喉乳头状瘤
发布时间:2022-10-24
发布时间:2022-10-24
喉乳头状瘤 laryngeal papilloma
是喉部最常见的良性肿瘤,占其总数的70%左右,可发生于任何年龄,可单发或多发,单发者以儿童多见,多发者以成年人多见,易发生恶变。本病多系病毒感染所致,主要是人类乳头状瘤病毒(HPV),病变起源于上皮组织,肿瘤可呈乳头状或疣状,有时可填塞喉腔向声门下发展。
诊断要点
1.临床可出现声嘶、哭声异常、呼吸困难等症状。儿童以哭声异常和呼吸困难为主要症状,而成年人以声嘶为主要症状。
2.间接喉镜检查:可见声带或喉室等处局限性隆起,喉室壁黏膜凹凸不平。
3.MRI检查:SE序列呈长T1、长T2信号,冠状位可清楚的显示瘤体与声带及声门的关系。
CT表现
1.有时与喉癌在CT上很难鉴别,需依赖于病理学诊断。
2.早期微小病变不易发现,随着病变发展可见喉前庭处或声门下区边界清楚的软组肿块影,病灶可有钙化。
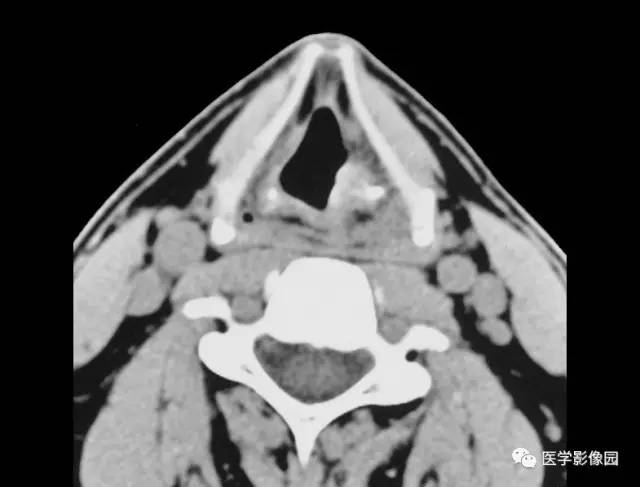
3.声带和室带可不规则增厚或形成软组织肿块(图3-5-10)。
4.病灶周围喉旁间隙多正常,常不向深部浸润,成人如有深部浸润应提示有恶变可能。
图3-5-10 喉乳头状瘤A.B.


CT平扫见左侧室带后部局限性软组织肿块,
并向喉腔突入(↑),喉旁间隙显示清晰
上一篇:带你认识神秘的海马体