肩部疼痛是骨科门诊常见的症候群,肩关节疼痛和功能障碍原因多种多样,需通过询问病史、查体和影像学评估,才能进行正确诊断和治疗。几天早读就为大家详解常见肩关节损伤的影像学评估标准,值得大家学习参考!
一、肩关节损伤概述
-
肩关节是人体活动度最大的关节,由于肩胛盂小,肱骨头大且圆,关节囊较松弛,肩关节在完成较复杂的大范围动作时容易受伤
-
肩部损伤以慢性小创伤较多,多系局部过劳所致。长期肩关节疼痛及运动障碍,明显影响患者的生活质量
-
肩关节损伤越来越引起临床的重视
二、肩关节解剖概述
肩胛骨:

1. 锁骨
2. 肩峰
3. 喙突
4. 肱骨头
5. 关节盂

前方的韧带

1. 盂肱上韧带
2.盂肱中韧带
3.盂肱下韧带
4. 喙肩韧带
盂唇和盂肱韧带


1.盂唇
2. 盂肱上韧带
3. 盂肱中韧带
4.盂肱下韧带
5. 关节盂
6.腋下袋
肩峰下囊:肩峰下囊是个潜在的空间

前面

后面
肩 袖:肩袖由四块肌肉和他们的肌腱组成

1. 肩胛下肌
2. 冈上肌
3. 冈下肌
4. 小圆肌


三、影像学检查方法
-
X光平片及关节造影
-
CT
-
CT关节造影
-
常规MRI
-
MR关节造影
四、X光平片
-
肩关节影像学检查的重要方法, 可对骨质异常改变和基本软组织改变提供直观图
-
能更好的显示骨的继发改变,显示喙肩弓的异常或发育变异 ,测量肩峰下缘与肱骨头的距离
-
仅能反映骨质损伤情况,对周围软骨、韧带损伤则无法显示
标准化检查
-
前后位及切线位X线片可对肩关节炎症和肩关节退行性变进行有效的评估
-
已知有肩袖病变的受检者需加拍出口位片,出口位X线片可显示钙化的存在及其位置,肩峰的形态、钙化和骨刺
-
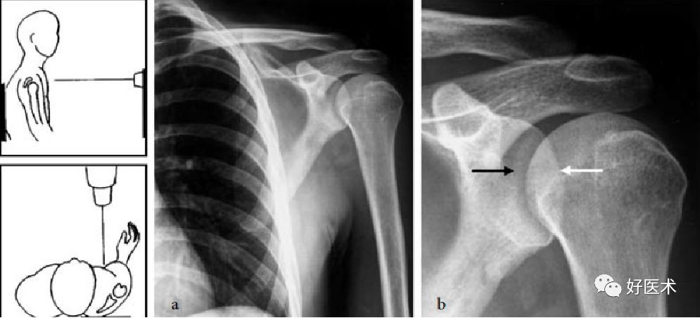
Bernageau位检查可对有肩关节不稳病史的受检者关节盂的前下段进行较好显像。Hill-Sachs病变可呈现于多个成像位置,包括顶斜位、前后位X线片等
肩关节前后位
-
肩关节前后位X线检查:患者直立于检查板前,躯体无旋转,X线束平行于地面,水平穿过肩关节

-
由于X线斜切于盂肱关节,故在该X线片上盂臼呈椭圆形
-
有利于对肩胛骨、肱骨近端以及胸壁的观察
-
对盂肱关节的评估不理想,上臂处于中位旋转位置
肩关节切线位
-
受检者处于40度后斜位,要检查的肩关节贴近检查板
-
肩关节切线位有利于对盂肱关节和肩峰下间隙的显像

肩关节出口位
-
出口位X线检查使肩胛骨轴位显像。X线正切于“肩胛胸关节”,并且可对肩峰下间隙进行较好的评估
-
出口位X线片上,可见喙突、肩胛骨体部和肩峰成Y型,肱骨头位于Y型的中心

肩关节腋窝位
-
对关节盂的上部及后部、肩胛颈的正切显像
-
同时对盂肱关节位置关系、肩锁关节较精确的评估

肩关节顶斜位
-
对肱骨头的上后部分、肩关节关节盂前缘的下部很好的成像

Bernageau位


肩关节前颅位

肩关节造影
-
诊断肩袖、关节囊完全撕裂敏感性高
-
难以显示不完全撕裂,特别是肌腱内撕裂
-
为侵入性创伤检查,有一定的并发症



五、CT检查
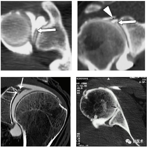
-
能很好地观察关节的稳定性、骨皮质连续性,可以观察不易发现的关节内骨片
-
准确评估骨性Bankart病变、Hill-sachs病变
-
显示软组织结构分辨率较差
CT显示肩关节不稳
后脱位:反Hill-Sachs损伤

