罕见,军团菌感染引起房室传导阻滞
发布时间:2023-01-16
发布时间:2023-01-16
医脉通编译整理,未经授权请勿转载。
病例资料
患者男性,72岁。主因在新冠病毒感染大流行高峰期出现干咳6天和
此次入院时患者无发热,血压 145/87 mmHg,心率84次/min,存在呼吸急促、呼吸窘迫和缺氧,呼吸频率为21次/min,吸氧浓度为3L时的氧饱和度为94%。肺部听诊双肺进气相等,双侧基底极少量细小爆裂声。颈静脉压无升高,小腿无压痛、肿胀。考虑到COVID-19大流行,成为推定诊断。
初步实验室结果显示嗜中性粒细胞增多(9.1×109/L)以及淋巴细胞减少(0.8×109/L),
入院时室内空气中动脉血气提示1型

(图1 心电图检查)

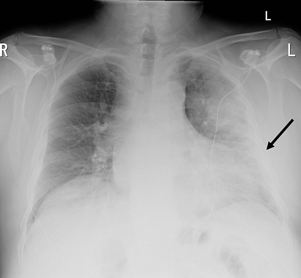
(图2 胸部X线检查)
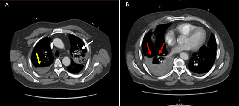
由于患者D-二聚体过高,怀疑

(图3
患者的
初始针对COVID-19的治疗包括口服类固醇,注射复合阿莫西林-克拉维酸以及口服克拉霉素治疗继发性胸部细菌感染。在报告CT肺血管造影结果和COVID-19检测阴性结果后,停用类固醇和抗生素,开始使用多西环素治疗非典型肺炎。在应用多西环素治疗治疗的第2天,患者尿中军团菌抗原检测呈阳性。给予口服多西环素治疗14天。感染消退,计划植入永久性起搏器。随访胸部X线显示右侧少量
分析讨论
虽然有几种感染性疾病与心脏传导异常相关,但由军团菌感染引起的心脏传导异常非常罕见,心脏传导障碍在儿科人群中更为常见。
军团菌属需氧革兰氏阴性杆菌,对外界环境抵抗力强,水污染是军团菌传播的重要途径。流行病学研究显示,冷却水、淋浴水是军团菌的主要污染源,军团菌病可散发,也可暴发,大部分的军团菌病患者为散发病例。军团菌病一年四季均可发病,尤其是夏秋季,老年人、儿童以及免疫功能低下者更易感。本例患者无明显暴露,也没有相关旅行史,其感染源尚不清楚。疑似军团菌感染的患者,建议进行尿液抗原检测和痰培养。军团菌尿抗原只针对嗜肺军团菌血清1型,阳性可确诊。标本培养是军团菌病的诊断金标准。
军团菌感染后的严重程度与细菌量及感染宿主的免疫程度相关。根据临床表现不同,军团病主要分为军团菌肺炎和庞蒂亚克热。军团菌病的治疗应选择细胞内活性高的抗生素,如大环内酯 (红霉素、阿奇霉素等)、新氟喹诺酮类、
关于军团菌相关性心脏传导问题的预后尚不清楚,本例患者经检查评估需要植入永久性起搏器,可能与军团菌感染加剧了某些潜在的传导异常相关。
在社区获得性肺炎的背景下出现新发心脏传导障碍的患者中,建议将军团菌感染作为鉴别诊断,及时识别和治疗军团菌感染对于减少继发并发症(如心脏受累)和预防可逆性感染性心脏传导阻滞至关重要。
参考资料:
1.Oo K, Lwin M, Porter J (January 08, 2023) Atrio-Ventricular Block by Legionella Disease. Cureus 15(1): e33498. doi:10.7759/cureus.33498.
2.苏卫.新冠肆虐,谨防军团病再添乱[J].江苏卫生保健,2022,No.296(08):19.
3.段智梅,魏腾陈等.军团菌肺炎临床分析并文献复习[J].解放军医学院学报,2022,43(03):284-290.
下一篇:腹膜后多形性未分化肉瘤1例