“胸膜凹陷征” 的影像表现与临床意义
【名词】 医学百科网 | YxBaike.Com
胸膜凹陷征(pleural indentation,PI)的影像学表现为脏层胸膜内陷皱缩,似喇叭样凹 向肺内的病变。 医学百科网 | YxBaike.Com
又名:胸膜牵拉征,以前根据其征象称为“兔耳征”、“尾征”、“胸膜尾征”、及“V” 字征、Fleischner’s线,后来将肺周围病灶邻近胸膜的改变统称为胸膜凹陷征。 医学百科网 | YxBaike.Com
【影像表现】 医学百科网 | YxBaike.Com
—、X线表现
医学百科网 | YxBaike.Com
由于凹陷的脏层胸膜其走向与X线投影方向的不同,因此胸膜凹陷的X线表现多种多 样。概括起来有如下几种表现。见图1。
医学百科网 | YxBaike.Com
图1胸膜凹陷示意图 医学百科网 | YxBaike.Com
医学百科网 | YxBaike.Com
医学百科网 | YxBaike.Com
P—胸膜面;PI—胸膜凹陷;M—肺内病灶
医学百科网 | YxBaike.Com
图1中线图1〜5、9属凹陷胸膜侧位观,6〜8属则为正面投影。按以上表现可分为 四种类型:线型、幕状型、星型和楔型。
①线型(线图1〜2):常呈薄线状,大多数边缘锐利,一般为宽1〜2mm,长度1〜 3cm不等。起自离胸膜面最近的肺内病灶的表面,多处在病灶中间位置,垂直止于胸膜面 或止于邻近肺野内。线状影无中断。 医学百科网 | YxBaike.Com
②幕状型(线图3〜5):在上述线型背景上见胸膜下呈类三角形或喇叭形状,也有人描 述为“V”字形,或幕状。底宽3cm左右,底与尖之高度为0.5〜lcm,尖指向肺内肿块。 常规X线投照技术对幕状型胸膜凹陷的检出率为27. 9%,占肺癌病例的5. 7%.线型影与幕 状影一齐显示而邻近胸膜无明显增厚时称为典型胸膜凹陷征。两者不同时显示可能是凹陷胸 膜与X线投照方向不相切或胸膜凹陷本身机制有异。 医学百科网 | YxBaike.Com
③楔型(线图9):其表现为处肺内病灶边缘呈锥形伸向胸膜面,底贴病灶边缘而尖达 胸膜。 医学百科网 | YxBaike.Com
④星型:是凹陷胸膜的正位像,有人将其描述为三角型支架从病灶向胸膜放射或不规 则条索如破云而出的日光放射状,即以肺内病灶为中心向周围肺野放射呈条索状,常被误视 为长毛刺。Hill将胸膜凹陷征分为三种表现,即尾征(线型与幕状型)、兔耳征(在无胸膜 增厚的基础上二条或二条以上较厚的线影伸向胸膜)和楔形尾。
医学百科网 | YxBaike.Com
常规X线上如果胸膜凹陷浅,一般不能显示。此时往往伴邻近胸膜增厚粘连,从X线 平片观察难明确区分粘连与胸膜凹陷,故有作者认为不少肺癌的胸膜凹陷不一定能显示于X 线片,尤其是难以显示胸膜下区肺内病灶的胸膜凹陷征。发生于叶间胸膜附近的病灶致叶间 胸膜凹陷时,见叶间胸膜呈线状“V”形移位,无贴近叶间胸膜之类三角形软组织密度影。
二、CT表现 医学百科网 | YxBaike.Com
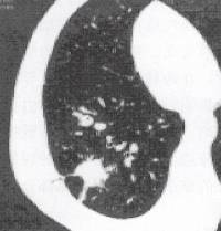
CT图像上胸膜凹陷常呈线形影,位于肺内病灶与胸膜之间,在常规层厚、间隔1Omm 图像上一般多表现为1条,以一小三角形止于胸膜面,亦可呈喇叭口状,尖端与线状影相 连,线状影另一端连于肺内病灶,部分病例见线状影与病灶棘状突起相连。线状影为凹入的 脏层胸膜相粘形成。斜裂胸膜凹陷在CT上仅表现为局部向病灶侧移位,无喇叭口状阴影形 成。典型的胸膜凹陷征是近脏层胸膜面见小三角形影或小喇叭状阴影,三角形的底部在胸 壁,尖指向结节,结节与三角形影之间可为线状影相连(图2、图3)。
医学百科网 | YxBaike.Com
