中枢神经细胞瘤
发布时间:2022-10-19
发布时间:2022-10-19
中枢神经细胞瘤
中枢神经细胞瘤(central neurocytoma,CNC)是Hassoun 于1982 年提出的一种新的神经元-神经胶质肿瘤,发病率占全部原发脑肿瘤的0.25% ~ 0.5% [1]。2000 年世界卫生组织将其归为神经元和混合神经元胶质肿瘤,分为 WHOⅡ级。该肿瘤偏良性,好发于幕上侧脑室透明隔区域,少数位于第三脑室、第四脑室,而发生颅内其他部位极为罕见,以手术切除为首选治疗方式,预后良好。
(一)临床表现
肿瘤具有特殊的形态及免疫组织学特征,1982年由 Hassoun首先报告,患者以青年人(平均年龄31岁)为主,。CNC由分化较好的小圆形细胞构成,好发于青年人,早期无明显症状,随着瘤体积的增大,逐渐压迫周围组织出现颅内高压症状, 部分患者还可以出现耳鸣、平衡障碍、意识障碍、嗜睡等,多与颅内压增高有关,部分病灶位于小脑者可出现共济失调,病程往往小于6个月。
(二)病理特征
肿瘤来源于 Monro孔之透明隔下端,外形分叶状,边界清楚。肿瘤较局限,内部常见坏死、囊变灶。富血管肿瘤可有出血。肿瘤细胞大小一致,分化良好,似少突胶质细胞但胞浆不空,似室管膜瘤但缺少典型菊花团,可见无核的纤维( Neuropil)区带。电镜下可见细胞浆内有内分泌样小体。免疫组化染色:Syn(阳性)和 NSE(阳性)。HE 染色:肿瘤为密 集分布均匀、大小一致的单一细胞组成,核圆、规则,位于中央。
(三)MRI表现
1、肿瘤位置:肿瘤多位于侧脑室体部邻近莫氏孔,宽基底附着于侧室壁。
2、信号特点:在T1WI,肿瘤呈等信号,当肿瘤直径<2cm时信号均匀,直径>2cm时信号混杂,主要由于瘤体内含有囊变、钙化及肿瘤血管所致。CT可见瘤体内簇状、球状钙化。
3、DWI上实性部分呈高或稍高信号,囊性、坏死部分为低信号。
4、MRS改变:胆碱( Cho) 峰增高,肌酸( Cr)和 N-乙酰天门冬氨酸( NAA) 峰降低。Shah 等研究发现,MRS上存在一个 3.55 ppm 的波峰,认为其为甘氨酸( Gly) 所形成,并且该峰可能是中枢神经细胞瘤的特殊标志[14]。
5、静脉注射Gd-DTPA后,在增强T1WI肿瘤轻中度不均匀强化;可见脑积水。

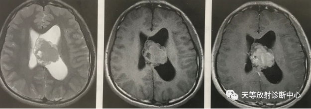
病例1:中枢神经细胞瘤:
T2WI及T1WI左侧侧脑室内不规整肿块影,分叶状,信号不均,以等高信号混杂,透明隔右移位,增强扫描肿块明显强化。(《磁共振成像临床应用入门》主编:靳二虎、蒋涛、张辉)

病例2:中枢神经细胞瘤
图1 MRI显示左侧脑室前部见一囊实性异常信号,以实性成分为主,T1WI 为等、稍低信号 图 2 肿瘤区域波普显示胆碱峰明显增高 图 3 肿瘤细胞毛玻璃样胞质,核偏位,其围绕小血管呈假菊形团结构。
(李俊芝,张 琰,葛金莲.等.中枢神经细胞瘤16例临床病理分析[J].诊断病理学杂志,2020.27(11):805-807.)

病例3:中枢神经细胞瘤
MRI显示肿瘤位于侧脑室,增强后肿瘤轻度强化,肿瘤组织由大小一致的小圆细胞构成,富含分枝状血 管,可见核周空晕(HE×200).(刘颖,姜晨霞,王燕,张青.中枢神经细胞瘤 13 例临床病理分析并文献复[J].临床与病理杂志,2020.40(8):1949-1952.)
重要影像学征象:
1、皂泡征:瘤内信号不均匀囊变很少发生于肿瘤的中心而好发于肿瘤的周边。
2、宽基底征:囊变分隔位于周边,但与侧脑室壁、透明隔及胼胝体黏连形成宽基底影像;
3、扇贝征:见病灶与侧脑室顶部幕状相连;
(四)鉴别诊断
1、脑室内少突胶质细胞瘤:可侵犯脑实质,间变型肿瘤增强扫描呈不均匀明显强化,肿瘤边界欠清,边缘不规则,临近室管膜可见稍增厚、强化,临近脑组织中度水肿。
2、室管膜下巨细胞星形细胞瘤:伴有结节性性硬化症的青少年患者,T1WI增强扫描呈明显均匀强化。除了瘤体之外,常常可见到室管膜下或脑实质多发结节,增强后这些结节多无强化;
3、室管膜瘤:病变容易累及脑室旁组织,常伴水肿;MRI增强扫描呈显著不均匀强化。而绝大部分的CNC在CT和MRI上无瘤周水肿及侵袭脑实质的征象。
4、脉络膜乳头状瘤:发生于侧脑室的脉络膜乳头状瘤,好发于10岁以前的婴幼儿,常见于侧脑室三角区。MRI检查示,肿瘤内见斑点状混杂信号,增强扫描呈明显均匀强化, 肿瘤边缘呈颗粒状凹凸不平,常见菜花样改变; 因肿瘤分泌 大量脑脊液而常表现为脑积水,瘤体完全浸泡在脑脊液中。
参考文献:
[1] Hassoun J,Gambarelli D,Grisoli F,et al.Central neurocytoma:An electron-microscopic study of two cases.Acta Neuropathol,1982,56(2):151.
[2] Shah T,Jayasundar R,Singh VP,et al. MRS characterization of central neurocytomas using glycine[J].NMR Biomed,2011, 24: 1408.
上一篇:【PPT】颌骨常见病变的CT表现
下一篇:原发性中枢神经系统淋巴瘤