主动脉壁内血肿1例CT影像表现
发布时间:2022-10-22
发布时间:2022-10-22
病例资料
78岁女性,有重大心血管病病史,出现急性胸痛及呼吸急促。








你的诊断是?
答案揭晓
【影像分析】
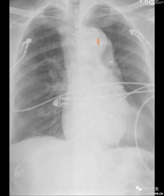
图1和图2:图像显示主动脉结移位。图1是患者一两个月前在另外一次主诉不同的随访中进行的检查结果。与图1相比,图2的移位显而易见。
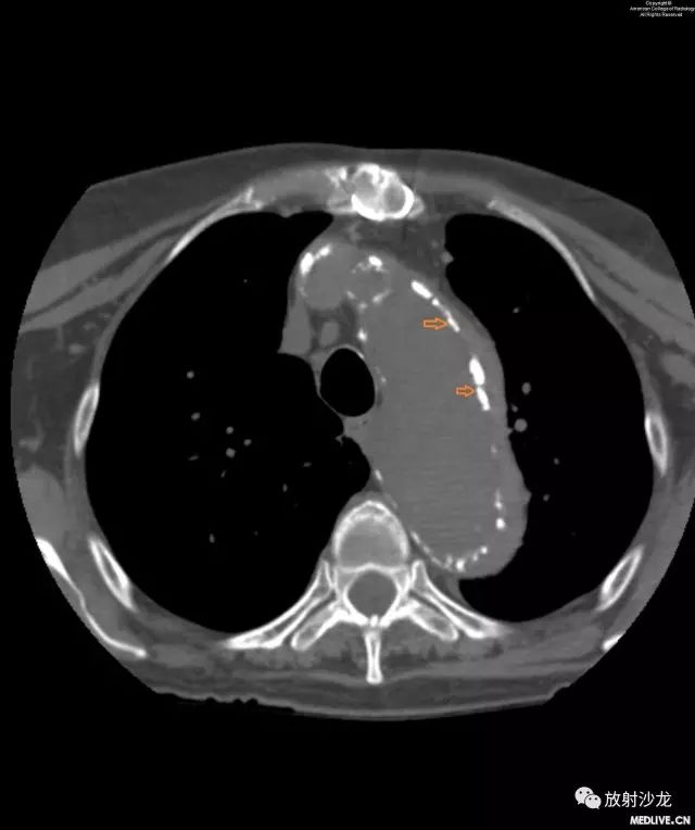
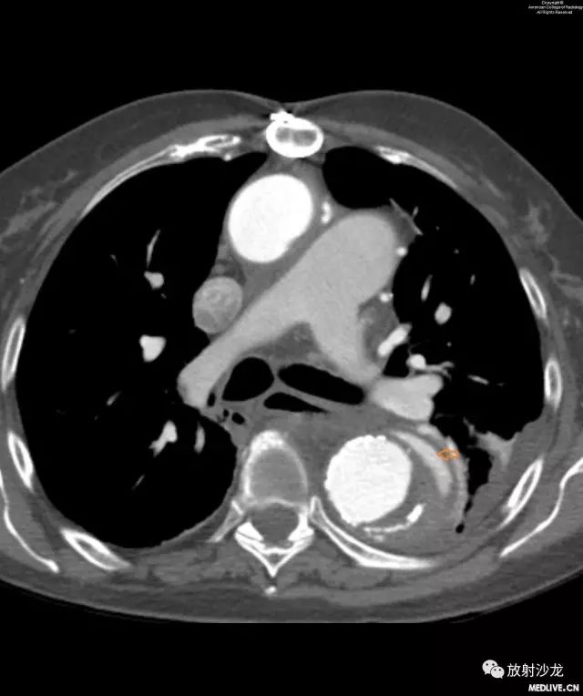
图3和图4:CT平扫和增强扫描显示由于壁内血肿(intramural hematoma,IMH)而移位的主动脉钙化。注意IMH呈稍高密度影,这提示出血是急性的。
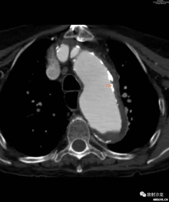
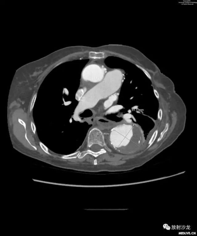
图5和图6:患者5天后由于胸痛复发回到急诊。图5的增强CT扫描显示既往的IMH出现小撕裂口,导致内膜夹层。图6显示了在下部层面出现强化的假腔。
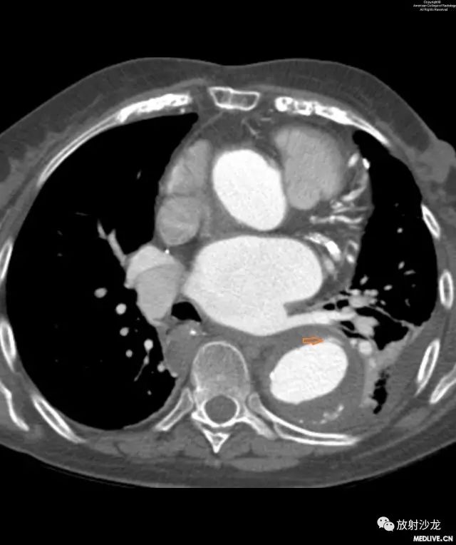
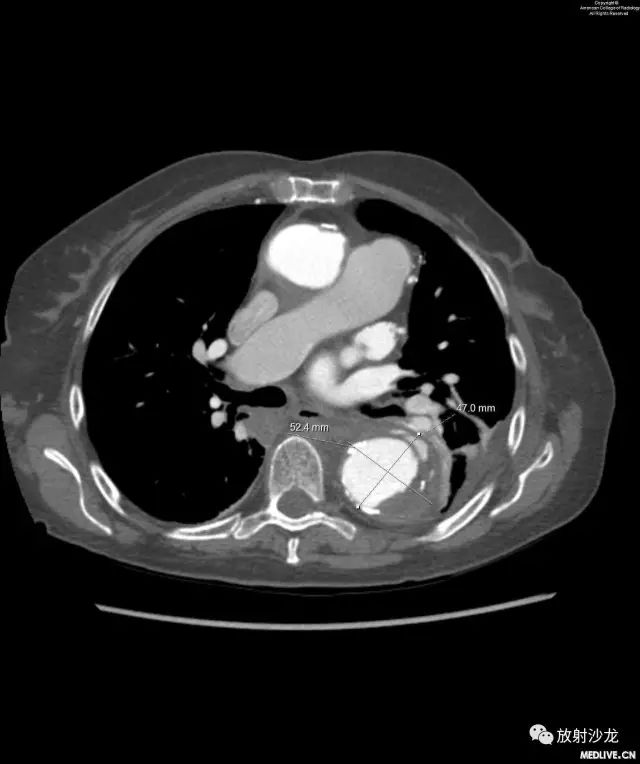
图7和图8:图7与图6为同一层面的图像。该患者恢复4周后再次出现新的胸痛。降主动脉扩张区可见假腔内血栓形成和慢性附壁斑块。图8与图6情况相似,额外补充了测量数据。
【诊断结果】
壁内血肿(intramural hematoma,IMH)
【要点】
◇急性主动脉综合征包括一系列主动脉紧急情况:IMH、主动脉穿透性溃疡、动脉瘤样扩张。
