作者:邵鸣 肖玉珍 山西省永济市肝胆胃病专科医院
本文为作者授权医脉通发布,未经授权请勿转载。
病例资料
患者杨某,男,14岁,山西籍人。患者因“腹胀、间断发热、双下肢水肿40天”2009年4月22日就诊于我院。
现病史:患者于40天前无明显诱因出现腹胀、间断发热,体温最高达39℃,在当地诊断不明确给予输液治疗,双下肢水肿消退,仍感腹胀。2009年4月9日就诊于某医院,诊断为:肝硬化、败血症、低蛋白血症,查血常规:WBC:15.53×109/L,HGB:62g/L,PLT:197.00×109/L;肝功能TB:132.30µmol/L,ALT:167.0U/L,AST:322.0U/L,Alb:29.1g/L。电解质:钠:127mmol/L;凝血系列:PT:20.3Sec。B超:大量腹腔积液。行骨髓穿刺检查,结果不详,诊断仍未明确。无胸闷、腹泻,来我院就诊,门诊以“腹水原因待查”收住入院。患者本次发病来神志清,精神差,饮食较正常量少1/2,睡眠尚可,大便基本正常,无陶土色粪。小便黄,量正常。
流行病学史:否认与肝炎患者密切接触史。无输血史。预防接种史不详。
既往史:否认高血压、糖尿病、心脏病病史,否认伤寒、结核等传染病病史,否认外伤史,否认中毒史,否认药物过敏史。
个人史:生于本地,未到过疫区,无不良嗜好。
家族史:否认家族中有相关疾病史。
体格检查
体温:37.4℃ 脉搏:120次/分 呼吸:21次/分 血压:100/60mmHg 体重:38kg。神志清,发育正常,意识清晰,精神差,贫血貌,营养中等,查体合作。巩膜轻度黄染,蜘蛛痣(-),肝掌(-)。全身浅表淋巴结未触及肿大。肺(-),心率快、齐,各瓣膜听诊区未闻及杂音。可见胸壁静脉曲张。腹部膨隆,可见腹壁静脉曲张,经检查血流方向为自下而上。压痛及反跳痛(+),Murphy征(-)。肝脏右肋下5cm可触及,剑突下4cm可触及,质硬,边缘钝,触痛(-)。脾脏肋下5cm处可触及,质硬,触痛(-)。液波震颤(-)。腹部叩诊移动性浊音(+),肝区叩击痛(+),双肾区叩击痛(-)。听诊肠鸣音5次/分,未闻及振水音及血管杂音。双下肢轻度水肿,无静脉曲张及色素沉着。双下肢皮肤粗糙。
辅助检查
肝功能:TBil 108.0umol/L,DBil 54.40umol/L,IBil 53.60umol/L, ALT 214.0U/L,AST 417.0U/L,ALP 129.0U/L,GGT 143.0U/L,ChE 2868.3U/L,TP 56.4g/L,Alb 29.4g/L,TBA 97.0umol/L,BS 4.26mmol/L。肾功能、血脂:正常。电解质:钙:2.01mmol/L,余正常。铜蓝蛋白:151.8 mg/L。血铜:16.6 umol/L。血常规:WBC:11.3×109/L,RBC:3.45×1012/L,Hb:91g/L,PLT 163×109/L。BG:O型,Rh(D):阳性;AFP>400ng/ml,CEA 21ng/ml。抗HAV-IgM(-),乙肝系列:全阴。抗HCV(-),抗HDV(-),抗HEV(-)。凝血系列:PT:18.6Sec。RF、ASO、ESR:正常。甲状腺功能:正常。尿11项:胆红素:2+,蛋白质:1+,余正常。
心电图:窦性心律 79次/分 正常心电图。
胸片:心脏略大。
腹部超声:1.肝大(最大斜径15.3cm,肝尾状叶大小7.8×3.9cm)、肝实质光点密集;2.脾大(肋间厚4.5cm);3.胆囊壁水肿;4.少量腹水。
初步分析诊断
临床上引起黄疸、肝功能异常的原因有很多,如:病毒、感染、化学药品中毒、免疫功能异常、营养不足、胆道阻塞、血液循环障碍、肿瘤、遗传缺陷等。依据检查结果分析:病毒性肝炎(甲、乙、丙、丁、戊)、药物性肝炎、脂肪肝、中毒性肝炎、肝肿瘤等均可引起肝功能异常,基本可排除。患者有黄疸,无皮肤瘙痒、无陶土色粪便,结合腹部超声无肝内外胆管扩张现象。让我们寻找蛛丝马迹,是什么原因导致的黄疸、肝脏肿大、脾脏肿大,值得临床医生思索?临床中我们在分析考虑疾病诊断时,应先考虑常见病,再考虑少见病、罕见病,重视“一元论”,诊断疾病才能有依据。完善腹部CT检查,是否有意外的发现。
肝脏CT平扫+增强扫描:平扫示:肝脏体积大,肝表面欠光整,左叶及尾状叶明显增大,肝实质密度正常。脾脏形态饱满,密度正常。胆囊体积大,壁稍厚,其内未见异常密度影。胰腺体积密度正常。腹腔内可见液体密度影。增强示:动脉期:肝实质不均匀强化,门脉显示不佳,肝后方下腔静脉窄。脾脏未见异常强化。门静脉期:肝实质均匀强化,肝静脉显示差,门静脉交通支开放显影,胰腺未见异常。CT诊断:1.肝硬化、脾大、腹水,食管胃底静脉、脾门静脉迂曲扩张,胆囊体积大。2.肝段下腔静脉及肝静脉显影差,结合临床,必要时可行肝静脉及下腔静脉造影进一步检查。
