小脑发育不良性神经节细胞瘤 VS 成人型髓母细胞瘤

发布时间:2022-10-20

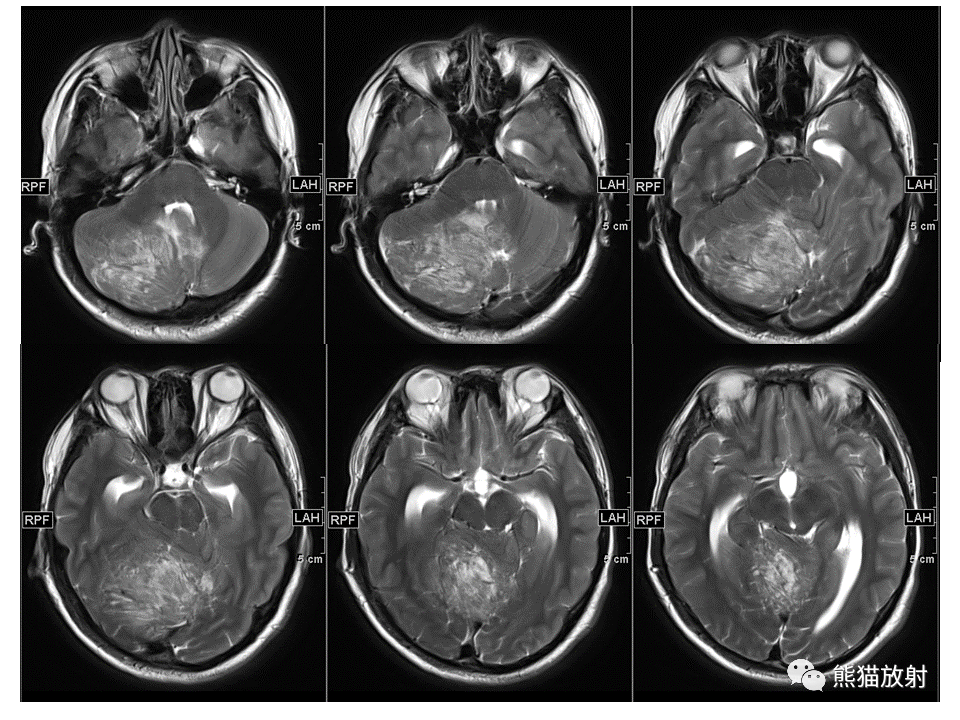
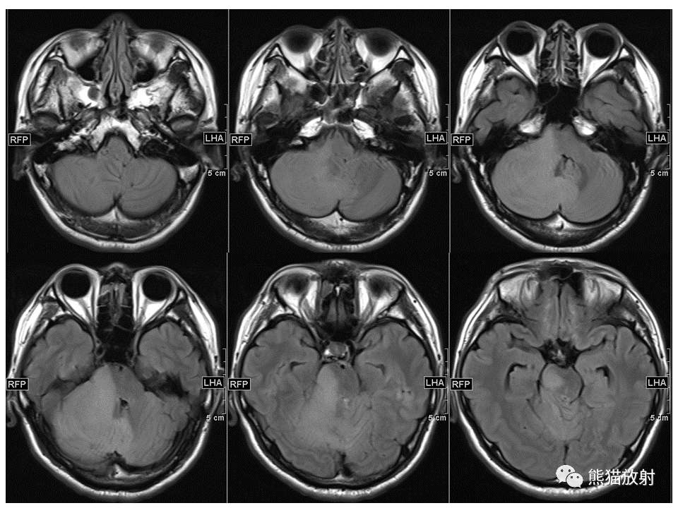
