肺部结节的CT鉴别特征
发布时间:2022-11-21
发布时间:2022-11-21

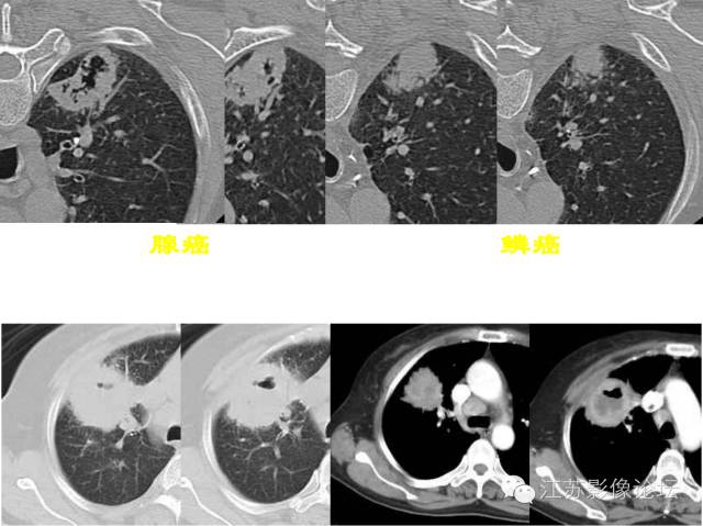
弦距与距长之比>2/5为深分叶;肺癌常见深分叶,错构瘤及结核球可呈浅分叶;炎性假瘤多呈不规则形状。
约90%毛刺结节为恶性结节,部分良性结节边缘也可见毛刺,多为长毛刺及“尖角征”。





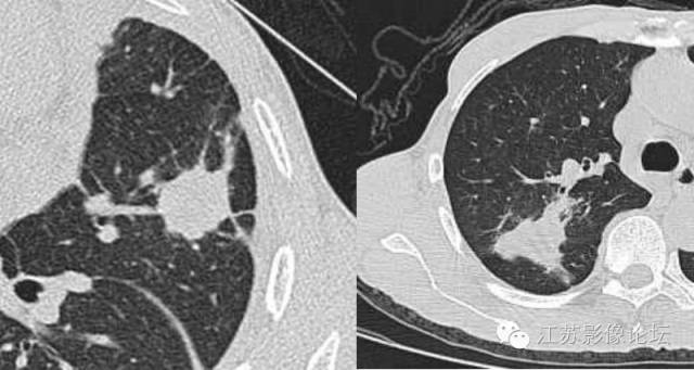
脓腔见于炎性病灶


最常见于错构瘤和结核球;错构瘤30%有爆米花样钙化,结核球常见弧形或环形钙化;而砂粒状钙化常见于恶性结节,但很少见。
倍增时间是指肿瘤体积增加1倍的时间,常把球形病灶的直径增加25%所需的时间作为倍增时间。实性恶性结节的倍增时间为40-360天,良性结节为小于1个月或大于16个月。
上一篇:胸片肺野透过度增强,想到什么病
下一篇:心脏MRI简介及实例分析