胆囊炎、胆囊结石一例CT病例讨论
发布时间:2022-10-21
发布时间:2022-10-21
女性,43岁。右小腿外伤入院。入院查腹部B超示:胆囊内见4.1×2.9cm低淡光团,边界不清,未排实性占位。





小编留言:每天的病例都需要您的思考才会有更多的收获,同时分享到朋友圈和自己的小伙伴们多交流交流!病理结果就在下边,但请记住:多一份思考,多一份收获!
———-♀【病例讲堂】分割线♀———
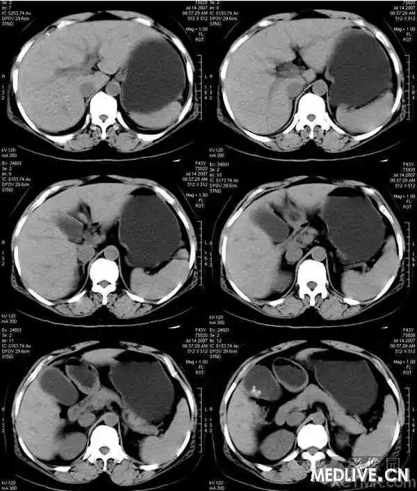
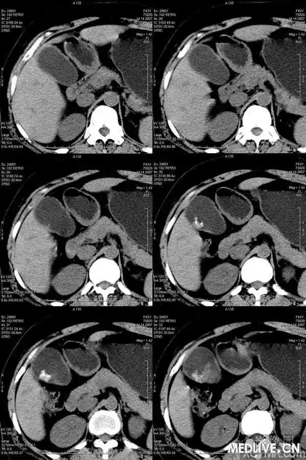
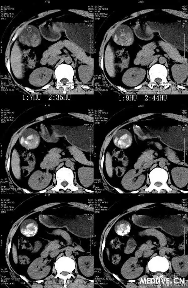
【影像表现】
胆囊内混杂高密度影,内有不规则形钙化,胆囊壁略增厚。
【结果】
手术:胆囊4x8cm大小,胆囊内未见占位性病变,壁不厚,有泥沙样结石。行“胆囊切除术”.病理:为慢性胆囊炎。
【讨论】
胆结石是一种常见病,多见于中年女性,病因多与家族史、油腻饮食、血脂增高、饮酒等因素有关,分为胆色素型、胆固醇型和混合型。临床上表现为胆绞痛和阻塞性黄疸,伴有胆囊炎者可有胆囊炎的症状体征。
声像图示胆囊腔内一个或多个强回声光团、光斑、或弧形强光带,后方伴有清晰的声影,可随体位改变而移动;典型声像图表现为“囊壁、结石、声影”三合征;充满型结石表现为胆囊无回声消失,前半部呈弧形强光带,后方伴声影;泥沙样结石则为囊内细小的强回声光点群,后伴声影;胆囊壁间结石则为壁内强回声光斑,后方伴彗星尾征或声影,体位改变时不移动。
CT表现因结石化学成分不同,可为高密度、等密度、低密度、环状结石。等、低密度结石CT不易发现,胆影葡胺增强检查见胆囊内可移动的充盈缺损可明确。
典型的超声及CT表现,胆结石诊断不难,需与胆囊息肉、胆汁浓缩及胆囊癌相鉴别。胆囊息肉呈高回声结节,后不伴声影,不随体位改变而移动;胆汁浓缩示胆囊内回声增强、密度增高,但后方不伴声影;胆囊癌呈实性结节,突向囊腔,增强后强化及向周边侵犯可鉴别。