◇IMH及Stanford B型夹层的初步药物治疗主要是积极控制血压。
◇尽管有适当的药物治疗,当症状出现恶化或存在影像学证据时,如本病例动脉瘤进展性扩大,是外科手术或血管内介入治疗的适应症。
◇当药物治疗无效时,对于Stanford B型主动脉夹层,血管内支架置入术优于手术修复。
【讨论】
主动脉IMH由血管滋养管内侧壁破裂引起,从而导致出血。这是急性主动脉综合征(AAS)系列的一部分,它描述了包括急性主动脉夹层(AD)、IMH和穿透性溃疡等紧急情况。IMH进展为典型AD、动脉瘤、主动脉破裂在文献中是有据可查的。
AD是血管壁内膜出血引起的内侧层内出现裂缝。血液流动的力量导致主动脉形成真假两腔及将其分为两部分的内膜瓣,真腔的外壁包括完整三层血管,假腔的外壁则由分隔的内膜瓣和弱化的血管中膜及外膜构成。
本例患者为一名具有重大心血管病病史的78岁女性,以胸痛为主要症状,诊断为向下延伸的急性IMH,并对其进行相关治疗。
五天后,患者由于胸痛复发及高血压急症再次回到急诊室。CT可见以前的IMH形成了Stanford B型夹层以及新出现的左侧胸腔积液。由于症状反复发作与疾病的恶化,患者被转移到一个三级医疗中心。住院期间对该患者的血压进行控制,考虑行非急诊血管内支架置入术,并在出院后对她进行密切随访。
在血管手术前一周,患者诉10/10级剧烈胸痛,急性发作使她从睡梦中惊醒。影像学检查显示假腔内血栓形成、受累部位主动脉瘤样扩张、顽固左侧胸腔积液。患者进行了成功的血管内支架治疗。
IMH与典型主动脉夹层的共同点是血管内膜层的破坏。因为IMH往往是AD发生的前兆,这两者的临床表现非常相似,IMH的1年死亡率为8.1%,AD为8.6%。其症状没有特异性,胸痛是最常见的症状。在美国A、B两型AD的发病率为2.9~3.5/10万人-年,占据了急诊发病率的1/10000。 AD是一种危及生命的严重事件,即使配合治疗,A型和B型AD的整体死亡率为27.4%,并且发病内7日死亡率最高。
