肝脏、脾脏、腹腔包虫病一例
发布时间:2022-10-21
发布时间:2022-10-21
简要病史:患者于入院前19年因诊“卵巢囊肿”行手术治疗,术中诊断为包虫病,术中囊液污染腹腔。术后患者恢复良好。患者于3年前无意中发现左上腹部出现一包块,约3*3cm大小,无触痛,活动度可,无发热、乏力,无恶心、呕吐,无腹痛、腹泻,无胸闷、气短,无皮疹等不适,查B超考虑肝包虫(多发)、脾肾间隙处实性占位,考虑包虫。



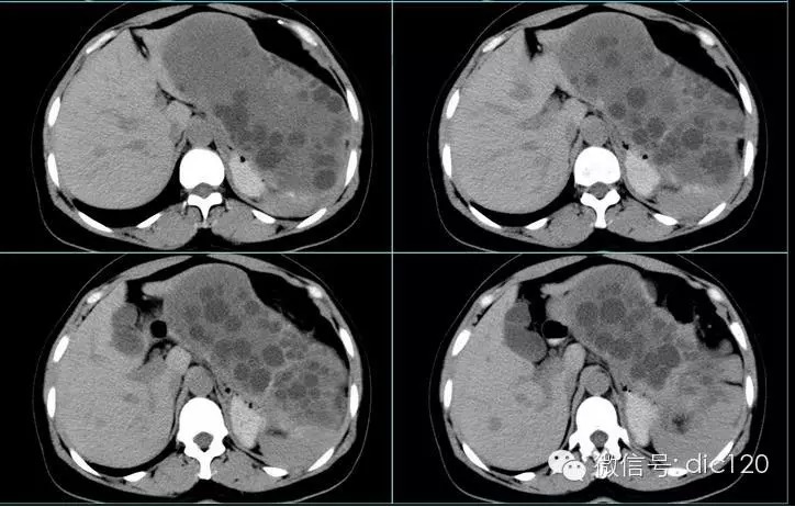
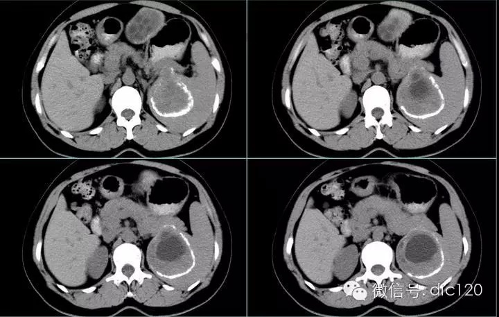
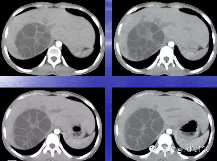
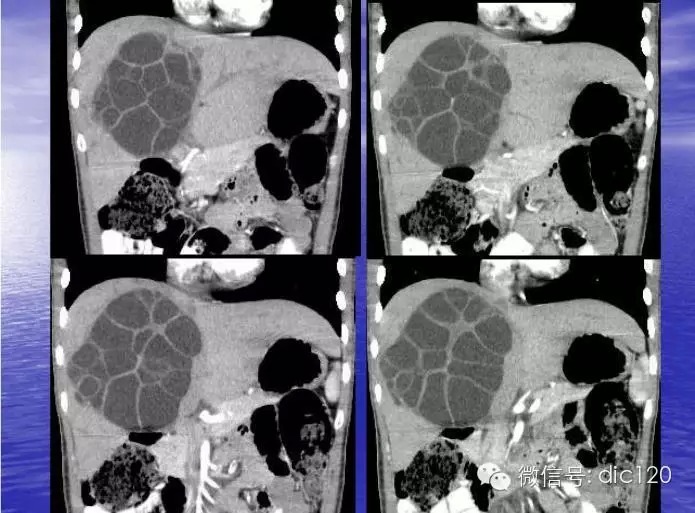
肝包虫病CT表现:
(1)肝内圆形或类圆形低密度区,CT值可在-14~25HU,密度均匀一致,增强后无强化表现。边界清楚,光整。囊壁及囊内分隔有增强效应。
(2)大的囊腔内可见分房结构或子囊(囊内囊)。子囊的数目和大小不一。如子囊主要分布在母囊的周边部分呈车轮状。
(3)囊壁可见钙化,呈壳状或环状,厚薄可以规则,为肝包虫病特征性表现。
(4)因感染或损伤,可造成内囊分离,如内、外囊部分分离表现为双边征;如内囊完全分离、塌陷、卷缩,并悬浮于囊叶中,呈水上荷花征。偶尔完全分离脱落的内囊散开呈飘带状阴影。
肝包虫病是牧区较常见的寄生虫,也称肝棘球蚴病。在中国主要流行于畜牧业发达的新疆、青海、宁夏、甘肃、内蒙和西藏等省区。病因犬绦虫寄生在狗的小肠内,随粪便排出的虫卵常粘附在狗、羊的毛上,人吞食被虫卵污染的食物后,即被感染。虫卵经肠内消化液作用,蚴脱壳而出,穿过肠黏膜,进入门静脉系统,大部分被阻留于肝脏内。蚴在体内经3周,便发育为包虫囊。包虫囊肿在肝内逐渐长大,依所在部位引起邻近脏器的压迫症状,并可发生感染,破裂播散及空腔脏器阻塞等并发症。







上一篇:盆腔神经鞘瘤一例