原发性中枢神经系统淋巴瘤
发布时间:2022-10-19
发布时间:2022-10-19
原发性中枢神经系统淋巴瘤
临床表现与病理特征
中枢神经系统淋巴瘤曾有很多名称,包括淋巴肉瘤、网织细胞肉瘤、小胶质细胞瘤、非霍奇金淋巴瘤(NHL)等。肿瘤分原发性、继发性两类。原发性中枢神经系统淋巴瘤是指由淋巴细胞起源,且不存在中枢神经系统以外淋巴瘤的病变。继发性中枢神经系统淋巴瘤是指原发于身体的其他部位,后经播散累及中枢神经系统。近年来,根据免疫功能状态,又将淋巴瘤分为免疫功能正常型及免疫功能低下型。后者主要与人体免疫缺陷病毒(HIV)感染、器官移植后免疫抑制剂使用及先天遗传性免疫缺陷有关。
中枢神经系统淋巴瘤可在任何年龄发病,高峰在40-50岁。有免疫功能缺陷者发病年龄较早。男性多于女性,比例为2:1。临床症状包括局灶性神经功能障碍,如无力、感觉障碍、步态异常、癫痫发作等。其他表现包括颅内压增高,如头痛、呕吐、视乳头水肿及认知功能进行性下降。
MRI表现
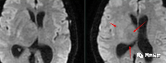
中枢神经系统淋巴瘤主要发生在脑内深部白质,病灶大多位于幕上。多数病灶邻近脑室。病灶形态多为团块状,较典型表现如同“握拳”者。位于胼胝体压部的病灶沿纤维构形,形似蝴蝶,颇具特征。该病“瘤周水肿”在T2WI呈高信号,不仅反映该部位脑组织水分增加,还有肿瘤细胞沿血管周围间隙浸润、播散的因素;另一特征为“瘤周水肿”与肿瘤体积不一致。本病大多数肿瘤体积相对较大,具有较明显占位效应,但周边水肿相对轻微。非免疫功能低下者发生淋巴瘤时,瘤体内囊变、坏死少见。本病也可发生在中枢神经系统的其他部位,脑外受累部位有颅骨、颅底、脊髓等。





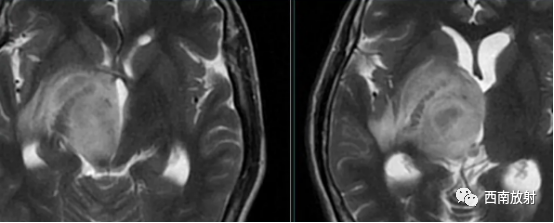
▲病例:脑淋巴瘤。脑深部结节病灶,具有刀切征、凹陷征或肚脐凹征、尖角、多发。DWI呈稍高信号,形态上怪异,波普NAA及Cho减低,出现导致LL峰。颈部、胸廓入口区及腋窝多发淋巴结肿大并相互融合。


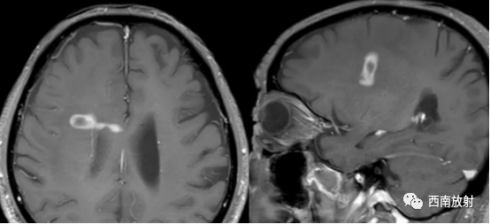
▲病例:脑淋巴瘤。右侧深部脑实质内结节状异常信号,伴周围大面积水肿区,增强扫描呈环状强化。(病例来源东南大学附属中大医院医学影像科)
鉴别诊断
中枢神经系统淋巴瘤的鉴别诊断主要包括以下疾病。
脑转移瘤:多位于灰、白质交界处,多呈长T1、长T2信号,而淋巴瘤多呈低或等T1、等T2信号;注射对比剂后,转移瘤多呈结节状明显强化,病灶较大者中心常有坏死,这在淋巴瘤相对少见;转移瘤周边水肿明显,一些患者有中枢神经系统以外肿瘤病史。


