棉絮征—佩吉特骨病
发布时间:2022-10-20
发布时间:2022-10-20
棉絮征
今天下班回家的路上看到一个买棉花糖(Cotton candy)的摊子,回来的时候就想到写一下“Cotton wool”这个征象,典型的棉绒征在国内应该不算常见,今天讲到的棉絮征是Paget(佩吉特)骨病中局限性钙质沉着在疏松的颅骨骨质中呈类似棉絮样改变的征象。


佩吉特骨病
佩吉特骨病(Paget disease,PD) 是一种局限的骨重建异常疾病,特点是骨吸收加速同时伴有骨形成。
少年儿童不会发生佩吉特骨病,40 岁以下的成年人也比较少见,多见于老年人,随着年龄的增加发病率也会增加,此外佩吉特骨病存在种族差异,欧洲裔人群发病率显著高于亚洲裔人群,美国人群的发病率为2%-3%,但最近的流行病学研究发现佩吉特骨病的发病率及危害性均有所下降。
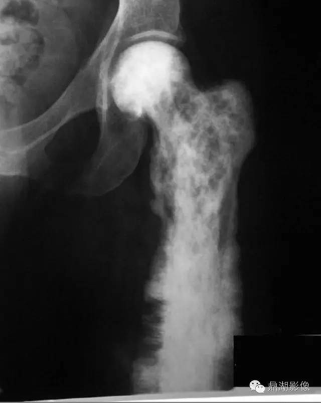
佩吉特骨病常单发也可多发,可累及全身任何骨骼,最常受累的骨骼包括颅骨、脊柱、骨盆及下肢,尤其是股骨近端。
临床症状
佩吉特骨病的主要症状是疼痛,受累的长骨的骨皮质可增厚、骨干增粗,渐进或者有时出现严重的畸形,随即出现关节炎、在病变骨的凸面出现应力性骨折(尤其是股骨发生的粉笔棒断裂,chalk stick fracture)以及明显的病理性骨折。
佩吉特骨病的恶变率约为1%。
临床特点是疼痛突然加剧及软组织肿胀突然加重,当恶变意外发生时,骨骼受累的发生率由高到低依次为股骨、骨盆、肱骨、颅骨,脊柱很少受累及。
影像特点
佩吉特骨病的X线检查通常具有诊断意义并且可评估治疗后的临床疗效。
X线可表现出病变处皮质增厚、骨增粗、溶骨和骨硬化同时存在的现象、粗糙的骨小梁等。长骨受累及早期可由一端的软骨下骨开始发病,延伸至骨干的不同部位,出现病变与正常结构的分界,如V形裂解区(“火焰”或“割草刀片”影像学改变)。负重部位的骨骼则可出现弯曲及骨皮质出现小的裂隙骨折,尤其是股骨病变时凸面的病理性骨折明显。

随着时间的推移病变可发生变化,治疗后溶骨区域可逆转。则某些特殊区域佩吉特骨病可出现特征性的改变,如脊柱受累时可出现“窗户框”现象,骨盆受累时可出现髋臼内陷及骶髂关节关节强直,颅骨受累时可出现骨质疏松性局限性钙质沉着和颅底凹陷症。


佩吉特骨病恶变时可出现溶骨性改变加重、骨皮质遭到破坏、软组织肿块影。核素骨扫描有助于评估病变范围及治疗的效果但病变晚期时病灶核素摄取率会降低,佩吉特病恶变时也可出现核素低摄取区。
MR、CT 有助于评估脊柱、骨盆、颅骨的佩吉特病变及恶变的情况,PET 则可评估有恶变倾向的病灶。当影像学诊断存在困难或者怀疑佩吉特病有肉瘤变时则需要行穿刺活检。
治疗
目前佩吉特骨病尚无法治愈,治疗的目标是缓解疼痛、防止病变进展、矫正弯曲畸形、稳定病理性骨折。
1. 服用双膦酸盐类药物
这类药物是治疗佩吉特骨病的中流砥柱,可促进临床症状持续的改善、缓解疼痛、维持溶骨性病变区域的稳定性、恢复血清碱性磷酸酶至正常水平。但少数患者(约 15%)则会出现疼痛加重,这一点尚无法解释。双膦酸盐类药物的作用机制是通过法尼基二磷酸合成酶途径(farnesyl diphosphate synthase pathway)同时抑制骨吸收与骨形成。最新一代的双膦酸盐类药物如帕米膦酸、阿仑膦酸钠、利塞膦酸钠、伊班膦酸盐、唑来膦酸可选择性抑制骨吸收溶解,同时患者需服用维生素 D 及钙片,如患者对某一种双膦酸盐类药物不耐受时可更换为另一种。
2. 降钙素
降钙素可减少血清碱性磷酸酶的浓度同时缓解疼痛、稳定受累骨骼,但此类疗效是暂时的。降钙素可抑制骨溶解吸收,在治疗难治性佩吉特骨病时可与双膦酸盐类药物联合应用,此外年老及体弱患者也可服用降钙素以缓解疼痛,静脉注射双膦酸盐类药物时,降钙素、硝酸镓和普卡霉素(plicamycin)可用于治疗由暴发性佩吉特骨病引起的罕见高血钙症。
3. 支持治疗
镇痛、支具保护、步态训练、行走辅助工具以及物理治疗在治疗佩吉特骨病方面同样具有疗效。
4. 手术治疗
机械因素导致的佩吉特骨病常伴随关节退行性变,髋关节退行性变的佩吉特骨病患者行手术治疗时因出血较多可导致手术风险大,膝关节手术时则常并发力线紊乱。佩吉特骨病伴病理性骨折、严重畸形、脊髓或神经根受压的患者则有内固定、截骨矫形和椎管减压的手术指征。术前应用双膦酸盐类药物可减少病变骨髓腔内的血管,但术后持续应用则可导致骨延迟愈合。
上一篇:肩关节损伤的影像学诊断
下一篇:臂丛病变