MELAS线粒体脑肌病伴高乳酸血症和卒中样发作综合征一例MR
发布时间:2022-10-20
发布时间:2022-10-20
病例信息
患者,女性,49 岁,突发眩晕 1 天
现病史:患者一天前无明显诱因突发眩晕,伴天旋地转、视物模糊、不敢睁眼、恶心、呕吐,头位及体位改变可加重头晕,闭眼或平卧休息症状可稍缓解,无耳鸣、意识障碍、听力下降、肢体抽搐、饮水呛咳、吞咽困难、发热、肢体活动障碍及大小便功能障碍等,在家休息病情无改善。患病后精神状态差,饮食一般,睡眠差,小便通畅,大便正常,体力下降。
既往史:平素身体健康情况良好;无糖尿病、高血压、肝炎、结核等。无心脏疾患,无胃病史。睡眠障碍多年,主要表现入睡困难,睡眠持续时间短。
12.4 日 MR 平扫


患者于 12.10 夜间烦躁不安
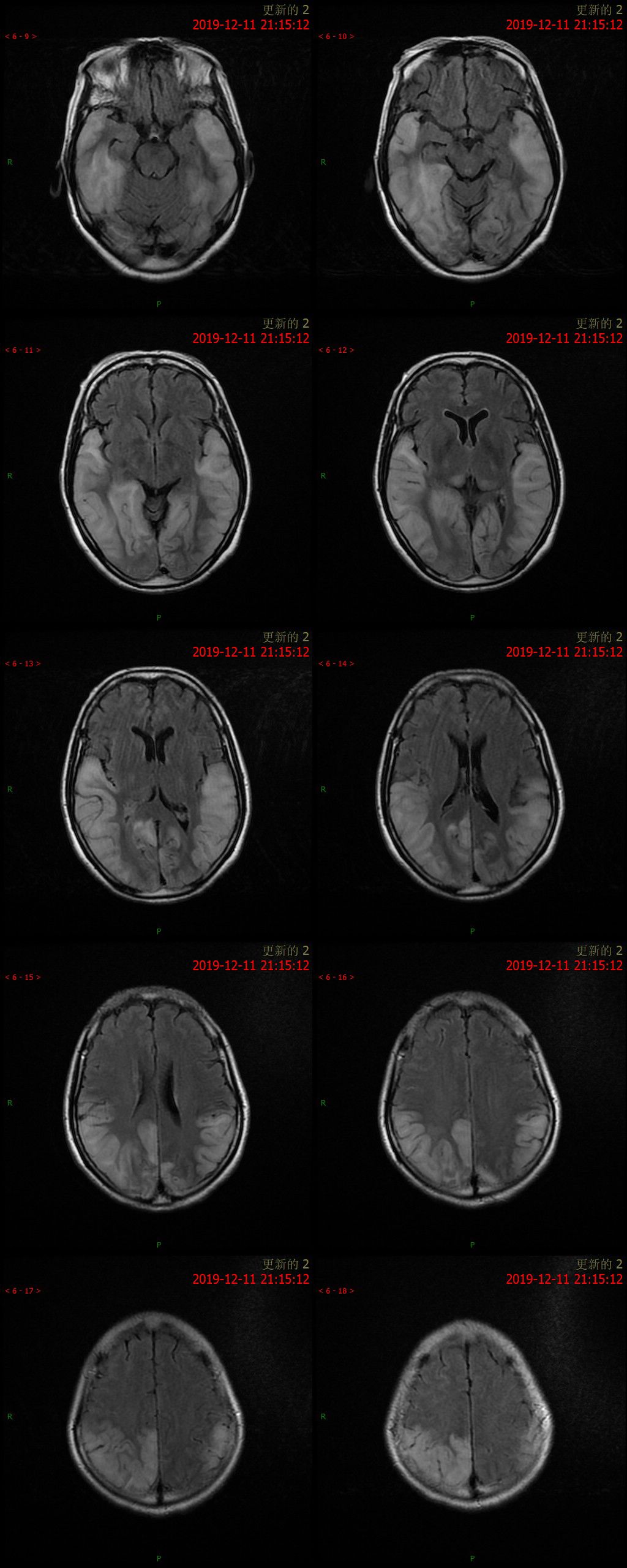
12.11 日 MR 平扫



动态图




MRS

其他检查:DSA 正常
分析:
患者为中年女性,临床症状不重,影像表现明显。双侧大脑半球多发病变,DWI 呈高信号,呈非对称性分布,且病灶分布呈跨血管支配区分布,DSA 为正常表现,可以排除脑梗死。短期内病灶迅速进展,MRS 可以看到明显倒置的乳酸双峰,考虑 MELAS。
诊断:MELAS
病例
线粒体脑肌病( Mitochondrial encephalomyopathy,ME)是一组少见的由于线粒体 DNA(mtDNA)或核 DNA 突变造成的线粒体结构和(或)功能异常,导致机体能量代谢障碍,并主要累及脑和横纹肌的多系统疾病。MELAS 是其中一种以卒中样发作和乳酸酸中毒为特征的常见类型。
线粒体广泛存在于生物体细胞内, 它通过呼吸链酶系统, 氧化磷酸化酶系统及三羧酸循环酶系统进行生物氧化, 产生 ATP, 是人体能量的主要来源, 当线粒体基因或细胞核基因突变导致线粒体结构和功能异常所致的疾病, 称线粒体疾病。病变以侵犯骨骼肌为主时, 称为线粒体肌病, 如同时累及中枢神经系统则称为线粒体脑肌病。线粒体病既有先天遗传性的, 又有后天获得性的。
临床分型
根据临床表现、病理、生化及遗传特点可分为 4 个亚型: 线粒体脑肌病伴高乳酸血症和卒中样发作综合征 (MELAS), 肌阵挛性癫痫伴肌肉不整红边纤维综合征 (MERRF), Keams-Sayre 综合征 (KSS), 以及亚急性坏死性脑脊髓病 (Leigh) 等。部分类型间有重叠及转型。MELAS 最为常见。
临床表现
常有智力低下、身材矮小、四肢无力、癫痫、视听力障碍、偏瘫、心肌病、糖尿病、乳酸中毒以及精神性疾病等。
线粒体脑肌病主要诊断依据包括临床表现、血乳酸、丙酮酸最小运动量试验、影像学表现、肌肉活检和电镜下发现大量的异常线粒体堆积 RRF 以及线粒体生化测定中其生化缺陷基因 (主要是 mtDNA) 检测发现各类突变。RRF 是影响线粒体内蛋白质合成的 mtDNA 受损的形态表现。肌肉活检发现 RRF 具有特征性的诊断意义, 但并非所有线粒体肌病患者 RRF 均为阳性。电镜观察可见肌膜下线粒体异常增多; 晶状体结构异常的线粒体包涵体更具诊断意义。