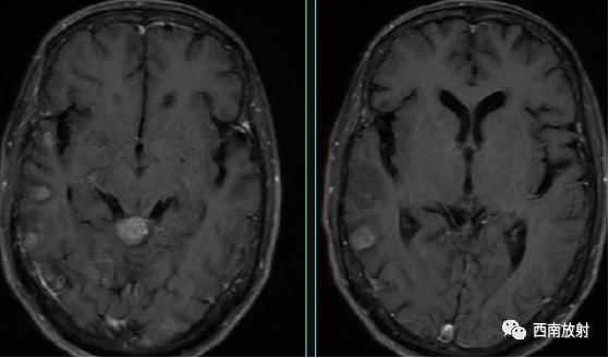
▲病例:女性,66岁,右肺肺腺癌病癌性淋巴管炎,脑转移瘤,脑内多发类圆形结节影,明显强化。
2.脑胶质瘤:多呈长T1、长T2信号,浸润性生长特征明显,境界不清,某些类型胶质瘤(如少突胶质细胞瘤)可有钙化,而中枢神经系统淋巴瘤很少钙化。胶质母细胞瘤强化表现多不规则,可呈环形或分枝状。

▲病例:脑间质瘤 上图 3a.T1WI肿瘤呈稍低信号或等信号,边界不清(白箭)3b. T2WI 肿瘤呈稍高信号,范围较T1WI范围更大(白箭)。3c. FLAIR T2WI示病灶呈片状稍高信号,以白质改变为主,灰质部分受累,信号比较均匀,邻近的脑沟、脑室弥漫性缩小,脑回和脑白质肿胀(白箭)。


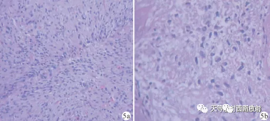
▲病例上图 MRI 增强 4a. 4b. 4c. 矢状位 T1WI病灶基本无强化,病灶边界仍不清楚(白箭)图 5a-b 患者病理像 镜下可见各种类型不同分化程度的纤维型胶质细胞在神经束间、神经细胞及血管周围弥漫浸润,胶质瘤细胞 呈类圆形或长条形,大小不一,多数细胞体积偏小,细胞浆量少,少部分增大,细胞核形态多种多样,未见出血、瘤团形成,可见坏死 区 5a. HE×20 5b. HE×40。(图3-5来源:黎本丰,钟凯,罗林.等.大脑胶质瘤病一例[J].华西医学,2013,28(9):1480-1480.)
脑膜瘤:多位于脑表面邻近脑膜处,类圆形,边界清楚,有周围灰质受推挤征象,这在中枢神经系统的淋巴瘤少见。脑膜瘤在CT呈高密度,MRI显示等T1、等T2信号;注射对比剂后均匀强化,有邻近脑膜强化形成的“尾征”。

▲病例:脑膜瘤。本病女性,肿瘤信号呈等T1等T2信号,DWI等信号,ADC图信号不高,软组织信号增强扫描明显强化,强化均匀,并见脑膜尾征。波谱成像:NAA波峰较低,因此提示病变来源脑外,不含神经元标记物,提示非神经元的脑肿瘤。显示LL峰明显升高,Cr不形成波峰,而Cho位置较低。病灶MI峰由下方转到0线上。


▲病例:脑膜瘤。
4.感染性病变:发病年龄相对年轻,部分有发热病史。增强扫描时,细菌性感染病变多出现环状强化,多发性硬化多出现斑块状强化。近年来由HIV感染引起的免疫功能低下型淋巴瘤增多,病灶常多发,环状强化多见,肿瘤中心坏死多见。临床症状严重,发病凶险,病情进展快,病死率高,可通过实验室检查,治疗及临床症状的发展来鉴别;

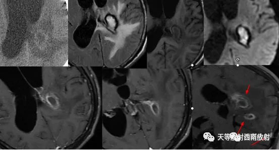
▲图 脑出血,治疗后期,脑压增高,脑积水,颅内感染性病变。增强扫描显示多灶性及多发环状强化。
小结
影像表现与免疫功能状态有关,注意HIV感染;肿物位于脑室周围、胼胝体时多为实性,位于基底核区时可有坏死;B细胞淋巴瘤占98%。
参考文献:《磁共振成像临床应用入门》主编:靳二虎、蒋涛、张辉。
上一篇:中枢神经细胞瘤