【病例】小脑毛细胞型星形细胞瘤1例MR影像分析
发布时间:2022-10-24
发布时间:2022-10-24
(一)简要病史
女性,9岁。间断性头痛半年,呕吐2个月余,晕厥7小时,抽搐2次。







(二)影像所见
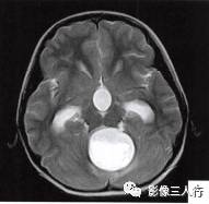
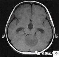
头颅MRI扫描示:小脑上蚓部见团块状异常信号影,边缘清楚,大小约4.5cm×3.5cm×3.7cm,T1WI(图B)等信号,中心可见更低信号,T2WI(图A)呈髙信号,水抑制(图C) 等信号,中心呈更低信号,周边可见轻度高信号水肿区。增强后(图D〜F)病灶可见明显环形强化,壁较厚,内壁欠光滑,邻近小脑及第四脑室受压,第三脑室、双侧脑室扩张积水。
诊断:小脑上蚓部占位,考虑肿瘤性病变,以毛细胞型星形细胞瘤可能性大。
(三)解读思路
1.有无病变:在解读上述影像过程中最重要的是发现病变即确认有无病变的存在, 没有病变解读为有病变就是过诊,有病变没有解读出来就是漏诊,根据本例CT和MR表现确认为小脑蚓部占位。
2.定位诊断:解读肿瘤的生长位置是十分重要的,直接关系到定性诊断和治疗方案 的制定。本例肿瘤位于小脑蚓部,第四脑室受压变窄,故确认为脑内占位。
3.定性诊断:脑内占位是肿瘤性病变还是非肿瘤性病变,根据本例MRI表现,诊断肿瘤性病变是肯定的。但肿瘤是良性还是恶性要根据影像特征将其解读出来。本例肿瘤边界清楚,水肿不明显,无周围脑组织侵犯,应考虑为良性肿瘤。
4.鉴别诊断:本例患者发病年龄较轻,主要在儿童常见的后颅窝肿瘤间鉴别。髓母细胞瘤常呈实质性,囊变较少见,可初步排除;室管膜瘤亦较少见大的囊变,且强化无本例明显;血管母细胞瘤成人多见,且附壁结节较小,可排除;淋巴瘤多为抱拳样强化;本例符合星形细胞瘤的特征如下:①发病年龄较小;②发病部位为小脑蚓部;③肿瘤囊变区较大;④增强扫描实性部分强化明显。
(四)病理诊断
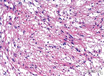
“第四脑室肿瘤小脑白质内毛细胞型星形胶质细胞瘤(图G)。
(五)述评
发生在小脑的星形细胞肿瘤主要为毛细胞型星形细胞瘤,WHO的恶性度为I级,即良性星形细胞瘤。极少数小脑星形细胞肿瘤为非毛细胞型星形细胞瘤,包括II级星形细胞瘤和间变型星形细胞瘤。主要发生于儿童,是儿童后颅凹常见的肿瘤,少数发生于成人,但也多为年轻人。肿瘤可发生于小脑的任何部位,但在儿童绝大多数起源于小脑蚓部,可继发性地侵犯小脑半球,仅有约15%发生于小脑半球,而成人则常发生于小脑半球。肿瘤生长缓慢,诊断时直径多大于5cm。分为囊性、囊实性、实性多种表现。囊性或囊实性者常见。增强扫描示肿瘤实性部分强化明显。