不容忽视的X线诊断要点
发布时间:2022-11-27
发布时间:2022-11-27
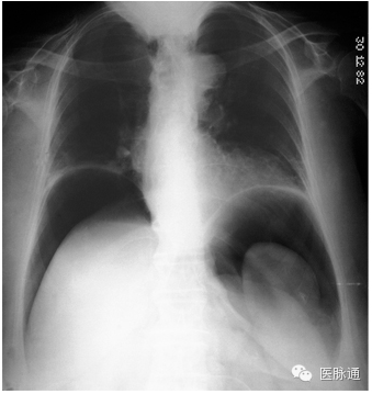
图1是1例具有大量气腹的患者,肝和脾的轮廓清晰可见。

图1
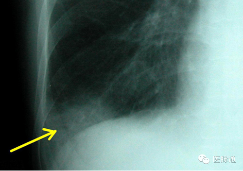
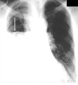
当空气进入到脏层和壁层之间的胸膜腔可发生气胸。原发性自发性气胸的发生无任何潜在肺部疾病和诱发事件,而继发性自发性气胸发生于具有潜在实质性肺疾病的人群(如慢性阻塞性肺疾病,肺纤维化)。胸片中,气胸具有条形阴影,外侧无肺纹理(图2箭头)。气胸最常发生于肺尖,即肺的非重力依赖区。但处于仰卧位的胸片,气胸可能位于肺底或前内侧。比较吸气相与呼气相的胸片可能有助于诊断。

图2
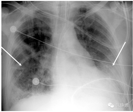
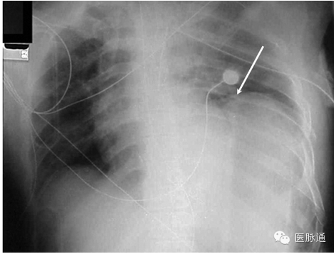
张力性气胸是指空气蓄积于胸膜腔内。当受损肺组织形成单向活瓣,造成空气只能进入而无法离开胸膜腔,即形成张力性气胸。应根据临床表现作出张力性气胸的诊断,包括气管向对侧移位,同侧叩诊过清音,同侧呼吸音降低,颈静脉充盈以及低灌注。典型的X线表现包括同侧肺塌陷(图3白色箭头)伴肋间隙增宽,以及纵隔向对侧移位(图3红色箭头)。若张力性气胸发生于左侧,则左侧膈肌下降,但若发生于右侧,则肝脏可限制膈肌的下降。

图3
纵隔积气是指纵隔结构中存在游离气体。纵隔积气最常见于食道或相邻肺泡的创伤或医源性损伤。胸片中,游离气体可能形成解剖结构的轮廓。常见表现包括形成心脏影像的透X光细线轮廓(图4白色箭头),纵隔内纵向走形的气体,支气管壁双影征,或右侧肺动脉周围透光区域(即“动脉周围戒指征”)。在侧位胸片上胸骨后间隙最易检测到气体。纵隔积气的气体是固定的且不会移动到最高。

图4
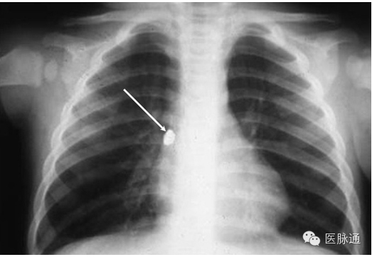
气道异物最常见于儿科患者。异物最常见部位是右主支气管,这是由于其位置偏后,与主气管的角度较小,且直径较粗。异物密度决定其在胸片上是否可被鉴别。气道异物的间接征象包括:若异物造成部分梗阻,可出现局灶性过度充盈;若完全梗阻,则出现肺不张。图5(箭头)显示一枚耳环嵌在一名儿童右主支气管。

图5
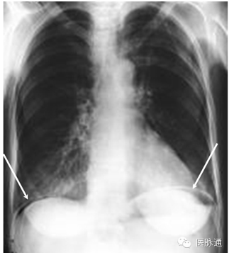
气腹指腹腔内气体,最常见于腹腔脏器穿孔。气体蓄积于腹腔的非重力依赖区。直立位胸片时,膈肌间的黑色的半月形(如图6箭头所示)的气体将分布于肝脏、脾脏和肠管。为保证气体充分移动,患者在拍片前应保持直立位至少5分钟。有时,X片中可见双壁或Rigler征,即肠壁内外气体形成的肠壁轮廓。

图6
心包积液源于心包腔内液体的蓄积。其典型胸片表现为心影增大,即所谓的烧瓶状心脏。但是,如果液体迅速蓄积,心脏扩大可不明显。其它潜在表现包括胸腔积液,心包钙化罕见。

图7
急性呼吸窘迫综合征定义为急性起病,PaO2/FIO2≤200 mmHg,胸片双侧浸润,以及肺动脉楔压≤18mmHg或无左心房高压的临床征象。胸片最常见的表现为双侧非对称性实变伴支气管空气征象(如图8箭头所示)。间隔线和胸腔积液并不常见。渗出期的早期表现是掩盖肺血管纹理的双侧实变。这些病变可演变为典型非对称的更广泛的弥漫性实变。在随后的纤维化阶段可能形成弥漫性间质。存活患者子啊10-14天后,多数影像学异常表现开始消散。

图8
胸主动脉瘤指超过正常升主动脉、主动脉弓或降主动脉直径50%的瘤样扩张。降主动脉瘤最为常见。胸片最常见表现为纵膈影增宽(图9白色箭头),主动脉球增大,气管移位(图9红色箭头)。其他影像学表现包括代表真腔和假腔的主动脉双影,沿主动脉走形出现局灶性突出,以及降主动脉和升主动脉直径不一致。