初步诊断:
1.肝硬化失代偿期 2.低蛋白血症 3.腹腔积液 4.食管胃底静脉曲张
治疗:给予保肝、退黄、抗感染、纠正低蛋白血症(白蛋白、血浆)、纠正贫血、利尿、营养支持等对症治疗,继续完善相关检查项目。拟行肝穿刺活检,家属表示同意。
结果回报:自身免疫性肝病抗体组合:阴性。CMV-IgM抗体、CMV-IgG抗体:阴性,CMV-DNA定量:阴性;EB病毒壳抗原、IgM抗体:阴性;EB病毒DNA定量:正常。结合检查结果,自身免疫性肝病、EB病毒感染、巨细胞病毒感染可排除。
肝穿刺就是肝脏组织活检,对疑难肝病的诊断有可靠的实用价值。肝穿刺已成为简便、安全、有效的肝病诊断方法之一。肝穿刺检查的作用:1.有利于多种肝病的鉴别诊断。2.了解肝脏病变的程度和活动性。3.提供各型病毒性肝炎的病原学诊断。4.发现早期、静止或尚在代偿期的肝硬化。5.有利于药物的选择和药物的疗效判断。6.鉴别黄疸的性质和原因。7.作为慢性肝炎病情、预后的评判指标。8.可以进行诊断性治疗。
2009年4月23日在超声引导下为患者行肝组织活检穿刺术。取肝组织标本1条,用10%福尔马林溶液固定,送北京中日友好医院病理科检查。肝穿结果如下:

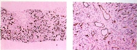
镜下检查:送检肝穿组织长1.5厘米,肝实质弥漫破坏,除汇管区周围带散在少数肝细胞结节外,余部肝窦均已塌陷纤维化,在小叶中心带纤维化组织内可见多数扩张的血管(免疫组化:CD34+,见右图),周围带大量细胆管增生(提示大片肝细胞坏死后汇管区周围干细胞活跃增生。免疫组化:CK7+,见左图),伴散在单个核细胞浸润。
病理诊断:(肝穿)肝静脉回流受阻,早期肝硬化,结合临床考虑为Budd-chiari综合征。
2009年5月10日胃镜结果:食管胃底静脉曲张。
此患者肝硬化是由布-加综合征导致的。
最后诊断
1.布-加综合征 2.低蛋白血症 3.腹腔积液 4.食管胃底静脉曲张
随访:患者因经济原因出院,建议转上级医院进一步诊治。出院后患者在家中出现发热,1月后患者死亡。
讨论
布-加综合征(Budd-Chiari syndrome,BCS)亦称肝静脉阻塞综合征,是指由于各种原因造成肝静脉或肝段下腔静脉部分或完全阻塞,使肝静脉回流受阻,引起门静脉高压和(或)下腔静脉高压为特征的一组疾病。最常见的是肝静脉开口以上的下腔静脉隔膜和肝内血栓形成。目前比较统一的分型方法为:A.局限性下腔静脉阻塞。B.下腔静脉长段狭窄或阻塞。C.肝静脉阻塞。肝静脉阻塞或下腔静脉阻塞多由于下列原因:①血液高凝状态(如:口服避孕药、红细胞增多症引起)所致的肝静脉血栓形成;②静脉受肿瘤的外来压迫;③癌肿侵犯肝静脉(如肝癌)或下腔静脉(如肾癌、肾上腺癌);④下腔静脉先天性发育异常(隔膜形成,狭窄、闭锁)。
BCS是一种罕见疑难病,因其无明显特异性症状,常易被误诊误治,因其临床症状及其转归酷似肝炎后肝硬化,故有人称该病是肝炎的“姐妹”病。该病的误诊误治率相当高,据统计,该病误诊率高达83.6%。本病的发病多为青壮年,多在20~45岁之间,男性多于女性,多数发病缓慢。BCS的影像学诊断是最重要的诊断方法。非创伤的检查方法主要为超声、CT和MRI。肝脏超声检查是无创伤且能最早、最快发现本病的方法,故称为“前哨检查”。肝尾状叶肥大对本症有提示作用。腹部B超可对多数病例做出初步正确诊断,其符合率可达95%以上。下腔静脉造影既能明确诊断,又能分清类型,且能为设计治疗方案提供良好依据,故称其为“黄金检查标准”。患病后,由于肝脏和下腔静脉压力均升高,可比正常高出2倍。故诊断要点为:“一黑”——下肢皮肤色素沉着,“二大”——肝、脾瘀血性肿大,“三曲张”——胸腹壁静脉、精索静脉、大隐静脉曲张。“二多”——中青年发病多、男性发病多。
BCS在临床上可分以下类型:1.无症状型:虽有肝静脉血栓形成,但无明显循环障碍,仅在肝静脉造影,B超检查时偶然发现。2.急性型:起病急,有上腹剧痛、恶心、呕吐、腹水、黄疸及肝肿大,短期内可发生死亡。3.慢性型:起病和发展缓慢,逐渐出现腹胀、肝区不适、隐痛及肝肿大,多年后导致肝硬变,发生脾大、腹水、消化道出血等。
此患者分析为第3型,即慢性型,因腹部CT、肝穿刺结果均提示肝硬化,说明病程已经很长了,如病程短,不会形成肝硬化。
这例患者提示我们,临床医生应有BCS的知识储备,不至于误诊。