纵膈精原细胞瘤1例CT影像表现
【病史】35岁男性,因两周来咳嗽、面部肿胀来急诊室就诊。曾服抗生素治疗无缓解。全血细胞计数及基础代谢正常。
医学百科网 | YxBaike.Com
胸部平片
医学百科网 | YxBaike.Com
医学百科网 | YxBaike.Com
医学百科网 | YxBaike.Com
问题1.心脏右缘轮廓不清,应考虑为右下肺炎所致。
医学百科网 | YxBaike.Com
A.正确 医学百科网 | YxBaike.Com
B.错误
2.前纵隔可见巨大肿块 医学百科网 | YxBaike.Com
A.正确 医学百科网 | YxBaike.Com
B.错误
医学百科网 | YxBaike.Com
3.其余肺野清晰 医学百科网 | YxBaike.Com
A.正确 医学百科网 | YxBaike.Com
B.错误 医学百科网 | YxBaike.Com
4.下一步应如何处理?
A.无需进一步检查,建议患者手术活检
医学百科网 | YxBaike.Com
B.行CT平扫进一步检查 医学百科网 | YxBaike.Com
C.排除对比剂过敏及肾功能不全后行CT增强扫描
D.排除对比剂过敏及肾功能不全后行CT增强扫描,查询其它相关结果并与相关医生讨论
E.无需进一步处理 医学百科网 | YxBaike.Com
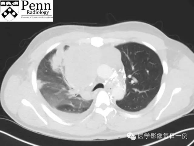
CT images
医学百科网 | YxBaike.Com
医学百科网 | YxBaike.Com
医学百科网 | YxBaike.Com
医学百科网 | YxBaike.Com
医学百科网 | YxBaike.Com
5.根据患者年龄及表现,下述哪些诊断可能性最小? 医学百科网 | YxBaike.Com
A.淋巴瘤
医学百科网 | YxBaike.Com
B.生殖细胞瘤
C.小细胞癌 医学百科网 | YxBaike.Com
D.恶性胸腺瘤 医学百科网 | YxBaike.Com
E. C and D
医学百科网 | YxBaike.Com
6.前纵隔活检取样的最佳方法为? 医学百科网 | YxBaike.Com
A.纵膈镜
医学百科网 | YxBaike.Com
B.CT引导经胸廓穿刺 医学百科网 | YxBaike.Com
C.超声引导经支气管活检 医学百科网 | YxBaike.Com
D.电视辅助经胸廓手术
E.超声引导经胸廓穿刺 医学百科网 | YxBaike.Com
7.病变占位效应明显,上腔静脉狭窄,但无明显临床症状。 医学百科网 | YxBaike.Com
A.正确
B.错误 医学百科网 | YxBaike.Com
8.上腔静脉综合征的最佳处理方法为?
A.放疗
医学百科网 | YxBaike.Com
B.急诊化疗
医学百科网 | YxBaike.Com
C.抗凝
D.血管成像术,上腔静脉支架置入
医学百科网 | YxBaike.Com
E.支持治疗,尽快对原发肿瘤行组织学诊断,选择合适治疗方法 医学百科网 | YxBaike.Com
患者行CT引导下经胸廓穿刺活检。实验室检查LDH, PT, PTT, INR,CBC 均正常。AFP正常,但beta HCG显著增高。
医学百科网 | YxBaike.Com
医学百科网 | YxBaike.Com
睾丸超声检查
医学百科网 | YxBaike.Com
医学百科网 | YxBaike.Com
9. CT引导下肺穿刺活检,哪项是正确的?
医学百科网 | YxBaike.Com
A.患者血小板计数> 50000,INR < 1.5,无抗凝治疗 B.常需全麻 C.局部标准CT检查或CT透视可用于穿刺引导 D.如果怀疑为淋巴瘤,需细针抽吸活检、组织芯活检并流式细胞技术 E.所有以上除外B 10.睾丸超声示 A.无异常 B.睾丸微石症,无局限肿块 【答案】1.B注释:右肺中叶肺不张,但并非为肺炎2.A3. B 4.D 5. E注释: 小细胞癌和恶性胸腺瘤多见于50-70岁患者6.B 7.B 8.E 9.E 10.B 【患者病程】患者分别行2次CT引导下经胸廓前纵隔肿块穿刺活检,但未确诊。经纵膈镜最后诊断为纵膈精原细胞瘤,但睾丸内未见原发病变。对上腔静脉综合征行支持治疗,而后化疗。 【影像学表现】 胸片:右肺上叶肿块样实变并纵膈肿块、肺门及纵膈淋巴结肿大,亦见肺底积液。 CT:
医学百科网 | YxBaike.Com
- 前纵隔可见巨大肿块,CT复查测量最大径8.5cm,中心可见低密度影,提示坏死,此在穿刺图像显示最清楚。并可见纵膈肿大淋巴结。
- 前纵隔肿块可见占位效应,上腔静脉显著狭窄,几乎完全塌陷。左锁骨下静脉内对比剂经支气管、左肺门、奇静脉、上部肋间静脉分流,提示上腔静脉综合征,此应考虑为患者面部肿胀的原因。肿块对右肺动脉干及右上肺静脉亦见压迫,中央气道轻度受压并移位(冠状位显示最佳)。
- 右肺多发肿块符合肺内转移。
超声:可见睾丸微石症,无证据支持患者纵膈精原细胞瘤的诊断。睾丸微石症为非特异性表现,是否与睾丸肿瘤相关尚有争议。 医学百科网 | YxBaike.Com
【诊断】纵膈精原细胞瘤;Mediastinal seminoma
【讨论】 医学百科网 | YxBaike.Com
纵膈肿块的鉴别依赖于病变的位置,前纵隔肿块的鉴别诊断如下: 医学百科网 | YxBaike.Com
生殖细胞肿瘤起源于胚胎向生殖腺发育过程中前纵隔残存的原始生殖细胞。如本例所示,诊断纵膈原发生殖细胞肿瘤需除外性腺原发肿块。而后者可通过超声检查,并腹盆腔CT除外腹膜后转移。最常见的纵膈生殖细胞肿瘤为畸胎瘤。
医学百科网 | YxBaike.Com
放射学上,生殖细胞肿瘤(包括精原细胞瘤)常表现为实性不均质肿块,边界不规则。恶性生殖细胞肿瘤钙化不常见,良性肿瘤如畸胎瘤、皮样囊肿可内含脂肪、囊性成分、牙齿。 医学百科网 | YxBaike.Com
临床上,甲胎蛋白及人绒毛膜促性腺激素有助于鉴别诊断。一般单纯精原细胞瘤人绒毛膜促性腺激素升高,而甲胎蛋白正常。混合性精原细胞瘤及非精原细胞瘤人绒毛膜促性腺激素升高。 医学百科网 | YxBaike.Com
附件列表
词条内容仅供参考,如果您需要解决具体问题,请遵医嘱或咨询医师。
本站词条内容如果涉嫌侵权,请与客服联系,我们将及时进行处理。如需转载,请注明来源于www.yxbaike.com
如果您认为本词条还有待完善,请 编辑