图9
膈疝是由于膈肌缺损导致腹腔内容物进入胸腔内。膈肌缺损大多发生于左侧,其原因可能是左侧膈肌较为薄弱或肝脏的保护作用。胸片可见双侧膈肌不对称,或膈肌水平改变(图10箭头)。胸腔内的充气器官或鼻胃管可确诊。腹腔实质脏器会出现蘑菇形均质致密影。膈肌麻痹或肺减容手术后患者可能误诊。

图10
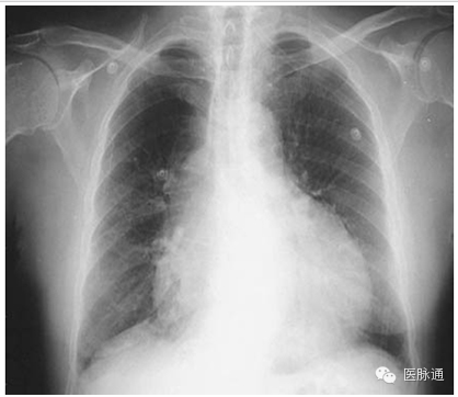
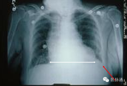
充血性心力衰竭是指心脏泵出的血不能满足组织代谢需要的临床综合征。胸片可出现多种典型的表现。心脏增大,后前位胸片显示心胸比例增加超过50%(图11白线)。小叶间隔增厚导致肺组织周边可能出现Kerley B线。胸膜液积聚可使肋膈角变钝(红色箭头)或导致大量胸腔积液。肺水肿可以引起双侧肺纹理增加,或呈蝙蝠翅状分布。肺毛细血管压增加导致上叶血管直径与下叶血管直径相当或更粗,即头侧化。

图11
吸入性肺炎是口咽部细菌或胃内容物吸入肺内导致的感染。其不同于与吸入性肺泡炎,后者由吸入物直接化学损伤导致。胸片典型表现为肺中下区域的致密影(如图12所示)。急性期可出现一过性浸润影或肺叶实变,而慢性误吸可能表现为团块影。

图12
连枷胸为至少3根肋骨2处或多处骨折造成胸段的异常运动。在吸气相,由于胸腔内负压的影响,受累节段回缩。连枷胸通常见于胸部严重钝性创伤后。根据胸片评估肋骨骨折可能非常困难,并且需拍摄多角度斜位片,以及密切关注细节。图13为胸片的放大影像,显示由箭头所示肋骨骨折造成的连枷胸。若怀疑骨折但未得得到胸片确诊,可能需要进行CT扫描。

图13
肺栓塞指肺动脉血流受阻。临床表现各异使得其难以准确诊断。虽然CT血管造影以及通气灌注扫描通常用于确诊肺动脉栓塞,但胸片可能存在多种表现。Westermark征指肺血管扩张且突然中断。Hampton驼峰为肺梗死和不张引起的周边肺组织的楔形实变(如图14箭头所示)。胸片还可见少量胸腔积液和膈肌抬高。值得注意的是,多数情况下肺栓塞患者胸片正常。

图14
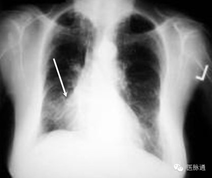
肺不张指因肺泡塌陷导致的部分肺或全肺容积减少。肺不张的原因包括肺泡内气体被吸收后造成的阻塞性肺不张,以及由于压迫、表面活性物质缺乏、肺实质形成瘢痕或胸膜脏层和壁层不再接触造成的非阻塞性肺不张。根据受累部位和程度不同,胸片表现存在很大差异。肺叶塌陷可以表现为叶间裂移位,塌陷肺叶部位致密影,以及纵隔向同侧移位,肋间隙变宽,膈肌升高和胸腔容积减少。心脏附近肺叶不张可以使得胸片上心脏边界不清。图15所示右中叶不张,并右心缘闭塞。

图15
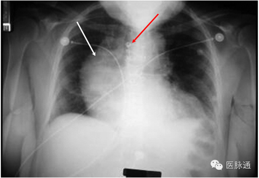
虽然支气管插管后,最初通过双肺听诊以及CO2监测确定插管位置,但仍需常规胸片进行确认。气管插管内嵌有不透X光的线条,以便确认位置。插管尖端应当在隆突(图16折线)上2-6 cm(双箭头)。插管尖端位于这一位置时,可以在颈部屈曲或伸展时仍保证通气充分。如果插管位置过深,则可能造成选择性单肺插管,导致对侧肺完全不张。

图16
气液胸是指胸膜腔内同时含有气体和液体。食管破裂(如图17所示)、创伤、产气微生物感染、支气管胸膜瘘或手术造成的医源性损伤均可导致气液胸。直立位胸片通常显示贯穿一侧的气液平,仅当胸膜腔内存在气体和液体时才能出现气液平。

图17
左心室动脉瘤是心肌梗塞后的少见并发症,由于薄弱的左心室心肌组织明显突出形成。胸片显示心脏增大且心脏左缘突出。在侧位胸片中,根据动脉瘤部位的不同,可以表现为心脏前壁或后壁变形。某些病例可出现钙化线勾勒出动脉瘤外缘。

图18
(医脉通编译自:Critical Chest Radiographs: Can’t-Miss Diagnoses.Medscape.转载请注明来源)
上一篇:隆乳术及其MRI表现
下一篇:【PPT】肺气肿分型