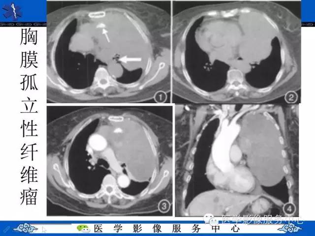
胸膜孤立性纤维瘤1例CT影像表现与鉴别

发布时间:2022-10-22

【病例】胸膜孤立性纤维瘤1例CT影像表现与鉴别

【病例】胸膜孤立性纤维瘤1例CT影像表现与鉴别

【病例】胸膜孤立性纤维瘤1例CT影像表现与鉴别

【病例】胸膜孤立性纤维瘤1例CT影像表现与鉴别

【病例】胸膜孤立性纤维瘤1例CT影像表现与鉴别

【病例】胸膜孤立性纤维瘤1例CT影像表现与鉴别

【病例】胸膜孤立性纤维瘤1例CT影像表现与鉴别

【病例】胸膜孤立性纤维瘤1例CT影像表现与鉴别

【病例】胸膜孤立性纤维瘤1例CT影像表现与鉴别

【病例】胸膜孤立性纤维瘤1例CT影像表现与鉴别

【病例】胸膜孤立性纤维瘤1例CT影像表现与鉴别

【病例】胸膜孤立性纤维瘤1例CT影像表现与鉴别

【病例】胸膜孤立性纤维瘤1例CT影像表现与鉴别

【病例】胸膜孤立性纤维瘤1例CT影像表现与鉴别

【病例】胸膜孤立性纤维瘤1例CT影像表现与鉴别

【病例】胸膜孤立性纤维瘤1例CT影像表现与鉴别

【病例】胸膜孤立性纤维瘤1例CT影像表现与鉴别

【病例】胸膜孤立性纤维瘤1例CT影像表现与鉴别

【病例】胸膜孤立性纤维瘤1例CT影像表现与鉴别

【病例】胸膜孤立性纤维瘤1例CT影像表现与鉴别

【病例】胸膜孤立性纤维瘤1例CT影像表现与鉴别

精彩图片

热门精选