纵隔巨淋巴结增生症1例CT影像表现
发布时间:2022-10-22
发布时间:2022-10-22
男性,32岁。无明显原因胸闷不适3月,胸片示纵隔及左肺门占位。


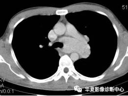
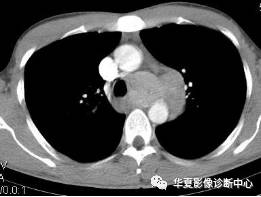
【CT征象】纵隔主肺动脉窗内见团状软组织肿块,最大截面约5.0cmX4.0cm,密度均匀,动脉期呈中度强化,延迟扫描呈明显强化,接近同期血管密度;左肺动脉干及左主支气管略受压。
【CT诊断】 ①巨淋巴结增生症;②淋巴瘤;③结节病;④淋巴结结核。
【最后诊断】纵隔巨淋巴结增生症。
【评 述】 巨淋巴结增生症是一种异源性的罕见的淋巴组织增生性疾病,与1954年由Castleman首先报道,故又称为Castleman。病理学上分为两型:①透明血管型:主要有增生的淋巴细胞及丰富分血管
构成,占80~90%,多无临床症状,好发于纵隔。②浆细胞型:主要以大量浆细胞浸润为主,而血管成分少,占10~20%,同时伴有低热、血沉快、贫血、球蛋白增高等临床表现,好发于腹膜后和肠系膜、颈部、盆腔等。
CT表现:①单发淋巴结肿大,多见于透明血管型,平扫密度均匀,增强扫描动脉期明显强化,静脉期及延迟期持续强化,期周围尚可见多数斑点状高密度影城弧形环绕,此为血管丰富的表现,可能为透明血管型巨淋巴结增生症的特征性表现。②多发淋巴结肿大或融合,多见于浆细胞型,浆细胞型呈现轻度强化。CT表现缺乏特异性。③继发性改变,如胸、腹水和肝、脾肿大等。
鉴别诊断:①淋巴瘤:纵隔淋巴瘤的分布以前纵隔和支气管旁组最常见,其次是气管与支气管组和隆突下组,增强扫描呈轻度强化。②结节病:常纵隔及肺部病变同时存在,纵隔及两侧肺门淋巴结肿大、肺间质性改变为主,以患者症状轻、症状进展缓慢为特点。③淋巴结结核,淋巴结肿大多为一侧性,增强扫描呈环形强化。肺内多有结核病变,临床上有结核中毒症状。
上一篇:肺炎支原体肺炎1例CT影像表现