“分叶征” 的影像表现与临床意义
医学百科网 | YxBaike.Com
英文:Iobulatonsign。
分叶征是指结节或肿块向各个方向生长速度不一,或受周围结构阻挡,轮廓可呈多个弧 形凸起,弧形相间为凹入的切迹,形成分叶状。由Rigler在1955年首先描述,由于此征多见于肺癌,又被称为恶性征。常为周围性肺癌的最常见的基本征象。但此后不少学者报道, 良性肿块也可有分叶征。 医学百科网 | YxBaike.Com
分叶征有深分叶、中分叶及浅分叶之分,以弦弧距和弦长之比来衡量:比值>0.4为深 分叶;浅分叶<0.2;比值= 0.3为中分叶。这样划分的意义有助于界定肿瘤的良恶性质, 一般深分叶多是恶性肿瘤,对于肿块达3〜5cm的肿瘤,分叶多较大、较明显,因而恶性度 也很高;而分叶较大且浅者,可见于良性肿瘤或其他良性肿块。
医学百科网 | YxBaike.Com
医学百科网 | YxBaike.Com
医学百科网 | YxBaike.Com
肺部良性病变亦可见分叶征,病理机制为肺部增殖性病变形成影像上不规则团块,或多 个病变融合而形成类似分叶状形态。见于肺炎性假瘤、肺结核、肺真菌病(隐球菌等)、肺尘埃沉着病等。
医学百科网 | YxBaike.Com
分叶征常为周围型肺癌的最常见的基本征象,是其具有诊断价值的重要征象之一。有研 究表明,具有深分叶征的周围型肺癌比没有此征象者具有更高的恶性生物学行为。中央型肺癌出现较大肿块亦常见。李铁一等认为,视为肺癌特征性表现的分叶征的出现与肿瘤大小有 关系:1cm以下的肿瘤无一例有特异性X线表现,而2cm的肿瘤有特异性X线表现者占半 数左右。张燕群等研究发现,3cm以下周围型孤立性肺肿块在CT像上,深分叶征阳性者以 肺癌多见,深分叶征阴性者以良性肿块多见,但直径在2cm左右的浅分叶小结节也可能为 肺癌。刘大亮等研究发现,在肺内孤立结节中,结节边缘分叶,有血管相连而形成血管切迹 的征象者,对恶性病变的特异性为97. 6%,敏感性为60. 7%,认为是恶性病变的特征。 医学百科网 | YxBaike.Com
分叶征亦可见于肺转移瘤、肉瘤等恶性肿瘤。
二、肺部其他疾病 医学百科网 | YxBaike.Com
分叶征可见于肺良性肿瘤、肿瘤样病变以及肺炎性假瘤、肺结核、隐球菌、尘肺等良性肺部疾病。
结核瘤分叶征的形成与肺癌不同,它是由多个结核小灶融合而成。研究发现,分叶征以 大结核瘤(>4cm)多见,而3cm以下的结核瘤分叶征的发生率不高。 医学百科网 | YxBaike.Com
医学百科网 | YxBaike.Com
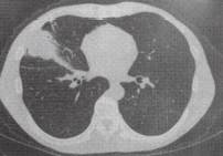
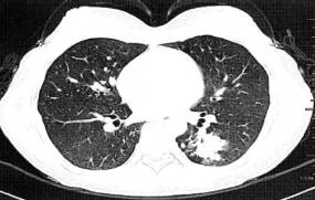
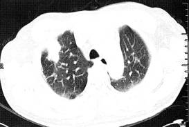
(1)周围型肺癌基本X线表现为肺内孤立的球形灶,不同组织类型的肺癌在大小、 医学百科网 | YxBaike.Com
密度、边缘形态及瘤体周围特点有一定差异。CT的优势在于可显示瘤体内密度、坏死、血供特点及临近结构浸润情况。除边缘凹凸不平,呈分叶征外,常可见边缘毛刺、瘤周血管集束征、胸膜凹陷征、内部空洞形成,多壁厚薄不均,内缘凹凸不平或见壁结节。无或少有气液平为其特征(图2)。增强检查病灶可见明显强化,CT值增加25Hu以上。高度提示 肺癌。 医学百科网 | YxBaike.Com
医学百科网 | YxBaike.Com
医学百科网 | YxBaike.Com
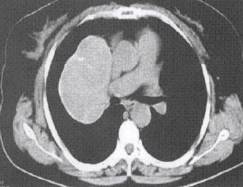
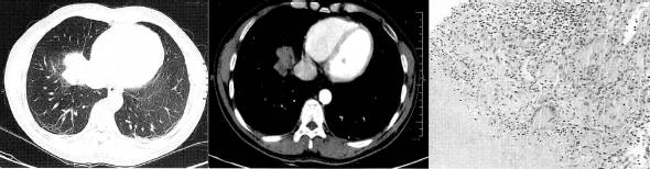
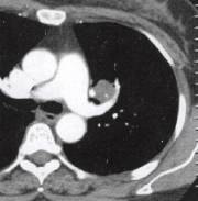
(2)肺转移瘤结节边缘光整,部分病灶融合,出现分叶征。常难与肺癌鉴别,其转移 瘤可能性与原发肿瘤组织类型和患者年龄密切相关,常见原发肿瘤包括黑色素瘤、肉瘤、结肠癌、乳腺癌、肝癌、肾癌、膀胱癌和睾丸癌等(图3)。诊断主要依靠原发恶性肿瘤病史。 医学百科网 | YxBaike.Com
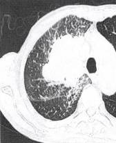
