较少见的肺疝一例
发布时间:2022-10-22
发布时间:2022-10-22
肺疝,是肺组织通过局部薄弱处突出到胸腔范围以外所形成的一种疾病,其发病原因与先天性发育异常和后天性损伤有关。
【基本病史】患者咳嗽后出现胸痛症状。
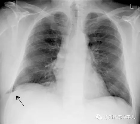
【病例图像】

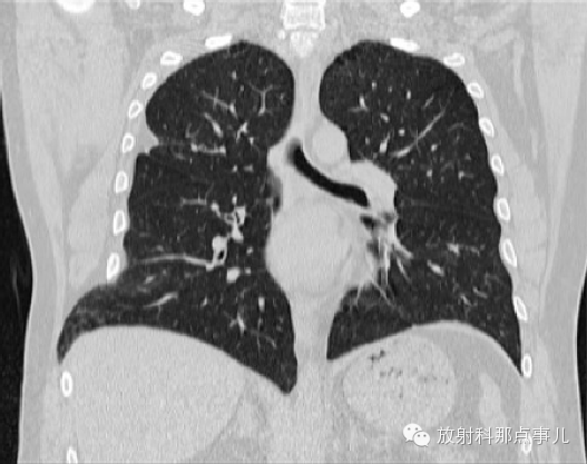
胸部 X 线片显示左肺的基底部肺实质影延伸到胸廓左肋的外侧。胸部 CT 检查结果证明上述结论,左肺实质通过左下肋间外侧疝出,同时左侧胸腔伴有中等量胸腔积液。
【病例学习】

另一例肺疝胸部X光片

胸部CT冠状位
病因及发病机制
1、局部发育异常或薄弱
(1)颈部胸锁乳突肌与前斜角肌之间存在一裂隙,而且肺尖部的张力较高,膨胀及收缩差较大,可造成局部的肌肉松弛,尤其Sibsons筋膜缺损、薄弱或撕裂时,肺组织可通过这个薄弱的裂隙疝入颈部,导致颈部肺疝。
(2)纵隔胸膜前上部和后下部各有一生理薄弱点,当薄弱明显或存在其他发育缺陷时(如一侧肺缺如等),肺组织易通过此处凸入纵隔,形成纵隔肺疝,又因纵隔与颈部是相通的,病变发展时可一直向颈部延伸,形成纵隔-颈型肺疝。
2.创伤
创伤可导致胸壁缺损、薄弱,当胸或肺内压异常增高时肺组织可疝入肋间,导致胸部(肋间)肺疝。
(1)肋骨骨折、胸膜壁层及胸壁肌肉撕裂可造成胸壁缺损、薄弱或气胸,继而造成肺疝。
(2)外伤等导致局部神经损伤,久之造成局部肌肉萎缩、张力降低并形成肺疝。
(3)胸膜壁层、肋间组织损伤处理不当,如伤口较长的胸壁穿透伤,只缝合胸壁皮肤,而未缝合胸壁肌肉、胸膜壁层,可致肺疝的发生。
3.胸或肺内压增高
如气胸可促使肺组织由缺损、薄弱部位疝出。
根据起源,1847 年 Morel-Lavallee 将肺疝分为先天性和获得性:
1、先天性
2、获得性(最常见):病理性;感染性;外伤性;医源性(如后胸开口)
肺疝根据解剖位置可分为:
1、颈背部:占 35% 左右,肺组织通过胸廓入口前区,前斜角肌和胸锁乳突肌之间的颈部筋膜薄弱处疝出,最常见于老年伴有肺气肿的患者。
2、肋间部:占 70% 左右; 多为为胸壁减弱或异常升高的胸内压导致(如举重运动员,乐器演奏者)。在外伤引起的病例中,肺疝可以外伤冲击后立即发生或数年后发生。
3、横隔膜:非常少见