腹膜后多形性未分化肉瘤1例
发布时间:2023-01-17
发布时间:2023-01-17
作者:刘向,李思佳,华北理工大学研究生院;陈英敏,河北省人民医院医学影像科
患者女,20岁。5个月前因进食后右上腹胀,无腹痛,当地市医院就诊。超声检查:显示“肝脏下方囊实性肿块,建议进一步检查”而就诊我院,实验室检查:糖类抗原125(CA125)45.66U/ml。

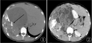
图1
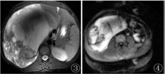
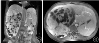
MRI检查:右侧腹膜后可见巨大团块状囊实性异常混杂信号影,呈T1WI等低、T2WI高等低信号(图3)、DWI高低混杂信号(图4),其内可见多发分隔影,增强扫描实性部分及分隔呈渐进性持续明显强化(图5,6),囊性部分未见明显强化。


图3 T2WI显示病变内信号不均匀;图4 DWI病变呈不均匀高信号;图5,6增强冠状位及轴位扫描显示病变呈不均匀强化;
行腹膜后肿块切除术,术中见右侧腹膜后巨大囊实性肿物,上部质硬,似有假包膜,肿物下部部分呈囊性。

图7 肿物表面切面部分区域呈实性,切面灰黄质硬;图8 病理(HE,×200)显示肿瘤细胞明显多形性,部分区域呈细胞梭形
免疫组化:CK(-)、Vimentin(+)、EMA(部分+)、Desmin(部分+)、Actin(-)、SMA(-)S100(-)、MyoD1(部分胞浆+)、Myogenin(-)、CD34(部分梭形细胞+)、ERG(-)、Caldesmon(部分-)、FLI-1(部分+)、Ki-67(约30%+)、CD163(部分+)、CD68(部分+)。病理诊断:结合免疫组化,考虑多形性未分化肉瘤(un-differentiated pleomorphic
讨论
多形性未分化肉瘤(undifferentiated pleomorphic sarcoma,UPS),是起源于间叶组织的恶性肿瘤,为一种少见的软组织恶性肿瘤,其发病原因尚不清楚。此病恶性程度高、易发生转移且术后易复发;多见于四肢,主要发生于40岁以上成年人,男性多于女性。腹膜后UPS临床表现不典型且特异性差,影像检查对于诊断此病具有一定价值。
腹膜后UPS的CT表现:大部分肿瘤形态呈类圆形软组织肿块影,直径多>5cm,平扫多呈混杂密度,常见低密度囊变坏死区,肿瘤的坏死程度与病变的大小呈正比,钙化少见,肿瘤强化大部分呈不均匀中度或明显强化;MRI相对于CT具有能较好地显示病变边界、范围以及与周边组织关系的优点。
在MRI由于肿瘤成分不同,信号表现为多样化,在T1WI主要呈低或等信号,少数可见稍高出血信号,T2WI主要呈高信号或混杂信号,部分瘤内可见T2WI高信号分隔,DWI呈高信号,增强扫描肿瘤实性部分呈不均匀延迟强化,另外,少数肿瘤周围可见包膜,T2WI序列呈环形低信号。UPS较特征性的表现是坏死囊变及特征性的“假包膜征”、“纤维分隔征”、“尾征”。
本例为青年女性,临床表现为腹胀,影像检查提示腹膜后巨大团块状不均匀软组织密度/信号影,增强扫描呈不均匀强化,可见坏死囊变,与上述影像表现基本一致。
由于该病影像学表现特异性较差常需与以下肿瘤鉴别:1)腹膜后
来源:刘向,陈英敏,李思佳.腹膜后多形性未分化肉瘤1例[J].医学影像学杂志,2022,32(01):132+137.