结节病1例CT

发布时间:2022-10-22

病史

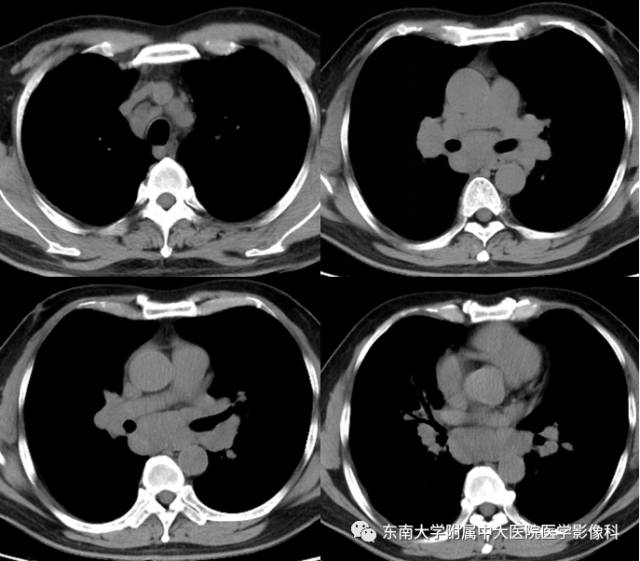
男,43岁,因“咳嗽咳痰1月余,加重1天”入院。

CT

【病例】结节病1例CT

【病例】结节病1例CT

【病例】结节病1例CT

【病例】结节病1例CT

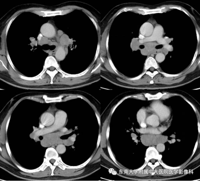
【病例】结节病1例CT

【病例】结节病1例CT

【病例】结节病1例CT

【病例】结节病1例CT

【病例】结节病1例CT

【病例】结节病1例CT

【病例】结节病1例CT

【病例】结节病1例CT

【病例】结节病1例CT

【病例】结节病1例CT

【病例】结节病1例CT

【病例】结节病1例CT

【病例】结节病1例CT

【病例】结节病1例CT

精彩图片

热门精选