支原体肺炎1例CT影像表现
发布时间:2022-10-23
发布时间:2022-10-23
[病程描述]
性别:女,年龄:26岁,低热,轻微胸痛,支原体阳性



















请选择答案
A、支原体肺炎
B、支气管肺炎
C、肺结核
正确答案是:A、支原体肺炎;
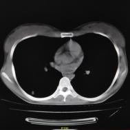
[影像描述]
两肺内及胸膜下多发斑片状高密度影,部分病灶密度较淡,部分实变,边缘可见渗出改变。
[诊断思路]
支原体肺炎
支原体肺炎是由支原体引起的以间质改变为主的肺炎。实验室检查支原体抗体呈阳性。支原体侵入肺内可引起支气管、细支气管黏膜及其周围间质充血、水肿,多核细胞浸润,侵入肺泡可产生肺泡浆液性渗出性炎症。CT早期主要改变为肺间质炎症,病变区肺纹理增粗而模糊,病变范围广泛,常累及多个肺叶,单侧或双侧的磨玻璃影及实变影,以双肺下叶多见,多呈小叶性分布。同时,患者的临床症状与CT改变不匹配,即临床症状明显好转或消失但肺部阴影吸收不明显。鉴别诊断:支气管肺炎好发于两中下肺的内、中带,病灶沿支气管分布,呈多发散在小的斑片状影,常合并阻塞性小叶性肺气肿或小叶性肺不张,结合临床多见于婴幼儿或年老体弱者。渗出浸润为主的继发性肺结核病灶表现为结节状或呈不规则斑片状影,边缘较模糊,密度不均匀,病灶内可见小空洞。增殖性病灶密度较高,边缘清楚,病灶内或周围可见不规则钙化灶。浸润性病变常与纤维化并存,可伴有邻近支气管扩张。结核分枝杆菌检查阳性。
上一篇:罕少见的子宫内膜异位症