乳腺增生影像学诊断
发布时间:2022-10-23
发布时间:2022-10-23
乳腺增生是乳腺组织在雌、孕激素周期性作用下发生增生与退化的过程,是女性乳腺多见的一类临床症候群。乳腺增生并非炎症性或肿瘤性疾病,甚至其大多数情况下都是乳腺组织对激素的生理性反应,而不是真正的病变。仅有少部分可能属于病变,其中出现非典型增生或发展成原位癌,甚至最终演变成为浸润性乳腺癌,但这个过程并非呈线性进展。
临床与病理
乳腺增生多发生在30~40岁,常为双侧发病。临床症状为乳房胀痛和乳腺内多发性肿块,症状常与月经周期有关。有关此类疾病的病理诊断标准及分类,尚不统一,故命名较为混乱。一般组织学上将乳腺增生描述为一类以乳腺组织增生和退行性变为特征的病变,伴有上皮和结缔组织的异常组合,包括囊性增生(cystic hyperplasia)病、小叶增生(lobular hyperplasia)、腺病(adenosis)和纤维性病(fibrous disease)。其中囊性增生病包括囊肿、导管上皮增生、乳头状瘤病、腺管型腺病和大汗腺样化生,它们之间有依存关系,但不一定同时存在
影像学表现
X线:X线表现因乳腺增生成分不同而各异。通常表现为乳腺内局限性或弥漫性片状、棉絮状或大小不等的结节状影,边界不清。反复增生退化交替的过程中,可出现组织退化、钙盐沉积,表现为边界清楚的点状钙化,大小从勉强能辨认的微小钙化至直径2~4mm,轮廓多光滑、清晰,单发、成簇或弥漫性分布,若钙化分布广泛且比较散在,易与恶性钙化区别,若钙化较局限而成簇,则易被误诊为恶性钙化。
需要注意的是在致密增生的背景上可合并癌瘤,此时易造成假阴性诊断。当小乳管高度扩张时可形成囊肿,大多数微小囊肿仅在镜下可见,乳腺X线摄影无法显示。少数囊肿可较大,肉眼下可见,X线表现为圆形或卵圆形密度较纤维腺瘤略淡或近似的阴影,单发或多发,边缘光滑、锐利(图6-5-1),局限性或弥漫性遍布全乳。极少数病例因囊内含乳酪样物而呈透亮影。
若囊肿较密集,可因相互挤压,使囊肿呈新月状表现,或在圆形影的某一边缘出现弧形压迹。因部分囊肿密度近似于纤维腺瘤,有时x线上难以准确区分乳腺囊肿和纤维腺瘤,需要结合临床、超声或MRI检查鉴别诊断。乳腺囊肿如有钙化多表现为囊壁弧线样钙化。

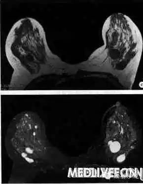
图6-5-1 双乳囊性增生病x线和MRI表现
a.右乳X线头尾位;b.左乳X线头尾位;c.MRI平扫横断面T1WI;d.MRI平扫横断面T2WI。X线表现双乳多发大小不等圆形卵圆形影,边缘光滑、锐利,密度与邻近腺体密度近似;MRI平扫显示双乳腺内多发大小不等肿物,T1WI低信号,T2WI高信号,呈液体信号特征,边缘清晰光滑,内部信号均匀。
CT:
CT平扫可见乳腺组织增厚,呈片状或块状多发致密影,密度略高于周围腺体,在增厚的组织中可见条索状低密度影。当有囊肿形成时,表现为圆形或椭圆形水样密度区,密度均匀,无强化。
MRI:
在平扫T1WI,增生的导管腺体组织表现为低或中等信号,与正常乳腺组织信号相似;在T2WI上,信号强度主要依赖于增生组织内含水量,含水量越高信号强度亦越高。
动态增强检查,多数病变表现为多发或弥漫性斑片状或斑点状轻至中度的渐进性强化,随强化时间的延长强化程度和强化范围逐渐增高和扩大,强化程度通常与增生的严重程度成正比,增生程度越重,强化就越明显,严重时强化表现可类似于乳腺恶性病变,正确诊断需结合其形态学表现。
当导管、腺泡扩张严重,分泌物潴留时可形成大小不等囊肿,T1WI上呈低信号,T2WI上呈高信号(图6-5-1)。少数囊肿因液体内蛋白含量较高,T1WI上亦呈高信号。囊肿一般不强化,少数囊肿如有破裂或感染时,其囊壁可有强化。
诊断与鉴别诊断
在乳腺增生的影像学诊断中,应注意下列几个问题:
①在乳腺增生影像学诊断中,选择正确的检查时间很重要。由于乳腺腺体组织随月经周期变化而有所变化,某些妇女在月经前有生理性的乳腺增生改变,所以最好在月经后1周行影像学检查,或经前、经后分别检查以进行对比。
②乳腺增生的影像学诊断应密切结合临床资料,如患者年龄、临床症状、体征、生育史及月经情况等。因为同样的X线表现,如为一年轻、临床无症状的女性,则很可能是一正常的致密型乳腺,但若为中、老年曾生育过的且有临床症状的患者,则可能提示有增生。
③部分增生患者可为多种成分的增生,乳腺影像学方法尚不能像病理组织学一样做出具体的诊断,当难以区分何种成分增生时,可统称为乳腺增生。
④因为乳腺增生与乳腺癌特别是部分不典型乳腺癌的临床和影像学表现有部分重叠,容易混淆,造成相互误诊,影像诊断医生的工作重点是在两者中如何正确判断有无可疑乳腺癌的恶性征象。
乳腺增生的诊断要点是:
①患者多为30~40岁,病变常为双乳,临床症状与月经周期有关,乳腺胀痛和乳腺内肿块在经前期明显
②X线和CT上,增生的乳腺组织多表现为弥漫性片状或结节状致密影
③动态增强MRI或CT检查病变多表现为缓慢渐进性强化,随强化时间的延长强化程度和强化范围逐渐增高和扩大。 局限性乳腺增生,尤其是伴有结构不良时需与乳腺癌鉴别。
局限性增生通常无血供增加、皮肤增厚及毛刺等恶性征象,若有钙化,亦多较散在,而不同于乳腺癌那样密集,且增生多为双侧性。动态增强MRI检查也有助于两者的鉴别,局限性乳腺增生的信号强度多表现为缓慢渐进性增加,于强化晚期时相,病变的信号强度和强化范围逐渐增高和扩大,而乳腺癌的信号强度则呈快速明显增高且快速减低的表现。
囊性增生中的囊肿在X线上需与良性肿瘤如多发纤维腺瘤鉴别。囊性增生病一般为双侧性发病。较密集的多发大囊肿,可依据其边缘的特征性弧形压迹而有别于多发纤维腺瘤。孤立的囊肿多呈圆形或卵圆形,边缘光滑而密度较纤维腺瘤略淡。边缘弧线样钙化亦为囊肿的特征性X线表现,而纤维腺瘤的钙化多呈粗颗粒状或融合状,位于肿块内。超声或MRI检查可对囊肿和纤维腺瘤做出可靠鉴别诊断。
下一篇:肺内片状阴影的鉴别诊断