罕少见的子宫内膜异位症
发布时间:2022-10-23
发布时间:2022-10-23
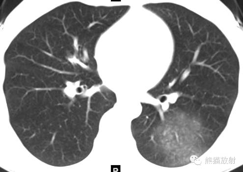
第一例
女,19岁,每次来月经时咯血。




CT诊断:结合病史,考虑左下肺子宫内膜异位症(渗出型),建议月经间期复查。
第二例
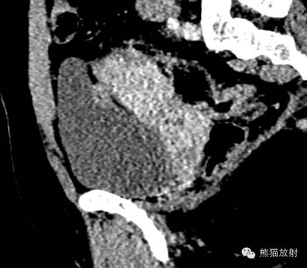
女,33岁,2年余前在月经期时,出现尿频、尿急,伴全程肉眼血尿,呈淡红色,无血块,有时可有尿痛;经期结束后,上述症状消失。






膀胱镜检查:膀胱三角区及各壁粘膜可见充血炎性改变,三角区后方可见一范围约1.5×2cm的粘膜隆起,局部可见紫蓝色的粘膜下瘀斑,于该处取病理2;
活检病理示:(膀胱)送检少许组织被覆尿路上皮,呈轻度慢性炎,间质中查见少数散在的腺体,结合临床和免疫表型,符合子宫内膜异位;免疫组化:ER 、PR 、CD10-、CK34βE12±、CK7±。
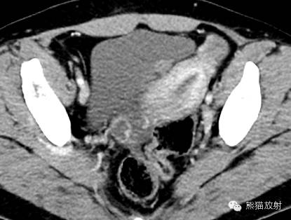
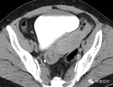
第三例
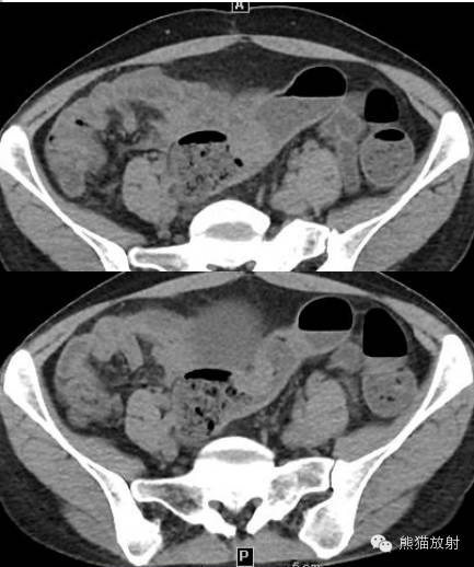
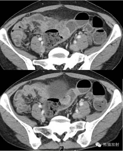
女,39岁,下腹部阵发性疼痛2月余,大便次数增多,为粘液便,无便血、黑便。后患者腹痛反复发作,大便频繁。14余年前行剖宫产手术。
结肠镜检查:乙状结肠远端(距肛门约20cm)见粘膜广基隆起,表面充血、糜烂,周围粘膜蛇皮样变,至肠腔狭窄,取活检4块。病理示:(乙状结肠)粘膜糜烂性活动性炎症伴固有腺增生及灶性淋巴组织增生。
超声内镜检查:距肛门20cm见2.0cm的隆起,表面粘膜粗糙、糜烂。病灶呈低回声,内回声均质,边界清,大小约2.1*1.4cm,起源于固有肌层。


术后病理:(乙状结肠)子宫内膜异位症。
知识点
子宫内膜异位症
分类
发生机制
肺子宫内膜异位症
膀胱子宫内膜异位症
肠子宫内膜异位症
膀胱内异症 病理图(来自文献)

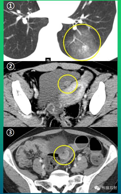
本组病例解读
诸病灶分别如下图中圆圈所示:

上一篇:肺肉瘤样癌1例CT影像表现
下一篇:支原体肺炎1例CT影像表现