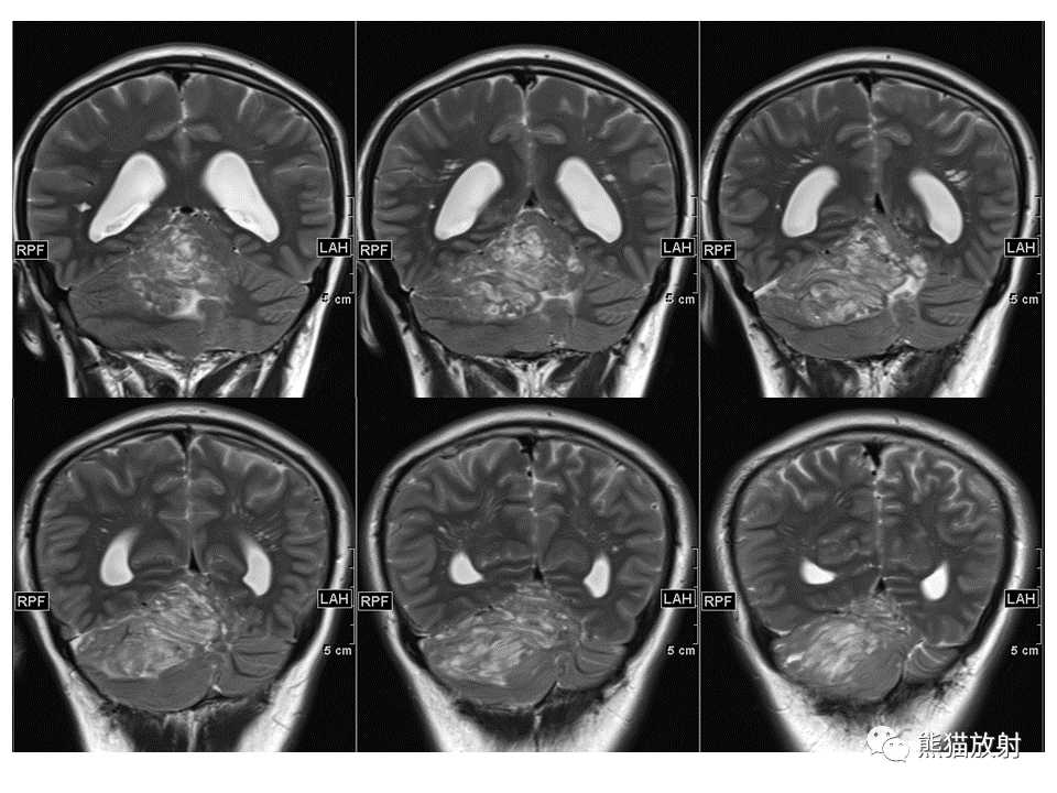
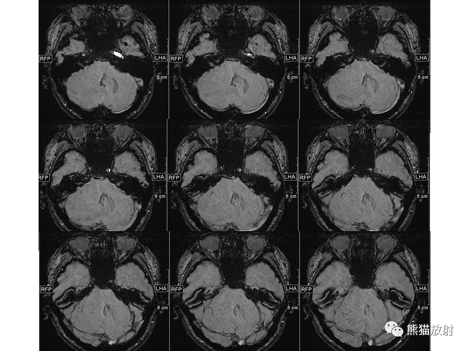
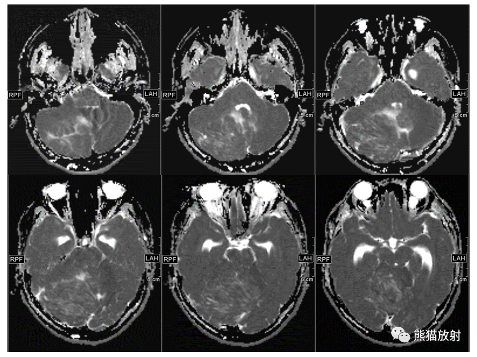
【PPT】小脑发育不良性神经节细胞瘤 VS 成人型髓母细胞瘤-1