由于扫描层面所处胸膜凹陷位置不同有时只显示线状影、有时线状影与贴近胸膜面小三 角形影同时见于相同层面,多数以肺窗观察为佳,少数也同时见于纵隔窗。有的胸膜凹陷出 现于自病灶引向胸膜的多数条影中,与三角形影相连的一条才是真正胸膜凹陷。相邻层面见 胸膜凹陷可有粘连,胸膜凹陷旁见肺气肿、肺不张。由于受部分体积效应的影响,致胸膜凹 陷在脏层胸膜面形成的三角形影显示不佳。从CT角度研究,胸膜凹陷线状影粗细、密度可 不一致,故胸膜凹陷在不同的技术上显示有所不同,条状影见于肺窗者,病理提示几乎无或 轻度胸膜增厚,多见于肺癌。而双窗均见者都有较明显胸膜增厚,特别是纵隔窗示线形影而 肺窗上呈一片模糊影,则高度提示炎性病变。
医学百科网 | YxBaike.Com
医学百科网 | YxBaike.Com
图2右下肺癌,肿瘤M与邻近 胸内壁间见两条线状影,与胸壁 相连处见喇叭状(箭示)
医学百科网 | YxBaike.Com
图3右下肺癌,HRCT四幅图像
(a)示扫描层处凹陷中心边缘,两条线影相距较远; 医学百科网 | YxBaike.Com
(b)示扫描层近凹陷中心,两条线影距离靠近;
(c)、(d)示扫描层渐近凹陷中心
【病理机制】 医学百科网 | YxBaike.Com
胸膜凹陷形成的主要病理基础是肺内病灶内纤维组织增生及瘢痕形成及结缔组织的间隔 的增厚,局部胸膜无增厚、粘连。因此具有以上病理基础的肺部炎症灶、肿瘤均可有胸膜凹 陷形成。而对于肺肿瘤而言,胸膜凹陷形成的根本原因系肿瘤内瘢痕,其瘢痕的来源如下。
①存在于肿瘤发生之前由其他原因所致,为肿瘤发生的原因。 医学百科网 | YxBaike.Com
②肿瘤生长过程中逐渐形成,包括肿瘤的间质反应,肿瘤内坏死后继发改变、肿瘤包 裹原肺内瘢痕。 医学百科网 | YxBaike.Com
③综合病理学-X线及CT对照研究提示宿主对肿瘤的成纤维化反应,沿小叶间隔和血 管延伸,伴或不伴肿瘤细胞浸润,形成增厚的胶质支架。从肺支架结构理论研究认为肺支架 由相互连接的三种纤维体系组成:a.尖端指向肺门方向的胸膜幕状短纤维;b.肺泡、肺段 间隔纤维网,与胸膜幕状短纤维一起组成肺周围纤维系统,纤维条索从脏层胸膜面包绕肺, 穿入肺实质深部构成肺泡、小叶、亚段的不完全间隔;c.围绕气道壁的轴纤维系统,起自 肺门,沿气道呈扇形深入肺实质,终止于腺泡中心,形成肺泡管、肺泡囊之壁。任何外周病 变伴结缔组织增生或纤维化均可致上述支架尤其周围系统纤维支架收缩,结果牵拉与之连接 的脏层胸膜产生向病灶方向凹陷。另外,肺内非肿瘤性病变形成的致密纤维支架,沿小叶间 隔伸延达脏层胸膜时亦产生胸膜凹陷。然而,肿瘤和炎症病灶在镜下均可出现邻近胸膜的不 同程度的增厚,且胸膜下瘤细胞或炎症细胞浸润,病灶与胸膜间小叶间隔纤维增生。在CT 影像中表现的三角影内的密度为水样密度。从而证实胸膜凹陷处为水,高频B超的应用也 显示典型胸膜凹陷内有液体存在,声像图上呈均匀的有或无低回声。由于肿瘤的牵拉,邻近 脏层胸膜内凹,与壁层胸膜间形成负压空间,吸引生理性液体向该处积聚;X线平片、CT 影像上的线条状影多数学者认为是肺癌时胸膜凹陷处负压和肺内压共同作用,使凹入的脏层 胸膜相互并拢或粘连,或其间液体聚积或瘤细胞、炎性细胞浸润形成。当凹入的胸膜靠拢时 线条影的粗细与叶间胸膜一致,否则粗细可不均。当局部胸膜凹陷时所形成的负压空间吸引 生理性液体聚积于凹陷处,故在切线位X线投影或CT扫描时,表现为弧形凹入,呈喇叭口 状(“V”形,幕状)。多数肺癌这种喇叭口常与线条状影同时出现,两者的实质均系脏层胸 膜内凹所致,可是线条状影并胸膜粘连,脏层膜凹陷不明显时会单独出现。它反映了肺纤维 化伴胸膜的皱缩。也有作者认为局灶性小叶不张参与了致密的线条状影的形成,而脏层胸膜 凹陷也由亚段不张所致。还有认为胸膜凹陷征的线条状影与外周气道梗阻或肿瘤细胞充盈淋. 巴管致纤维化,小叶间隔增厚相一致。除此之外,复旦大学殷文义、张志勇等用力学的原理 来分析胸膜凹陷征的存在是因为肺组织内部癌变组织的存在,在跨肺压的作用下,导致肺组 织边界的变形不均,其中靠近癌变组织的边界受癌变组织的影响,它的变形较整体边界变形 小,因而在多次吸气呼气之后,就会在变形小的地方出现凹陷。即在吸气时由于靠近癌变组 织的边界的膨胀程度远小于周围边界的膨胀程度,因此那部分边界出现了向内凹的现象。在 呼气时由于靠近癌变组织的边界的缩小速度远小于周围边界的缩小速度,因此那部分边界会 有向外凸的现象。
