肺内片状阴影的鉴别诊断
发布时间:2022-10-23
发布时间:2022-10-23
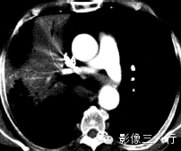
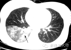
| 肺结核(图1) | 中央型肺癌(图2) | 肺炎(图3) | |
| 临床特点 | 低热、盗汗、咳嗽、咯血 | 刺激性咳嗽、咯血 | 有发热病史、咳嗽、咳痰 |
| 好发部位 | 上叶尖后段、下叶背段 | 肺门部 | 右肺上叶、右肺中叶、左肺上叶舌段 |
| 病灶形态 | 纤维索条影、斑片影、云絮状阴影、薄壁空洞、虫蚀样空洞 | 肿块影、厚壁空洞、肺不张、阻塞性肺炎、阻塞性肺气肿 | 索条影、斑片状实变影、蜂窝状阴影、空洞 |
|
病灶
边缘 |
长毛刺、边缘不规整,与邻近胸膜粘连 | 分叶状,边缘不规整 | 边缘模糊,不规则 |
| 密度 | 不均匀,有钙化 | 均匀 | 可不均匀 |
| 支气管狭窄或梗阻 | 很少见 | 常见 | 很少见 |
|
淋巴结
肿大 |
少见 | 可见 | 少见 |
| 病程 | 1年以上多见 | 3〜6个月多见 | 3〜6个月多见 |


(A)平扫肺窗

(B)平扫纵隔窗

上一篇:乳腺增生影像学诊断