纵隔巨淋巴增生症1例CT影像表现
发布时间:2022-10-23
发布时间:2022-10-23
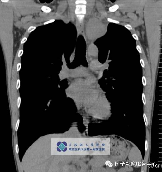
男,27岁,因“查体发现纵隔占位三月余”入院。









影像分析:左上、后纵隔内见类圆形软组织密度增高影,密度尚均匀,边缘清晰,增强扫描均匀强化。

巨大淋巴结增生症(Castleman’S disease,CD)是一组较少见的、发病原因不明的慢性淋巴组织增生性疾病。近来研究显示,白细胞介素一6(IL一6)等B细胞生长因子是本病发生的关键¨,提示本病的发生可能与免疫功能异常有关。本病的发病年龄跨度较大,9个月~85岁均可患病,但常见于青年,无明显性别差异。
本病可发生于淋巴结的任何部位,以纵隔淋巴结最为好发(约占60~70%),颈部(约占lo~15%)、腹部、腹膜后、盆腔等(约占1 0~1 5%)亦可发生。
临床上,根据生物学行为,将CD分为LCD与弥漫型或多中心(multicentric CD,MCD)。
单中心型:大部分为透明血管型,表现为纵隔及肺门圆形或卵圆形较大软组织肿块,边缘光滑锐利可有分叶,多数密度均匀可伴斑点状、树枝状等不同表现钙化。Meador等报道病变强化与病灶大小有关,小于5cm多为均匀强化,大于5cm的多不均匀强化,另外,还与病变的组织学特点如变性、坏死、纤维化的程度有关。
动态增强表现为:
动脉期病灶明显强化,均匀或不均匀,其强化程度可与邻近动脉相仿;
门脉期病灶均匀强化,但增强值小于动脉期,仍高于周边软组织密度;
平衡期病灶持续强化,呈略高或高密度。外周有点状异常增强的小血管,可能滤泡间大量毛细血管增生,周围有滋养血管所致。
亦有不典型强化,表现为轻度强化、靶环样强化。中心未强化区,由于血管内皮细胞过度增生使血管闭塞,对比剂不能进入所致。
多中心型:浆细胞型占多数,影像表现无明显特征性,主要表现为肺门纵隔一组或多组肿大淋巴结,密度均匀,增强后中等强化。
若侵犯肺实质,表现为肺内毛玻璃样密度增高,气腔实变,双肺弥漫性网状、结节状间质浸润,其病理学改变为大量浆细胞在肺实质内浸润,类似于淋巴细胞间质性肺炎。
病灶内亦可出现钙化。PET/cT是将PEr结果与cT相结合,表现为在CT诊断结果上还有(18)F-FIX浓聚。
1、血管瘤:血管瘤可以发生在全身各个部分,质地相对较软,血供丰富,滋养动脉较多,增强后动脉期即明显强化,MR可见流空的血管影。而CD发生在淋巴组织丰富的部位,透明血管型大多表现为典型的血管样强化。
2、 恶性淋巴瘤:与CD均发生在淋巴组织,但恶性淋巴瘤的淋巴组织往往有融合,呈侵袭性生长,增强后呈均匀的轻-中度强化,从影像上与CD 鉴别有一定困难,需结合临床症状及骨髓检查确诊。
3、 淋巴结结核:亦是发生在淋巴组织,其常表现为中央干酪样坏死,增强后不均匀环形强化。
下一篇:纵隔原发恶性蝾螈瘤1例