Stanford的分类方案准确地预测了治疗和预后。当病变累及降主动脉到左锁骨下动脉远端时被分为Stanford B型。风险因素包括动脉粥样硬化、高血压、动脉瘤病史、既往夹层发作和一些遗传性疾病,包括马凡综合征、Ehlers-Danlos综合征、Loeys-Dietz综合征,这些遗传病改变了胶原蛋白和弹性基质的结构基础。
由于IMH与其他常见疾病症状存在重叠,诊断主要依赖于影像学检查。对有胸痛这一非特异性症状的患者进行初步检查时,胸片显示纵膈影增宽往往是最常见的发现,可见于61.6%的患者。主动脉钙化移位是最不常见的发现,在14.1%的患者中可以看到, 12.4%的患者胸片没有任何特殊表现。尽管它敏感性和特异性均很低,但胸片往往能够提供细微线索,以提示进一步的全面评估和诊断,正如本病例所示。
虽然每项检查都有局限性,但在检测内膜瓣的存在时,MRI、CT和经食管超声心动图都有较高精度。MRI和CT都具有94%以上的敏感度及分别为98.3%和83-100%的特异度。CT敏感性较高,扫描时间快,检测血管受累能力强,使得它成为重要的诊断工具。MR在识别破裂点和检测主动脉瓣关闭不全方面存在优越性,但由于患者禁忌症及可行性受限,MRI的利用率较有限。
治疗方面,无论是B型AD还是IMH,积极控制血压都很重要。远端肠系膜/肢体缺血定义的不稳定夹层、经常胸痛、胸腔积液增加、动脉瘤样扩张均是手术或血管内修复术的适应症。与开放手术相比,血管内修复可以大幅降低术中死亡率,并对神经系统的预后更为有利,因此是主要的治疗选择。
上一篇:结节病1例CT
下一篇:心包脂肪坏死一例CT