后关节盂撕脱小骨折

CT关节造影
-
显示盂唇损伤及关节囊韧带复合体损伤阳性率很高
-
为侵入性检查方式,有并发症
-
对软组织分辨率较低,需要加压注入空气使造影剂均匀弥散到组织表面
CT肩关节造影


六、常规磁共振成像
-
优良的组织对照性和多角度多平面的成像能力,以及多序列的选择,是诊断肩关节病变的首选检查方法
-
盂唇撕裂、肩袖部分撕裂有时显示欠佳
-
显示关节囊韧带复合体损伤、关节囊冗长等病变,常规MR较难诊断
MR扫描技术
间接造影后扫描
-
斜冠状面:FSE T1W及质子压脂
-
横断面:质子加脂肪抑制
-
斜矢状面:T1W

MR直接关节造影
-
关节囊膨胀较好,增加关节腔内软组织对比度,能较好显示关节盂唇形态、关节囊、肩袖及盂肱韧带损伤情况
-
操作复杂,可有并发症,价格相对较昂贵


肩峰撞击综合征MR表现
肩峰下滑囊炎
-
T1WI-滑膜囊增厚呈低信号,高信号脂肪层消失;
-
T2WI-滑膜增生、炎症渗出呈高信号
肩袖病变
-
Ⅰ期:T1W及PD上冈上肌在其附着处出现增高的信号影
-
Ⅱ期:肩袖变薄或不规则,肌腱内信号强度增加
-
Ⅲ期:肌腱的连续性中断或伴有增高的信号累及关节面
骨结构改变
-
主要为肩峰退行性病变:T1WI及T2WI见低信号的骨赘影
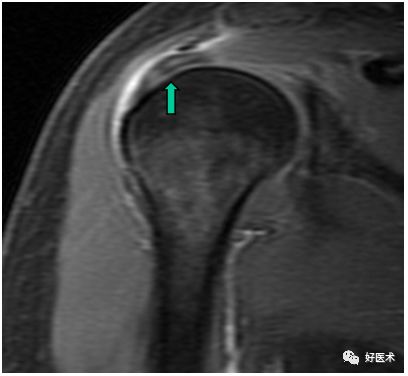
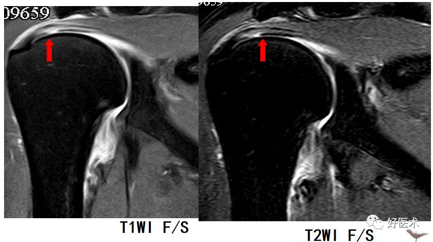
正常冈上肌MRI表现

肩峰撞击综合征的MR表现

冈上肌变性

肩袖信号增高
冈上肌关节面部分撕裂

滑囊面部分撕裂

冈上肌完全撕裂

冈上肌全层撕裂伴肩撞(骨赘形成)

冈上肌全层撕裂MRI间接关节造影表现


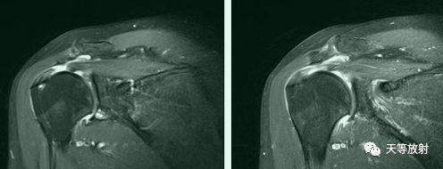
冈上下肌撕裂

冈上下肌撕裂

盂唇损伤要点
-
程度:磨损、撕裂
-
部位:上、前上、前下、下、后下、后上
-
病因:退变、急性创伤、反复创伤
-
以SLAP损伤(上)和Bankart损伤(前下)最常见

