左肾结核CT病例(三期增强)影像诊断分析
发布时间:2022-10-21
发布时间:2022-10-21
【病史临床】患者,男,51岁。左侧腰部酸痛、不适半月。血尿常规检查未见异常,IVP检查左侧肾脏不显影。
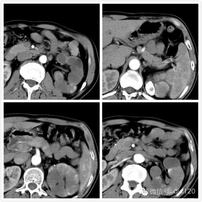
【影像图片】CT平扫图像:

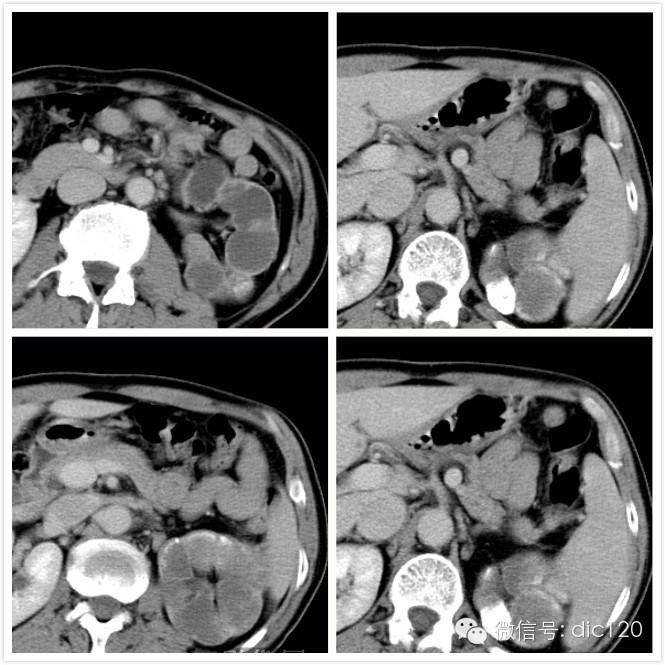
CT增强肾皮质期图像

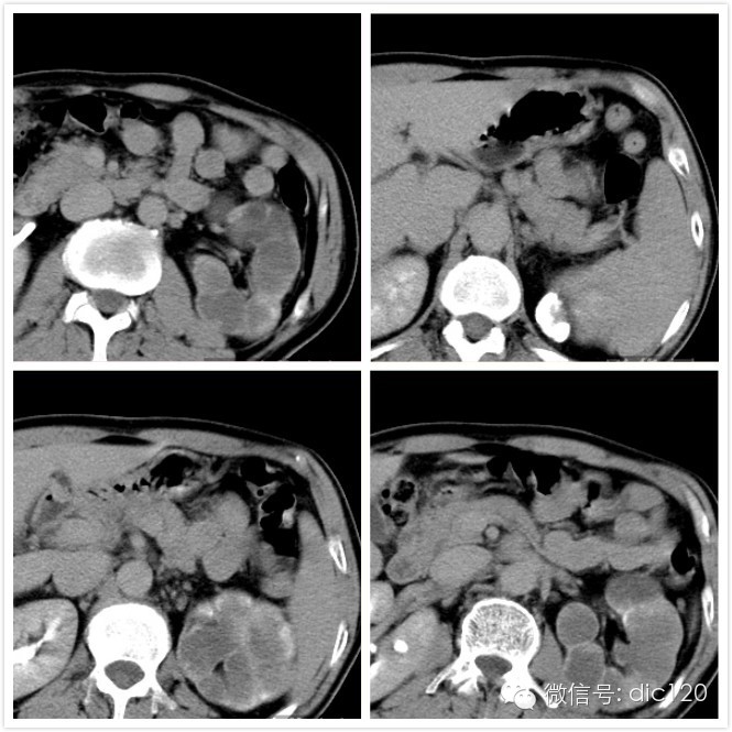
CT增强肾实质期图像

CT增强肾排泄期或肾盂期图像

CT图像特点:左侧肾盏、肾盂扩张,呈多发囊性低密度灶,囊内CT值略高于水;肾脏实质萎缩。 病变内可见结节状、云絮样子钙化灶,增强后未见明显强化。
结果:左侧肾脏结核,右肾多发囊肿
点评:肾结核大多来自血源性感染,结核杆菌随血流侵入肾皮质形成感染灶,病变进展可形成干酪样坏死和结核性脓肿。脓肿破入肾盏形成空洞,若全肾钙化致肾功能完全丧失, 称肾自截。临床上肾结核早期无明显症状,随病情进展可出现尿频、尿急、脓尿和血尿。且有消瘦、乏力、低热及盗汗等结核中毒症状。
1.影像学特点:平片及静脉肾盂造影检查:平片常无异常发现。或可见肾实质云絮状或弧形钙化,当出现全肾钙化,肾萎缩变小,肾功能很差或无功能,这种全肾弥漫性钙化称为“自截肾”(Autonephrectomy),常见于肾结核晚期。IVU有以下几种表现:
① 早期局限在肾实质的结核病变,未侵入肾乳头不影响肾盏及肾功能时,静脉肾盂造影无阳性发现。
② 病变侵入肾小盏,表现末端小盏杯口圆钝,模糊不整,呈虫蚀状改变。
③ 肾乳头溃疡空洞形成,表现为一团造影剂影与肾盏相连,边缘不整,位于肾盏外方实质内。
④ 结核性脓肾,肾盂肾盏破坏,狭窄和扩大,肾盏大部分破坏,肾盂大量积脓及疤痕收缩变形,肾功能受损严重,肾不显影。
CT:① 早期显示肾实质内多发形态不规则低密度灶,边缘不规整,可与肾盂肾盏相通,增强扫描病灶区无明显强化;
② 病变进展,可见部分肾盏或全部肾盏、肾盂扩张,呈多发囊性低密度灶,囊内CT值略高于水;
③ 病变内可见大小不一钙化灶,呈点状或不规则高密度影,严重者肾大部或全部弥漫性钙化。
④ 晚期肾脏体积缩小,形态不规则,肾盂肾盏壁明显增厚。
MRI:形态学表现与CT类似。肾实质内的脓肿、空洞与扩张的肾盂肾盏均呈长T1长T2信号。
USG:肾结核声像图无明显特征性。早期,超声扫描肾实质内可见无回声区并伴有小点状或斑片状回声。
2.鉴别诊断LGn影像园XCTMR.com
肾结石:肾结石局限于肾盂肾盏内,边缘清晰,密度高,且形态与肾盂肾盏常类似,而肾结核钙化常呈点片状位于肾实质内。肾肿瘤:肾脏肿瘤可有肾盏破坏及钙化,常伴肾盂肾盏受压变形移位及充盈缺损。
肾钙质沉着症:本病诊断主要依靠平片和尿路造影,可发现双侧对称弥漫分布于肾髓质和皮质的羽毛状或小点状钙化,有特征性。
上一篇:肝脏、脾脏、腹腔包虫病一例
下一篇:胆囊炎、胆囊结石一例CT病例讨论