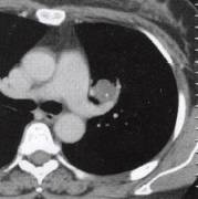
肝癌肺转移(3)肺部其他恶性肿瘤如肺原发肉瘤、肺癌肉瘤等。常症状轻微甚至无症状就诊时间 较晚,X线及CT表现为圆形、椭圆形肿块,边缘光滑,分叶多不明显,可为小切迹样或铸 型表现,直径多达6〜7cm,大者可占据一叶肺甚至一侧胸腔(图4)。增强肿块呈不规则
医学百科网 | YxBaike.Com
明显强化,表面常有包膜或假包膜。极少有肺门纵隔淋巴结转移。 医学百科网 | YxBaike.Com
二、肺良性肿瘤
医学百科网 | YxBaike.Com
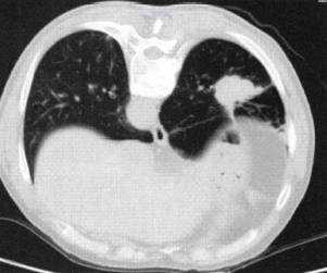
一般生长缓慢,病程长,在影像表现上接近圆形的块影,密度均匀,边缘光滑,分叶及 切迹不明显,可呈浅分叶,多无短毛刺、锯齿征及胸膜凹陷征,无空泡与支气管充气征(图5)。肺错构瘤内可有钙化,典型者呈“爆米花样钙化”,CT值高于160Hu (图6)。脂肪类肿瘤CT值多在-50Hu以下。 医学百科网 | YxBaike.Com
医学百科网 | YxBaike.Com
医学百科网 | YxBaike.Com
医学百科网 | YxBaike.Com
医学百科网 | YxBaike.Com
三、炎性假瘤
炎性假瘤是肺部慢性炎症的一种特殊形态,本质是增生性炎症,病理上由多种细胞组成 的肉芽肿并有纤维化增生形成的一肿瘤样团块,可发生在两肺任何部位,多位于肺边缘部及靠近叶间裂(图7)。病灶多为球形、类圆形团块影,密度均匀,边缘清晰或模糊,多有 长毛刺,临近胸膜增厚粘连常见,常有“桃尖征”的特征性表现。增强扫描时包膜强化,其 环形强化边缘呈连续性,无中断,此亦为特征性表现,可以与肺癌鉴别。但不典型炎性假瘤 CT征象可多样化:多灶性,多态性,有的可有空洞和钙化,边缘毛糙不规则,内部密度不 均,可有强化。肿块可呈分叶状与周围型肺癌非常相似(图8)。但是胸膜边缘的炎性假 瘤CT表现有其特征:软组织肿块中偶可见偏心性空洞,病灶经多方位重建可呈长条样改 变,边缘有收缩、牵拉现象。这是由于胸膜因炎症刺激部分有增厚与假瘤合成软组织肿块, 其边缘也可被牵拉撑起围成一个透亮区,形成所谓“偏心空洞”。
医学百科网 | YxBaike.Com
四、肺结核
常位于上叶尖后段、下叶背段,因肺泡壁破坏,无空泡征或支气管充气征,增强检查内 部为低密度无增强影,肉芽肿成分为主亦可见增强。病灶边缘光滑,一般无分叶及毛刺,少 许有多个增殖性病灶融合形成者,可不规则成分叶状。病灶内多可见钙化,CT值多高于 160Hu、周边多有卫星灶,局部胸膜增厚多见,长期随访观察,一般增长不明显,病程较 长,肺内常另有散在性结核病灶。但病灶如表现不典型,呈孤立肿块影,有时与肺癌难以鉴 别(图9)。 医学百科网 | YxBaike.Com
医学百科网 | YxBaike.Com
五、肺真菌病
如肺隐球菌病、组织胞浆菌病、球孢子菌病等(图10、图11),部分可表现为不规则肺部球形病灶,分叶状,酷似周围型肺癌,其病理基础为增生性肉芽肿性炎症,可伴有纤维组织增生。一般无钙化。多数鉴别需病理。
医学百科网 | YxBaike.Com
六、肺尘埃沉着病
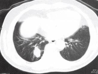
患者多有明确的粉尘接触史,在X线下及CT检查上均可呈现大、小阴影,可表现为单个或多个圆形或不规则阴影,可出现分叶征,其发展缓慢,同时伴有弥漫性小结节影、纤维 条索影,肺门纵隔淋巴结增大及钙化、胸膜斑块等表现(图12)。在CT增强检查时病灶 无强化,是与恶性肿瘤鉴别的重要征象。 医学百科网 | YxBaike.Com
亦有作者认为该征象特指在肺泡癌中,癌细胞沿肺泡壁生长,未封闭肺泡腔,腔内可遗 留黏液使其扩张,在胸部X线及CT表现上形成由多个大小较为一致的小泡聚集而成蜂 窝状。
医学百科网 | YxBaike.Com
附件列表
词条内容仅供参考,如果您需要解决具体问题,请遵医嘱或咨询医师。
本站词条内容如果涉嫌侵权,请与客服联系,我们将及时进行处理。如需转载,请注明来源于www.yxbaike.com
如果您认为本词条还有待完善,请 编辑
上一篇 “卫星征” 的影像表现与临床意义 下一篇 “空气支气管征” 的影像表现与临床意义
