肺肉瘤样癌1例CT影像表现

发布时间:2022-10-22

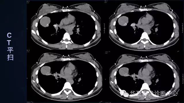
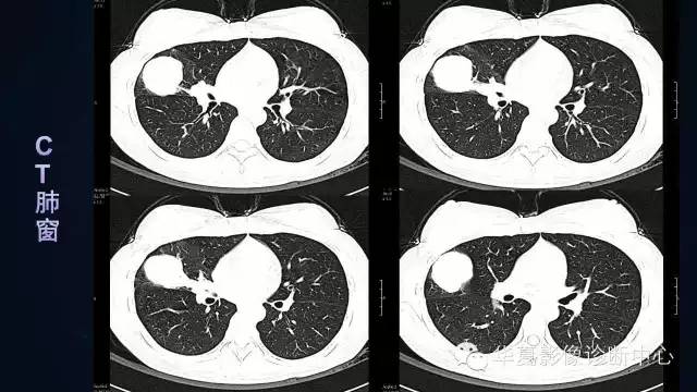
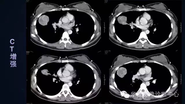
【病例】肺肉瘤样癌1例CT影像表现

【病例】肺肉瘤样癌1例CT影像表现

【病例】肺肉瘤样癌1例CT影像表现

【病例】肺肉瘤样癌1例CT影像表现

【病例】肺肉瘤样癌1例CT影像表现

【病例】肺肉瘤样癌1例CT影像表现

【病例】肺肉瘤样癌1例CT影像表现

【病例】肺肉瘤样癌1例CT影像表现

【病例】肺肉瘤样癌1例CT影像表现

精彩图片

热门精选