讨论
MELAS 诊断标准:
①临床至少有一次卒中样发作;
②急性期在 CT 或 MRI 上可见与临床表现相关的责任病灶;
③脑脊液和(或)运动前后血乳酸升高;
④肌肉活检 MGT 染色可见 RRF。
符合前 3 条为临床诊断,4 条均满足可确诊。诊断 MELAS 的金标准是肌活检可见 RRF。
MR 表现
MELAS 的 MRI 表现多样:
①以大脑皮质灰质损害为主, 多累及半球后部颞顶枕叶,其次为颞叶、海马和海马旁回、额叶、小脑等,呈游走性、多变性、此起彼伏等表现;其特点是不按解剖血管分布, 累及皮质和皮质下白质, 可见皮质的层状异常信号;
②对称性双侧基底节、丘脑, 脑干等灰质核团损伤的异常信号;由于灰质核团的细胞代谢活动比白质纤维强, 容易受累;
③灰质和白质散在的异常信号;白质病变多侵犯较新的周围白质, 即皮质下和三角区后部白质。
④脑萎缩;局部脑萎缩可能是由于病变反复发作造成局部脑组织软化。有研究认为全脑以及小脑萎缩是由于脑细胞长期能量代谢障碍、造成神经元较正常同龄人生长缓慢和数量减少所致。
鉴别诊断
病毒性脑炎:患者常有头痛发热病史,病变以颞、额叶多见,枕顶叶受累少见,基底节核团受累也少见,急性期 MRS 除可见 Lac 峰外,还可见脂质(Lip)峰,正常组织未见 Lac 峰,波谱所见是主要鉴别点。
脑梗死:表现为灰白质的长 T1 长 T2 异常信号,与 MELAS 有相似之处,但脑梗死患者年龄普遍较大,病变范围一般较局限,较少对称性分布,按血管的支配区分布,白质受累更明显,MRA 可见血管狭窄或闭塞、分支减少等异常征象,病变无游走性、此起彼伏等特点,超急性期、急性期 ADC 图为低信号,与 MELAS 不同。
中枢神经系统血管炎:均可表现为病变广泛、单发或多发、对称或不对称、不符合特定的血管分布的特点,但 CNSV 的病灶分布更广泛,皮质、髓质、脑干均可累及;大部分 CNSV 在 MRA 上可见典型的血管炎改变,小血管交替狭窄和扩张,呈串珠状,管壁不规整,也可为血管闭塞。
PRES:以癫痫、头痛、视觉障碍等为主和影像学表现为后部脑灰白质受累为主的临床影像综合征,临床及影像学表现与 MELAS 有相似之处,但 PRES 通常有较明确的病因,如妊娠子痫、高血压脑病、药物使用史、系统性红斑狼疮、肾功能衰竭、白血病等,脑内病灶以白质受累为主,如处理及时,病灶可完全消失,无游走性、此起彼伏特点,无 MELAS 的 MRS 谱线特征。
作者 | xiao79bing
参考文献
1、黄春元, 杨智云, 许朝璇, et al. MELAS 型线粒体脑肌病的多模态 MRI 诊断 [J]. 中国临床医学影像杂志, 2014, 25(8):533-537.
2、宋登浩 [1], 尹继磊 [2]. MELAS 型线粒体脑肌病 3 例的 MR 影像表现 [J]. 河北医药, 2008(11)./
3、邢妩, 王小宜, 廖伟华, et al. 线粒体脑肌病的 MR 诊断 [J]. 中国介入影像与治疗学, 2010(01):43-45.