【病例】左侧额叶环形强化病变——囊虫病1例CT及MR
发布时间:2022-10-24
发布时间:2022-10-24
临床病史
患者,男性,79岁。神志恍惚,构音障碍,吞咽困难,口角歪斜伴右侧肢体无力48小时。血压为180/100mmHg。
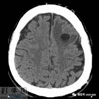
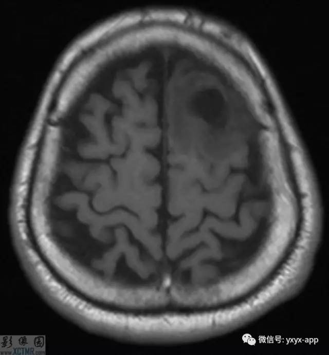
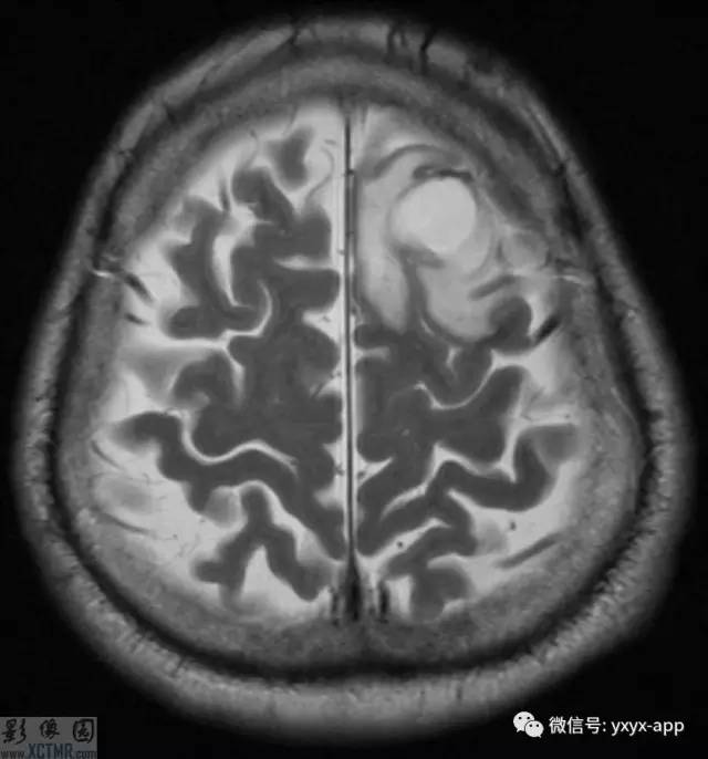
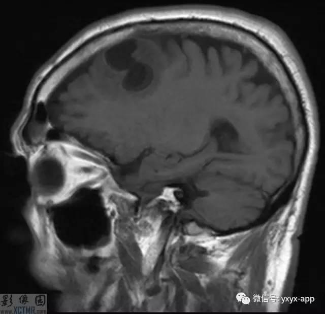
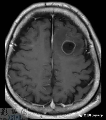
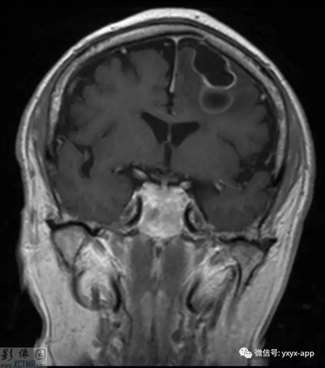
影像图片






影像表现
CT:左侧额叶一囊性肿块伴水肿。MRI:轴位T1WI和T2WI显示左侧额叶一囊性肿块伴周围脑实质显著水肿,但无明显占位效应。T1WI增强图显示病变为分叶环形囊状肿块伴周围脑实质水肿,囊壁环形强化,囊内及周围水肿区无强化。
术后诊断
胶样囊泡型脑囊虫病(Colloidalvesicularneurocysticercosis)
讨论
脑囊虫病是由于中枢神经系统感染寄生虫(猪绦虫为主)引起的一种顽固性颅脑内疾病。该病约占全身囊虫病的80%以上,是中枢神经系统最常见的寄生虫感染性疾病。是由于口服了猪肉绦虫虫卵,发育成囊尾蚴,经消化道穿出肠壁进入肠系膜小静脉,再经体循环而到达脑膜、脑实质以及脑室内。可分为脑实质型、脑室型、脑膜型及混合型。此病例是一罕见的囊性脑囊虫病,出现临床症状前病变并不是很大。
临床表现包括以下几点:无炎性感染时常无临床症状;癫痫发作;头痛;脑积水;精神状态异常(神志异常);神经功能缺损。
影像学表现取决于感染的位置以及感染的阶段。此病例在胶状水泡阶段,寄生虫的死亡引起明显的炎性反应。影像学表现包括:围绕囊性病变的血管源性水肿;增强后环状增强;T1WI胶状囊性病变周围为低信号;有时可见T1WI头节高信号影。
MRI可以准确地显示各型的发病特点(数目、大小及部位等)。病理演变分期:依据脑囊虫的病理演变过程,将其分为囊泡期、胶样囊泡期、结节期及钙化期,各期由于所含成份的变化,而具有特征性的MRI表现。部分囊泡型及脑炎型脑囊虫病在增强扫描时可呈环形强化,脑炎型脑囊虫病通常为单发环形强化,环一般位于脑皮质内,通常为小环样强化,环壁可厚而光整,但也可厚薄不均匀,环周围常有明显的水肿。这种环形强化病灶与小脓肿环形强化很难区别,需要结合平扫表现和临床。有时环形强化内可见囊虫头节,表现为环形强化内有点状高密度和高信号,使囊虫环形强化的特征性表现,但需要与结核环形强化区别,小囊泡型囊虫病常呈多发环形强化,根据平扫表现,通常容易诊断脑囊虫病。