炎性病变如结核球、机化性肺炎或炎性假瘤等可引起邻近肺的纤维组织增生,延伸达脏 层胸膜下而产生胸膜凹陷,并常伴邻近胸膜增厚,表现为病灶邻近肺野不规则纤维索条,部 分伸达脏胸膜面,产生轻微凹陷。 医学百科网 | YxBaike.Com
综合多因素分析表明,胸膜凹陷征的主要病理基础是肿瘤方向的牵拉和局部胸膜无增厚 医学百科网 | YxBaike.Com
粘连。肿瘤牵拉的动力来自瘤体内反应性纤维化、瘢痕形成,收缩力通过肺的纤维支架结构 传导到游离的脏层胸膜而引起凹陷。影响胸膜凹陷征形成的主要因素依次为瘤内纤维化、瘤 -壁距离、肺癌组织类型。由此可见,瘤内纤维化依然是影响肺癌胸膜凹陷征形成的首要原 因,是根本的内因,肿瘤-胸壁间距是重要外在影响因素,并受组织学类型的影响。因此, 在CT上发现了胸膜凹陷征后,可推测瘤内纤维化的情况,推测肿瘤以腺癌及肺泡癌可能性 大,但难以预测其分化程度及有无转移。而影像-病理对照研究认为肺结核球的线状胸膜凹 陷系胸膜外粘连带引起,与肺癌胸膜凹陷的病理基础不同,其线状影为凹入的脏层胸膜相贴 形成。 医学百科网 | YxBaike.Com
【临床意义】 医学百科网 | YxBaike.Com
胸膜凹陷可作为提示肺癌的依据之一,是较早期肺癌的常见征象,也是肺癌的早期特征 之一,特别是周围型肺癌中腺癌的一个征象,也包括瘢痕癌。以往报道周围型肺癌和炎性病 变中均可见胸膜凹陷征,其发生率周围型肺癌为20%〜75%,炎性病变18%〜70%。许多 的研究者认为从病灶的大小,胸膜凹陷的形态及有无邻近胸膜增厚来综合确定良恶性。在 <1cm结节中胸膜凹陷多见于良性病变,但随着结节增大,胸膜凹陷在周围型肺癌中再现比 例明显提高,特别是结节出现胸膜凹陷高度提示恶性。也有研究表明:瘤体最大> 5cm者胸膜检出率明显降低,1〜4cm肺癌中胸膜凹陷较常见,而又以<3cm者最多见。因 此胸膜凹陷被认为系早期肺癌常见征象。 崔云、马大庆等应用Meth分析的方法,对胸膜凹陷征鉴别周围型小肺癌与结核球的价 值进行评估:认为肺癌和肺结核均可以出现胸膜凹陷征。研究结果显示胸膜凹陷征诊断周围 型小肺癌的敏感性是57%,特异性是46%,阳性预测值是80%,阴性预测值是22%, SDOR值为1.30 (95% CEO. 63,2. 68),SROC曲线下面积为0.61,说明应用单纯的胸膜 凹陷诊断周围性肺癌价值不高,因此认为如出现胸膜凹陷时必须紧密结合其他征象对肺结节 进行鉴别诊断。 【鉴别诊断】 在肺部孤立性结节的诊断与鉴别诊断中胸膜凹陷是一重要的影像学表现,但也有学者认 为只具有参考价值。尽管胸膜凹陷与肺内结节同时发生系一种恶性现象,但并非肺癌所特 有,如仅凭此一项进行诊断与鉴别诊断,极易误诊。因为炎性病变和肺癌时均极相似,识别 困难,如线状影可见于结核球、霉菌球、n期硅沉着病融合、转移瘤,故胸膜凹陷对肺癌诊 断有限。因此胸膜凹陷在HRCT影像上被认为对恶性孤立性肺结节无特异性,是一种非特 异性征象。但普遍认为胸膜凹陷的胸膜增厚粘连多见于炎性病变,造成所见线状粗细不均, 是鉴别肺癌胸膜凹陷的关键。由于胸膜的粘连使牵拉脏层受限,胸膜凹陷较浅,故在CT上 缺乏完整胸膜凹陷的变化规律及胸膜面三角形影。 马大庆早期的研究认为星状阴影仅见于肺癌,而幕状阴影的表现肺结核与肺癌的发生率 相近,而值得注意的是肺癌肿块与幕状阴影相连处弧度变浅,有的出现切迹。而肺结核瘤与 幕状阴影相连处弧度无变化。线形阴影表现周围性肺癌占有16.1%,肺结核瘤占18.0%。 两者胸膜膜凹征的线形阴影的发生率无显著性差异,因此必须结合肿瘤的瘤体、瘤周围及瘤 旁的各种X线表现、更重要的是结合临床多方面的资料来综合判断,才有诊断价值。 医学百科网 | YxBaike.Com
附件列表
词条内容仅供参考,如果您需要解决具体问题,请遵医嘱或咨询医师。
本站词条内容如果涉嫌侵权,请与客服联系,我们将及时进行处理。如需转载,请注明来源于www.yxbaike.com
如果您认为本词条还有待完善,请 编辑
