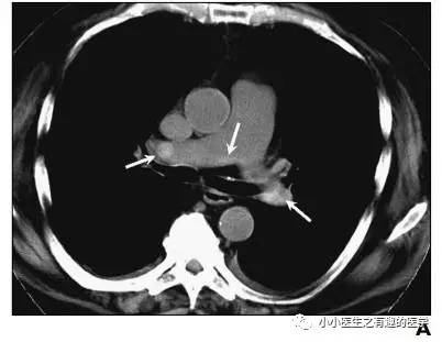
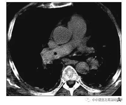
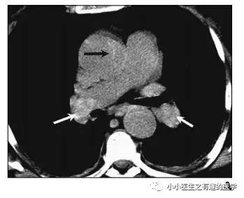
下面是另外一个:

星号的地方。


再来一个


很明显:扯蛋肺栓塞。

没看够?再来一个,让你一次看个够。


不光是肺栓塞,连主动脉夹层,都发现了。牛。我来标记一下。


究竟是美国的设备好,还是他们认真仔细?两者相辅相成。生产工具很重要,人的努力也很重要。
另外,社会要和谐。
老外报道一例病人,门诊急诊CT平扫发现肺栓塞,但是病人危重,再次外出做增强CT很危险,别人直接高分辨CT诊断肺栓塞,直接治疗,病情缓解再出去检查。在中国,你懂的。(抱歉:有些文献下载要钱,穷,没有下载到)。
病例介绍三:
其实,我大中华也有医生用CT平扫发现可疑肺栓塞。
下面是上海交通大学的论文。

基本上看的到。
病例介绍五:
再介绍一位牛人:首都医科大学,附属北京友谊医院,放射科主任医师,李铁一教授。以前买过一本他的书,好像广州图书馆,在天河地铁站那里,打折在卖,当时在读研究生,刚好有点钱,就买了,可惜书太老,图像不清楚,书写的很好。
2004年,李铁一教授就说了:对于不能使用对比剂或因非典型心肺症状而仅作平扫的病例, 肺动脉CT 平扫的异常密度改变能提示急性肺动脉栓塞的存在。

中国的扫描仪质量有待提高,各位意会一下。
文献六:
国外有高手专门研究了CT平扫诊断肺栓塞的可靠程度。
高分辨CT平扫管腔内高密度征象诊断肺栓塞的敏感性36.0%, 特异性99.0%, 阳性预测值90.0%, 阴性预测值85.6% 。
阴沟里洗原文:The hyperdense lumen sign has an over-all sensitivity of 36.0%, specificity of 99.0%, PPV of 90.0%, and NPV of 85.6% (κ = 0.449; P-value < 0.001).
高分辨CT平扫管腔内高密度征象诊断中心肺栓塞敏感性66.7%, 特异性99.1%。
阴沟里洗原文: In detecting central thromboembolism, the sensitivity, specificity, PPV, and NPV of this sign were 66.7, 99.1, 88.9, and 96.4%, respectively (κ = 0.740; P-value < 0.001).
另外,CT发现肺纹理减少,也要警惕肺栓塞。
先来说说马赛克。
马赛克征象:由于气道疾病或肺血管性疾病,引起相邻的肺区血液灌注上的差别而出现的不均匀肺密度区,称马赛克灌注。
以图说话,下面都是马赛克,注意了。




马赛克是什么意思,就是马赛克存在的意义?如图

说的非常经典。
假如CT平扫发现肺部某些地方血管稀疏,灌注不足,千万不要以为没事,有时候,就是肺栓塞,需要警惕。
马赛克,需要警惕肺栓塞,它是肺栓塞的间接表现。并且,在临床中,间断会遇到这样的情况。

至于典型的“倒三角”要考虑肺栓塞,这些太经典,我就不赘述。

上一篇:胸膜结核瘤1例CT影像表现
下一篇:肺栓塞CT轻松入门