心包脂肪坏死一例CT
发布时间:2022-10-22
发布时间:2022-10-22
病例资料
58岁男性,主诉胸前区胸膜性疼痛数日。根据病史和影像学检查,最可能的诊断是?


答案揭晓
【影像分析】
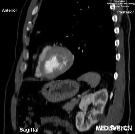
图1和图2:轴位和矢状位的CT增强扫描显示,左前外侧心包腔可见一约8毫米的低密度灶,并可见高密度包膜。矢状位图像表明,这一病变明显与任何膈肌病变无关,因此膈疝是不可能的。
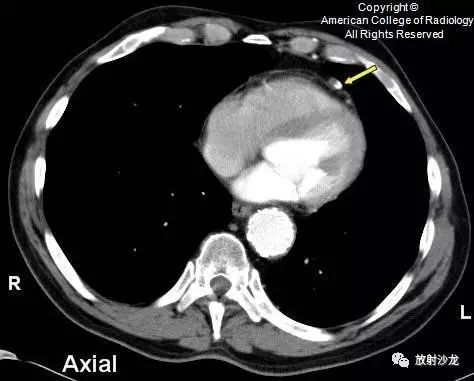
下图为患者六个月后的图像,显示病灶边缘部分出现钙化(箭头)。

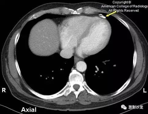
下图为另一患者的CT图像,显示左前外侧心包腔内慢性心包脂肪坏死病灶出现边缘环状钙化,与腹腔内网膜附属物的钙化表现相似。

【病例要点】
◇心包脂肪坏死是一种不常见的良性自限性疾病,常表现为胸膜性胸痛。
◇影像学检查中,病灶表现为有包膜的脂肪密度,邻近区域可呈炎性改变。
◇治疗主要是保守疗法,一般不进行手术治疗。
【讨论】
心包脂肪坏死常以胸膜性胸痛为主要表现,症状为自限性,并在几天之内缓解。实验室检查和心电图结果都是非特异性的。其病因尚未知,通常认为是相关血管蒂扭转或胸腔内压增高,导致毛细血管压力增加和出血性坏死。
胸片上经常可以看到心缘附近密度升高,特别是在左侧。CT上心包脂肪坏死表现为心包或心外膜区域的脂肪密度病灶,周围被高密度炎性脂肪病变所环绕。显微镜下看到的病理表现类似于网膜附件炎,包括炎性细胞载脂巨噬细胞将坏死脂肪细胞包围。随后,病变被分解为瘢痕组织或被致密的包膜或钙化隔开。
心包或心外膜空间内低密度病灶的鉴别诊断包括脂肪瘤、脂肪肉瘤、胸腺脂肪瘤、畸胎瘤、膈疝,如先天性胸骨后膈疝。冠状位和矢状位重建图像可以用来排除膈疝诊断,在观察病灶有没有连接到腹腔方面很有帮助。脂肪被“分隔”的征象鉴别诊断的要点,使得其他诊断(如脂肪瘤)可能性下降。心包脂肪坏死的治疗以保守为主,如果临床症状和影像学特点均一致支持心包脂肪坏死的诊断,则不考虑手术治疗。
上一篇:主动脉壁内血肿1例CT影像表现
下一篇:胸膜结核瘤1例CT影像表现