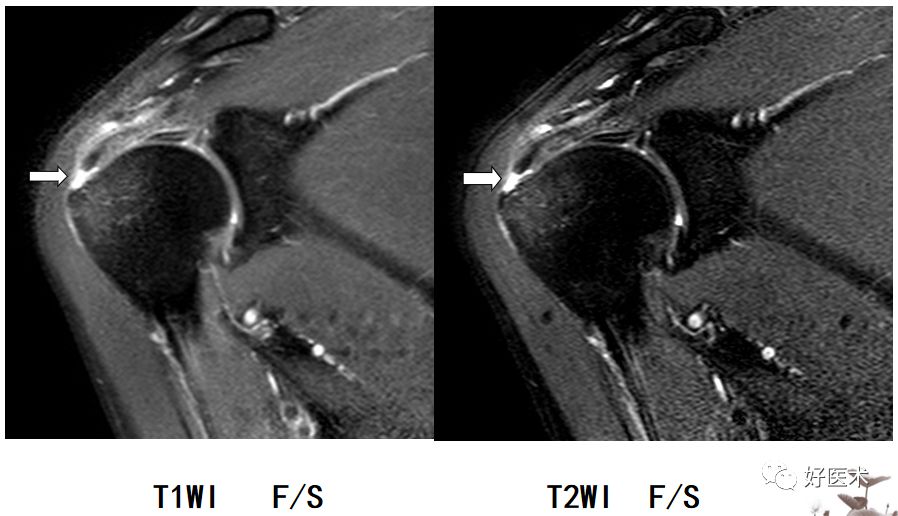
正常盂唇的MR表现
-
正常关节盂唇可表现为多种形态,其中三角形多见,其次可表现为钝圆形、扁平盂唇等。前盂唇往往较后盂唇锐利

正常盂唇

SLAP损伤
上盂唇前后向(Superior Labrum Anterior to Posterior ,SLAP)损伤,是由肱二头肌附着处前方延伸至其后方的上盂唇撕裂
-
位置:上盂唇
-
病因:反复牵拉(投掷运动)、创伤
-
临床表现:疼痛、活动受限
-
预后:退行性病变、盂唇囊肿
-
分型: 共Ⅸ型,前Ⅳ型为主,Ⅱ型最常见
上盂唇损伤(SLAP病)
-
Ⅰ型:前上盂唇磨损,盂唇不规则,信号无异常
-
Ⅱ型:最常见,盂唇磨损伴剥离,肱二头肌从盂唇分离,在盂唇连接处有明显的异常信号
-
Ⅲ型:盂唇桶柄样撕裂并向关节腔内移位,盂唇内见纵向异常信号
-
Ⅳ型:重度桶柄样撕裂,纵向伸入到肱二头肌长头腱。


SLAP伴肱骨大结折节骨折

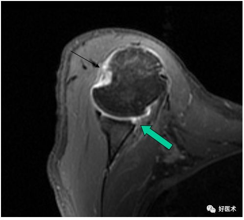
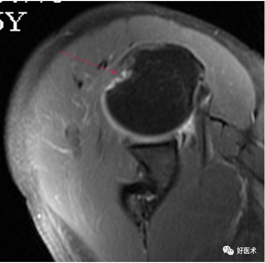
Bankart损伤
-
Bankart 损伤指盂唇前下方在前下盂肱韧带附着处的撕脱性损伤
-
1938年Bankart首先描述了急性肩关节脱位导致创伤性关节盂唇剥脱
-
病因:肩关节前脱位后
-
前下盂唇损伤,可伴有相邻骨质(骨性Bankart)损伤,透明软骨、骨膜袖等损伤(Bankart 变异)
-
临床表现:疼痛,关节不稳,反复脱位
-
预后:复发性肩关节半脱位或脱位最常见的病理性损伤


Bankart损伤的MR表现
-
三角形变钝
-
盂唇撕裂:关节盂唇软骨与盂缘可见线状高信号影并连续到关节面下
-
盂唇完全消失或盂唇明显移位
-
若盂唇损伤合并关节盂骨质损伤,称为骨性Bankart病变


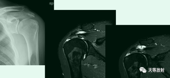
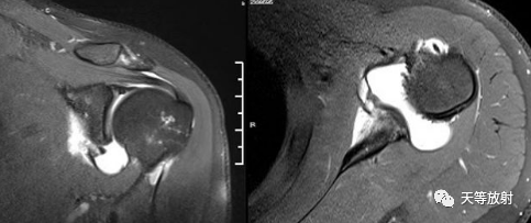
骨性Bankart病变
-
MR间接关节造影1.5T轴位T1W脂肪抑制(TR=460s,TE=90s)

SLAP、Bankart合并Hill-Sach损伤




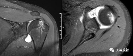
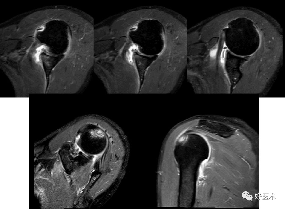
Hill-Sachs损伤
-
Hill-Sachs损伤:肩关节前脱位时,肱骨头撞向关节盂缘可导致肱骨头的后外侧的嵌插骨折


MR间接关节造影1.5T轴位T1W脂肪抑制

MR间接关节造影1.5T冠状面T1W脂肪抑制

Hill-sachs,Bankart,关节囊损伤

SLAP、Bankart合并Hill-Sach损伤
