右侧胸腔黏液性脂肪肉瘤1例CT影像表现
发布时间:2022-10-23
发布时间:2022-10-23
【临床资料】
62岁女性。右侧胸腔畸胎瘤术后10年,具体不详。
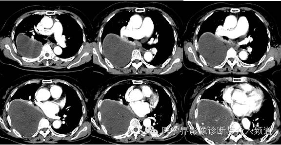
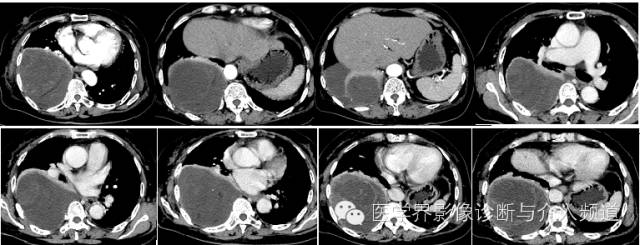
【影像图像】




【影像学表现】
右侧胸腔内见巨大囊性占位,内夹杂少许小片状脂肪及点状钙化灶。内可见分隔。增强动脉期内见血管影走形,静脉期可见病变轻度强化,CT值约为30 Hu,内分隔强化明显。
———-♀【病例讲堂】分割线♀———
小编留言:这些患者是别人的,但这些症状你工作中也可能会遇到,学习才是前进的唯一路径,有思考才有进步哦!
【最终诊断】
右侧胸腔黏液性脂肪肉瘤
【讨论】
脂肪组织来源的肿瘤有良性的脂肪瘤和恶性的脂肪肉瘤。
脂肪肉瘤起源于原始间充质细胞,生长缓慢,病程可达数年。大多数发生于四肢及腹膜后深部软组织,原发于胸腔者罕见。胸腔脂肪肉瘤多来源于纵膈胸膜下脂肪组织或胸壁皮下脂肪组织,也可起源于胸腺脂肪组织,多见于前纵膈下部和心膈角区。
临床症状和体征无特殊性,位于胸部者其临床表现取决于肿瘤的部位、大小以及肿瘤对周围组织的压迫及浸润。肿块大者可出现压迫症状,如活动后气促,引起胸膜粘连时可有胸痛。
WHO将脂肪肉瘤组织学类型分为:高分化型(包块脂肪瘤样脂肪肉瘤和硬化性脂肪肉瘤)、黏液样型、圆细胞型、多形性型和去分化型。脂肪瘤样脂肪肉瘤的瘤细胞形态各异,可见分化差的星形、梭形、小圆形或呈明显异型性和多形性的脂肪母细胞,胞浆内可见大小不等的脂滴空泡。
脂肪瘤由增生成熟的脂肪细胞所构成,因其瘤体成分与正常的替补脂肪相似,故有其典型的影像学表现。
CT表现为肿块较大,瘤内含有脂肪性密度较具特征性,并可见点状钙化,中间见网状分隔,可形成假包膜。由于血供多不丰富,增强后仅见间隔轻微强化。
MRI表现为边界不清、形态不整、信号强化不均匀的软组织肿块。圆细胞型脂肪肉瘤脂肪含量少,多为T1WI等信号,T2WI等信号。黏液型脂肪肉瘤以液体囊性成分为主,在T1WI低信号,T2WI高信号。分化良好、含脂肪成分较多的脂肪肉瘤在T2WI序列上呈中高信号。
因脂肪瘤含有典型的脂肪成分,多数存在包膜,与脂肪肉瘤在CT与MRI上一般不难鉴别,良性脂肪瘤也可见分隔,但是脂肪肉瘤的分隔厚而不规则,增强显著强化。
【 鉴别诊断】
畸胎瘤:多见前、中纵膈,密度不均匀,瘤灶内常有钙化、骨骼或牙齿及脂肪等多种组织成分。部分病例可见团块状软组织密度影浮于囊中形成“浮球征”。
脂肪瘤:多呈扁圆形,可有分叶,有明确包膜,其内为成熟脂肪,极少恶变。CT表现为边界清楚,具有包膜的低密度肿块,CT小于-100 Hu。
神经源性肿瘤:发病年龄常较小,瘤灶多见于后种鸽,可见椎间孔扩大、邻近椎体破坏等,“哑铃状”改变。
上一篇:肺内片状阴影的鉴别诊断
下一篇:纵隔巨淋巴增生症1例CT影像表现