纵隔占位?肺内占位?巨大中央型肺癌1例

发布时间:2022-10-24

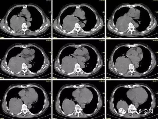
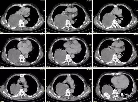
【病例】巨大中央型肺癌1例

【病例】巨大中央型肺癌1例

【病例】巨大中央型肺癌1例

【病例】巨大中央型肺癌1例

【病例】巨大中央型肺癌1例

【病例】巨大中央型肺癌1例

【病例】巨大中央型肺癌1例

【病例】巨大中央型肺癌1例

【病例】巨大中央型肺癌1例

【病例】巨大中央型肺癌1例

【病例】巨大中央型肺癌1例

【病例】巨大中央型肺癌1例

【病例】巨大中央型肺癌1例

【病例】巨大中央型肺癌1例

【病例】巨大中央型肺癌1例

【病例】巨大中央型肺癌1例

【病例】巨大中央型肺癌1例

【病例】巨大中央型肺癌1例

精彩图片

热门精选