发布时间:2022-11-24
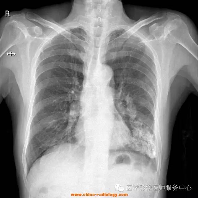
79Y,M,20160420。间断性咳嗽、胸闷多年。
透视下转位,切线位下,见侧胸壁上片状钙化影,并不随肺呼吸而运动。
上一篇:肺部病变的CT基本征象
下一篇:左下肺硬化性血管瘤1例CT影像表现
猜你喜欢
MRI乳腺扫描技术
【病例】胸壁弹力纤维瘤1例CT影像表现
如何在影像上判断新冠病毒肺部感染是否好转
HRCT树芽征的诊断价值
【病例】矽肺1例CT影像表现
【PPT】早期肺癌易漏诊征象分析