左下肺硬化性血管瘤1例CT影像表现
发布时间:2022-11-24
发布时间:2022-11-24
【临床资料】
女性,59岁,三天前无诱因出现咳嗽,痰中带血,量不多,无气短喘息,无胸痛,无盗汗自汗,自发病以来,无发热寒战,无心悸,胸憋,无咳浓臭痰,无头痛呕吐,来我院就诊,行CT检查。
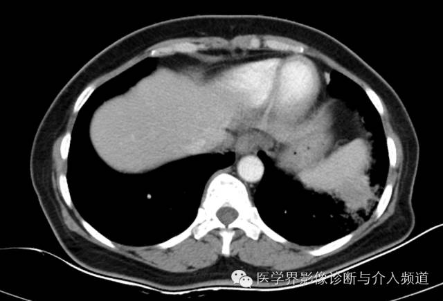
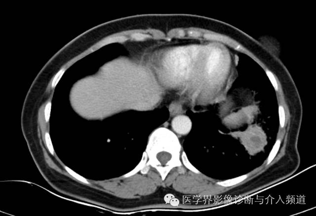
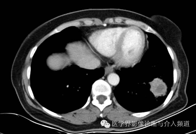
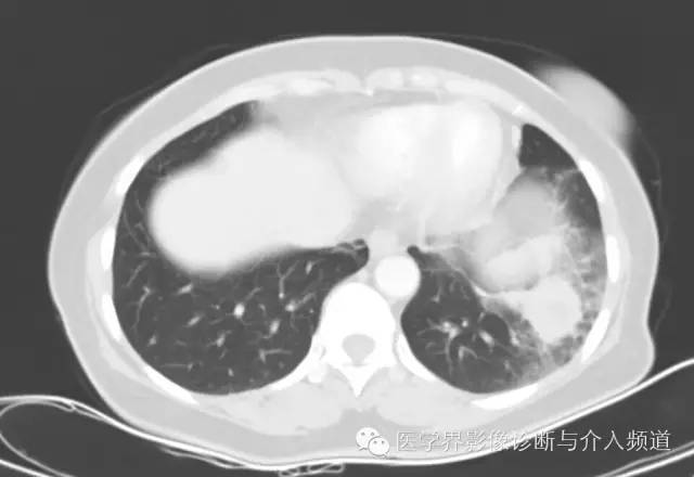
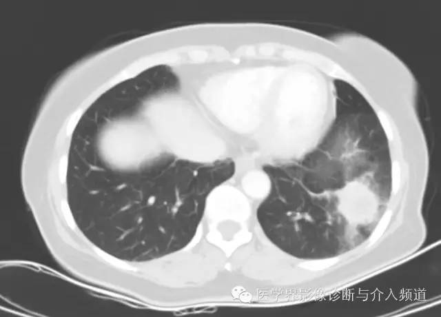
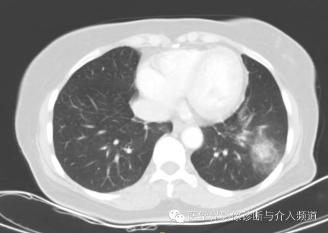
【影像图像】








【影像学表现】
左肺下叶可见软组织密度肿块影,形态不规则,边界不光整,与胸膜粘连不清,周围肺组织呈磨玻璃密度改变,病变内部不均匀强化,低密度区不强化。
———-♀【病例讲堂】分割线♀———
小编留言:这些患者是别人的,但这些症状你工作中也可能会遇到,学习才是前进的唯一路径,有思考才有进步哦!
【最终诊断】
硬化性血管瘤
【 鉴别诊断】
错构瘤:爆米花样钙化及脂肪密度,边界清晰,增强强化不明显。
炎性假瘤:增生性炎症,边缘不光滑,增强不均匀强化,程度弱于硬化性血管瘤。
周围型肺癌:形态不规则,密度不均匀,内部看见空洞,壁厚薄不均一,看见胸膜凹陷征,边缘毛刺征常见,增强扫描不均匀强化,强化程度弱于硬化性血管瘤。
结核球:结核病史,卫星病灶,增强强化不明显或轻度强化,中心干酪样物质不强化。
真菌病:霉菌球亦可见空气新月征,但此病可随体位变化,强化不明显。
【讨论】
是一种少见的肺部良性肿瘤,主要检查手段是CT,术前误诊率高,主要原因是本病CT表现多数不具有特征性;现在公认的组织学来源是肺泡上皮细胞起源,现在也有学者将硬化性血管瘤归为低度恶性肿瘤范畴。
临床表现:无特异性表现,通常无症状,偶有咳嗽、咳痰、胸痛,痰中带血等症状,在体检中发现,女性多见。
CT表现
病变部位:右肺下叶居多,既可位于中央区,也可位于周围带,靠近胸膜,极少数位于叶间裂。
病变大小:病变大多数体积较小,直径小于4 cm,也有个别病变体积较大。
病变形态:圆形、椭圆形,单发,边缘光整,境界清晰,毛刺征、空洞、胸膜凹陷征罕见,少数可见浅分叶。
其他征象:钙化、囊变(与出血有关)、周围晕征(非特征性)、周围肺组织肺气肿、增强扫描明显均匀强化(与病变内血管瘤区、乳头区、硬化区、实变区有关)、贴边血管征(肿瘤推挤周围血管,较具特征性)、纵膈及肺门淋巴结(罕见,但有报道)。
综上,若女性,发现肺内单发圆形或类圆形肿块,边界光整,内部看见囊变,若还有空气新月征、晕征、周围肺组织肺气肿、钙化,增强扫描明显均匀强化,应考虑硬化性血管瘤的可能。
上一篇:壁层胸膜钙化1例X线
下一篇:乳腺增生影像学诊断