【PPT】小脑发育不良性神经节细胞瘤 VS 成人型髓母细胞瘤-2

【PPT】小脑发育不良性神经节细胞瘤 VS 成人型髓母细胞瘤-3

【PPT】小脑发育不良性神经节细胞瘤 VS 成人型髓母细胞瘤-4

【PPT】小脑发育不良性神经节细胞瘤 VS 成人型髓母细胞瘤-5

【PPT】小脑发育不良性神经节细胞瘤 VS 成人型髓母细胞瘤-6

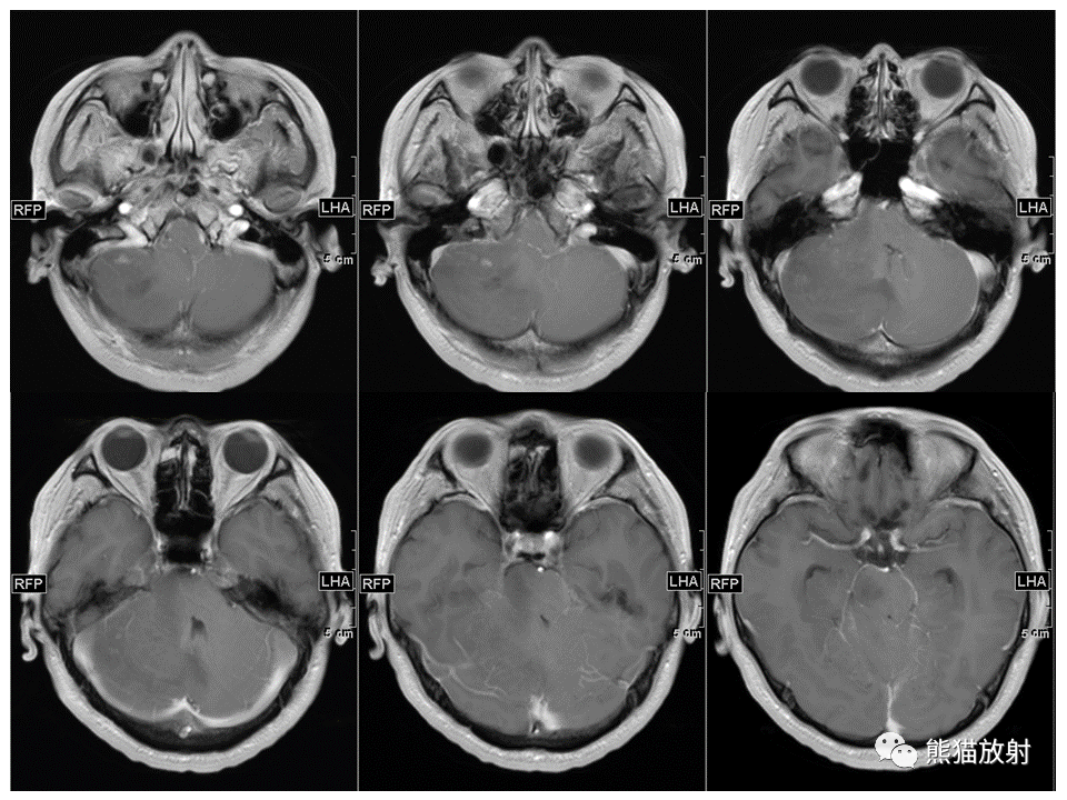
【PPT】小脑发育不良性神经节细胞瘤 VS 成人型髓母细胞瘤-1

【PPT】小脑发育不良性神经节细胞瘤 VS 成人型髓母细胞瘤-2

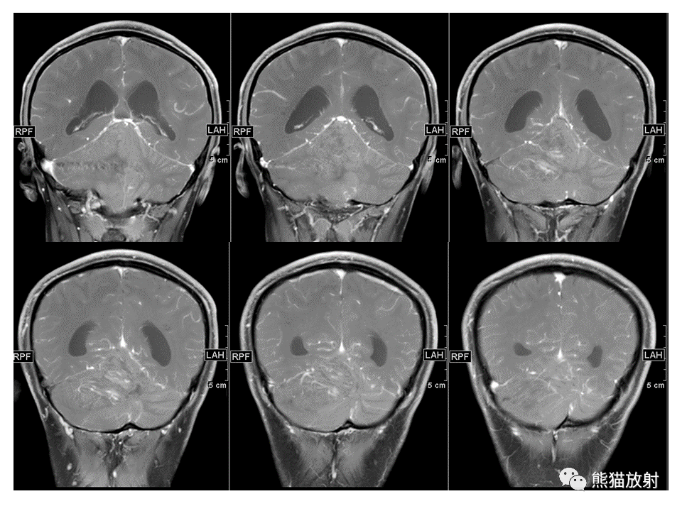
【PPT】小脑发育不良性神经节细胞瘤 VS 成人型髓母细胞瘤-9

【PPT】小脑发育不良性神经节细胞瘤 VS 成人型髓母细胞瘤-10

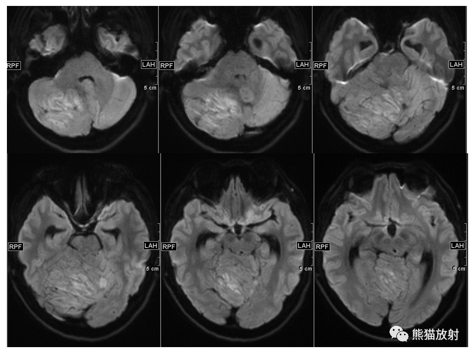
【PPT】小脑发育不良性神经节细胞瘤 VS 成人型髓母细胞瘤-11

【PPT】小脑发育不良性神经节细胞瘤 VS 成人型髓母细胞瘤-12

【PPT】小脑发育不良性神经节细胞瘤 VS 成人型髓母细胞瘤-13

【PPT】小脑发育不良性神经节细胞瘤 VS 成人型髓母细胞瘤-14

【PPT】小脑发育不良性神经节细胞瘤 VS 成人型髓母细胞瘤-15

【PPT】小脑发育不良性神经节细胞瘤 VS 成人型髓母细胞瘤-16

【PPT】小脑发育不良性神经节细胞瘤 VS 成人型髓母细胞瘤-17

【PPT】小脑发育不良性神经节细胞瘤 VS 成人型髓母细胞瘤-18

【PPT】小脑发育不良性神经节细胞瘤 VS 成人型髓母细胞瘤-19

【PPT】小脑发育不良性神经节细胞瘤 VS 成人型髓母细胞瘤-20

【PPT】小脑发育不良性神经节细胞瘤 VS 成人型髓母细胞瘤-21

