纵隔原发恶性蝾螈瘤1例
发布时间:2022-10-23
发布时间:2022-10-23
患者男,45岁。无明显诱因出现咳嗽、咳痰1个月,于2010年2月26日入院。患者为阵发性咳嗽,以夜间为重,同时咳少量白色黏痰,无发热、眼睑下垂、饮水呛咳、恶心、胸痛、呼吸困难等。吸烟20年,20支/d。
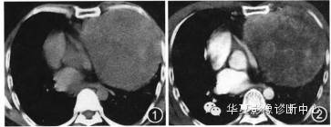
体 检:左侧胸廓饱满,呼吸动度减弱,左下肺叩诊实音,左下肺呼吸音低,未闻及干湿性哕音。胸部CT平扫:示左中纵隔巨大软组织肿块(图1),大小约22.8 cm×17.2 cm×15.8 cm,CT值42—68 HU,密度不均,其内见片状稍低密度影,肿块边界清楚,纵隔受压右移,双肺未见实质性病灶,肺门及纵隔内未见肿大淋巴结。CT增强示肿块明显不均匀强化 (图2),动脉期CT值52—96 HU,静脉期CT值45~86 HU,其内可见斑片样及线条状明显强化影,坏死区未见强化。CT诊断为恶性肿瘤性病变。

图1 CT平扫示左中纵隔巨大软组织肿块,密度不均,边界清楚;图2 CT增强示肿块明显不均匀强化,邻近左前胸壁密度不均,边缘毛糙;
术 中见肿瘤位于左中纵隔,质硬、活动度差、无搏动感,肿瘤有完整包膜,包膜上有丰富的血管,与心包及胸壁致密粘连,左肺受压、部分膨胀不全,左肺上叶与胸壁 有致密粘连。镜下见肿瘤由梭形细胞构成,核异型性明显,部分区域呈束状排列,漩涡状结构,在梭形细胞背景中可见横纹肌母细胞,呈圆形、多边形或梭形,胞质 丰富红染,类似横纹肌肉瘤(图3)。

图3病理示肿瘤由梭形细胞构成,核异型性明显,在梭形细胞背景中可见横纹肌母细胞(HE×100)
免疫组织化学检查:结蛋白(Desmin)、肌调节蛋白(MyoDl)、波形蛋白(Vimentin)、S-100均为阳性,角蛋白(CK)阴性。病理诊断:恶性外周神经鞘瘤(恶性蝾螈瘤)。
术后4个月肿瘤复发,胸部CT增强(图4)示左侧胸腔内多发混杂密度占位,肿块呈明显不均匀、厚环状强化,左侧胸膜、心包、肋骨及胸壁均见侵犯。

图4术后4个月肿瘤复发,CT增强示左侧胸腔内多发、巨大囊实性占位,侵犯邻近胸膜、心包、肋骨及胸壁
讨论
恶性蝾螈瘤(malignant triton tumor,MTT)是一种罕见的恶性肿瘤,笔者在英文数据库Medline中仅查到5例纵隔蝾螈瘤报道。WHO将其归类为恶性外周神经鞘肿瘤 (malignant peripheral nerve sheath tumor,MPNST)的一个亚型,伴横纹肌肉瘤分化。
由于蝾螈瘤的组织结构复杂多样,影像表现缺乏特异性,故误诊率较高。笔者认为影像上表现为实质性肿物,与周围肌肉组织密度等同,增强后可见不均匀强化,有时可伴有周围软组织及骨质破坏,应想到蝾螈瘤的可能。
主 要应与纵隔内常见的胸腺瘤、畸胎瘤进行鉴别。胸腺瘤好发于前上纵隔,临床表现与重症肌无力有明显关系,常呈类圆形,可分叶,增强后近似均匀性强化,恶性胸 腺瘤为浸润性生长,侵及胸膜和心包。畸胎瘤多位于前中纵隔,密度不均,肿块内出现钙化、脂肪等多种组织成分为其典型的影像表现。由于该病非常罕见,因此仅 凭临床实验室及影像检查难以确诊,需借助组织病理及免疫组织化学结合观察。
此肿瘤恶性程度高,生长迅速,易在短期内复发及转移,本例患者术后4个月肿瘤复发。虽然蝾螈瘤无特征性的影像表现,但CT可以帮助准确定位,了解肿瘤与周围脏器的关系,给临床提供更多的术前信息
上一篇:纵隔巨淋巴增生症1例CT影像表现