咬肌间隙肌纤维母细胞肉瘤1例MR诊断与鉴别

发布时间:2022-10-20

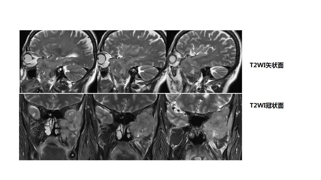
【病例】咬肌间隙肌纤维母细胞肉瘤1例MR诊断与鉴别-1

【病例】咬肌间隙肌纤维母细胞肉瘤1例MR诊断与鉴别-2

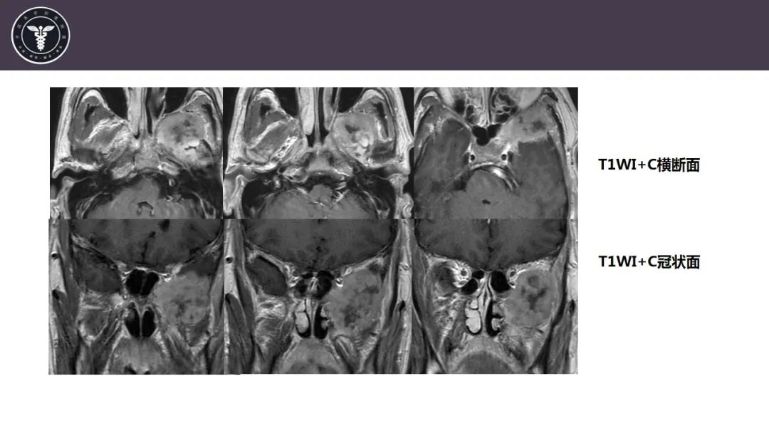
【病例】咬肌间隙肌纤维母细胞肉瘤1例MR诊断与鉴别-3

【病例】咬肌间隙肌纤维母细胞肉瘤1例MR诊断与鉴别-4

【病例】咬肌间隙肌纤维母细胞肉瘤1例MR诊断与鉴别-5

【病例】咬肌间隙肌纤维母细胞肉瘤1例MR诊断与鉴别-6

【病例】咬肌间隙肌纤维母细胞肉瘤1例MR诊断与鉴别-7

【病例】咬肌间隙肌纤维母细胞肉瘤1例MR诊断与鉴别-8

【病例】咬肌间隙肌纤维母细胞肉瘤1例MR诊断与鉴别-9

【病例】咬肌间隙肌纤维母细胞肉瘤1例MR诊断与鉴别-10

【病例】咬肌间隙肌纤维母细胞肉瘤1例MR诊断与鉴别-11

【病例】咬肌间隙肌纤维母细胞肉瘤1例MR诊断与鉴别-12

【病例】咬肌间隙肌纤维母细胞肉瘤1例MR诊断与鉴别-13

【病例】咬肌间隙肌纤维母细胞肉瘤1例MR诊断与鉴别-14

【病例】咬肌间隙肌纤维母细胞肉瘤1例MR诊断与鉴别-15

【病例】咬肌间隙肌纤维母细胞肉瘤1例MR诊断与鉴别-16

【病例】咬肌间隙肌纤维母细胞肉瘤1例MR诊断与鉴别-17

【病例】咬肌间隙肌纤维母细胞肉瘤1例MR诊断与鉴别-18

【病例】咬肌间隙肌纤维母细胞肉瘤1例MR诊断与鉴别-19

【病例】咬肌间隙肌纤维母细胞肉瘤1例MR诊断与鉴别-20

【病例】咬肌间隙肌纤维母细胞肉瘤1例MR诊断与鉴别-21

【病例】咬肌间隙肌纤维母细胞肉瘤1例MR诊断与鉴别-22

【病例】咬肌间隙肌纤维母细胞肉瘤1例MR诊断与鉴别-23

【病例】咬肌间隙肌纤维母细胞肉瘤1例MR诊断与鉴别-24

【病例】咬肌间隙肌纤维母细胞肉瘤1例MR诊断与鉴别-25

【病例】咬肌间隙肌纤维母细胞肉瘤1例MR诊断与鉴别-26

【病例】咬肌间隙肌纤维母细胞肉瘤1例MR诊断与鉴别-27

【病例】咬肌间隙肌纤维母细胞肉瘤1例MR诊断与鉴别-28

精彩图片

热门精选