【PPT】小脑发育不良性神经节细胞瘤 VS 成人型髓母细胞瘤-22

【PPT】小脑发育不良性神经节细胞瘤 VS 成人型髓母细胞瘤-23

【PPT】小脑发育不良性神经节细胞瘤 VS 成人型髓母细胞瘤-24

【PPT】小脑发育不良性神经节细胞瘤 VS 成人型髓母细胞瘤-25

【PPT】小脑发育不良性神经节细胞瘤 VS 成人型髓母细胞瘤-26

【PPT】小脑发育不良性神经节细胞瘤 VS 成人型髓母细胞瘤-14

【PPT】小脑发育不良性神经节细胞瘤 VS 成人型髓母细胞瘤-27

【PPT】小脑发育不良性神经节细胞瘤 VS 成人型髓母细胞瘤-28

【PPT】小脑发育不良性神经节细胞瘤 VS 成人型髓母细胞瘤-29

【PPT】小脑发育不良性神经节细胞瘤 VS 成人型髓母细胞瘤-30

【PPT】小脑发育不良性神经节细胞瘤 VS 成人型髓母细胞瘤-31

【PPT】小脑发育不良性神经节细胞瘤 VS 成人型髓母细胞瘤-32

【PPT】小脑发育不良性神经节细胞瘤 VS 成人型髓母细胞瘤-33

【PPT】小脑发育不良性神经节细胞瘤 VS 成人型髓母细胞瘤-34

【PPT】小脑发育不良性神经节细胞瘤 VS 成人型髓母细胞瘤-35

【PPT】小脑发育不良性神经节细胞瘤 VS 成人型髓母细胞瘤-36

【PPT】小脑发育不良性神经节细胞瘤 VS 成人型髓母细胞瘤-37

【PPT】小脑发育不良性神经节细胞瘤 VS 成人型髓母细胞瘤-38

【PPT】小脑发育不良性神经节细胞瘤 VS 成人型髓母细胞瘤-39

【PPT】小脑发育不良性神经节细胞瘤 VS 成人型髓母细胞瘤-40

【PPT】小脑发育不良性神经节细胞瘤 VS 成人型髓母细胞瘤-41

【PPT】小脑发育不良性神经节细胞瘤 VS 成人型髓母细胞瘤-42

【PPT】小脑发育不良性神经节细胞瘤 VS 成人型髓母细胞瘤-43

【PPT】小脑发育不良性神经节细胞瘤 VS 成人型髓母细胞瘤-44

精彩图片

热门精选