斜坡区骨巨细胞瘤 VS 脊索瘤

发布时间:2022-10-20

【病例】斜坡区骨巨细胞瘤 VS 脊索瘤-1

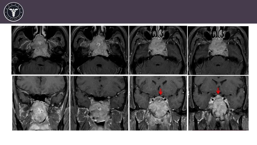
病例1

【病例】斜坡区骨巨细胞瘤 VS 脊索瘤-2

【病例】斜坡区骨巨细胞瘤 VS 脊索瘤-3

【病例】斜坡区骨巨细胞瘤 VS 脊索瘤-4

【病例】斜坡区骨巨细胞瘤 VS 脊索瘤-5

【病例】斜坡区骨巨细胞瘤 VS 脊索瘤-6

【病例】斜坡区骨巨细胞瘤 VS 脊索瘤-7

【病例】斜坡区骨巨细胞瘤 VS 脊索瘤-8

【病例】斜坡区骨巨细胞瘤 VS 脊索瘤-9

【病例】斜坡区骨巨细胞瘤 VS 脊索瘤-10

【病例】斜坡区骨巨细胞瘤 VS 脊索瘤-11

【病例】斜坡区骨巨细胞瘤 VS 脊索瘤-12

【病例】斜坡区骨巨细胞瘤 VS 脊索瘤-13

【病例】斜坡区骨巨细胞瘤 VS 脊索瘤-14

【病例】斜坡区骨巨细胞瘤 VS 脊索瘤-15

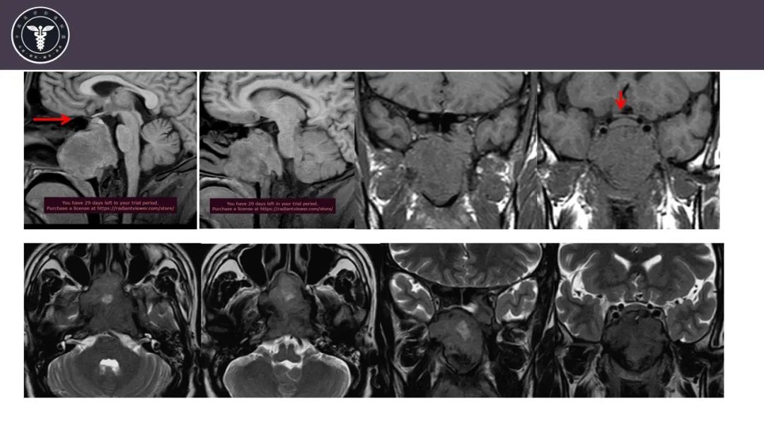
病例2

【病例】斜坡区骨巨细胞瘤 VS 脊索瘤-16

【病例】斜坡区骨巨细胞瘤 VS 脊索瘤-17

【病例】斜坡区骨巨细胞瘤 VS 脊索瘤-18

【病例】斜坡区骨巨细胞瘤 VS 脊索瘤-19

【病例】斜坡区骨巨细胞瘤 VS 脊索瘤-20

【病例】斜坡区骨巨细胞瘤 VS 脊索瘤-21

【病例】斜坡区骨巨细胞瘤 VS 脊索瘤-22

【病例】斜坡区骨巨细胞瘤 VS 脊索瘤-23

【病例】斜坡区骨巨细胞瘤 VS 脊索瘤-24

【病例】斜坡区骨巨细胞瘤 VS 脊索瘤-25

【病例】斜坡区骨巨细胞瘤 VS 脊索瘤-26

【病例】斜坡区骨巨细胞瘤 VS 脊索瘤-27

【病例】斜坡区骨巨细胞瘤 VS 脊索瘤-28

【病例】斜坡区骨巨细胞瘤 VS 脊索瘤-29

【病例】斜坡区骨巨细胞瘤 VS 脊索瘤-30

【病例】斜坡区骨巨细胞瘤 VS 脊索瘤-31

【病例】斜坡区骨巨细胞瘤 VS 脊索瘤-32

【病例】斜坡区骨巨细胞瘤 VS 脊索瘤-33

【病例】斜坡区骨巨细胞瘤 VS 脊索瘤-34

【病例】斜坡区骨巨细胞瘤 VS 脊索瘤-35

【病例】斜坡区骨巨细胞瘤 VS 脊索瘤-36

【病例】斜坡区骨巨细胞瘤 VS 脊索瘤-37

【病例】斜坡区骨巨细胞瘤 VS 脊索瘤-38

精彩图片

热门精选